Допустимая частота проведения по видам исследований
Врач определяет, сколько раз в год или в месяц можно делать рентгеновские снимки, в зависимости от индивидуальных особенностей организма. Обычно в день делают один снимок. Два раза подряд проходить рентген не рекомендуется. При необходимости может потребоваться сделать снимок повторно с интервалом в несколько дней.
Рекомендуемый перерыв для — 3 недели. Прохождение флюорографии, людьми старше 15 лет рекомендуется с периодичностью раз в год. Такое обследование для здоровья не опасно.
На старом оборудовании без вреда для здоровья можно делать рентген органов:
Зубов. Пять раз в год, если снимок делается сбоку. Раз в год, если лучи проходят сквозь мозг или позвоночник.
Носа. При гайморите рентгеновский снимок делают так же как и снимок мозга, не чаще одного раза в год.
Черепа. Рентген черепа можно делать не чаще одного раза в год.
Позвоночника
С осторожностью делать рекомендуется не чаще раза в год. При использовании цифрового оборудования лучевая нагрузка снижается в несколько десятков раз
Поэтому делать рентгенограмму можно чаще
При использовании цифрового оборудования лучевая нагрузка снижается в несколько десятков раз. Поэтому делать рентгенограмму можно чаще.
О том, как работает рентген, говорится на канале Jit zdorovo.
Как высчитать допустимую дозу облучения
При облучении рентгеновским аппаратом общее излучение измеряют в Рентгенах, а дозу, полученную пациентом, считают в Зивертах. Микрозиверт (мЗв) показывает, сколько излучения принял пациент и как органы реагируют на вредное излучение. Исходя из общегодовой лучевой нагрузки — до 150 мЗв/год высчитывают, как часто можно делать рентген. Если пациент уже превысил допустимую норму облучения, обследования необходимо ограничить или прекратить.
Получаемые дозы облучения при процедурах
В зависимости от исследования человек получает разную дозу облучения. К примеру, радиация, поглощаемая организмом при рентгене грудной клетки в несколько раз ниже, чем при контрастной рентгеноскопии.
| Вид обследования | Лучевая нагрузка |
| Рентгенография пазух носа | 0,6 мЗв |
| Маммография | 0,7 мЗв |
| Рентгенография зубов | 0,35 мЗв |
| КТ позвоночника | 6 мЗв |
| Флюорография грудной клетки | 0,3 мЗв |
Рентген при беременности
Перед планированием беременности рекомендуется воздержаться от рентгена. После проведения рентгена стоит воздержаться от планирования беременности не меньше, чем на месяц.
Взрослый человек без вреда для здоровья в состоянии перенести несколько процедур рентгенографии в год в то время как малышу в утробе матери рентген может сильно навредить. Поэтому врачи назначают его при беременности в крайних случаях. Особо опасен рентген в первом триместре. При острой необходимости его проведения лаборанты и врачи стараются максимально защитить плод.
Для этого рентген делают с помощью:
- защитной пластины;
- свинцового фартука, закрывающего живот;
- специального экрана.
Рентген беременным женщинам могут назначить при:
- переломах;
- воспалительных процессах;
- подозрении на заболевания органов.
Во втором триместре процедура уже не так опасна. После проведения обследования матери в обязательном порядке делают УЗИ, чтобы посмотреть состояние ребенка.
Рентген в детском возрасте
Детям рентген назначают для диагностики целостности костей. Делать рентгенографию конечностей ребенку можно не чаще пяти раз в год. Рентген головного мозга и органов детям стараются не назначать. Однако современное оборудование способно в несколько раз уменьшить пагубное влияние на детский организм.
При необходимости делать рентген ребенку рекомендуется найти клинику с современным оборудованием, однако одна процедура на старом оборудовании никак не скажется на здоровье.
Врачи назначают детям рентген при:
- серьезных проблемах с зубами;
- травмах;
- частых приступах бронхиальной астмы.
Также, рекомендуется воздержаться от проведения флюорографии ребенку младше 15 лет. Если доктора настаивают, необходимо подыскать клинику с максимально современным оборудованием.
Частые вопросы
Как проходит рентгенологическое исследование легких?
Рентгенологическое исследование легких проходит с помощью рентгеновского аппарата, который создает изображение внутренних органов на рентгеновской пленке или цифровом носителе. Пациент стоит или сидит перед аппаратом, а рентгенолог делает снимок, направляя лучи на грудную клетку. Процедура занимает всего несколько минут и не вызывает болезненных ощущений.
Какие заболевания можно выявить с помощью рентгенологического исследования легких?
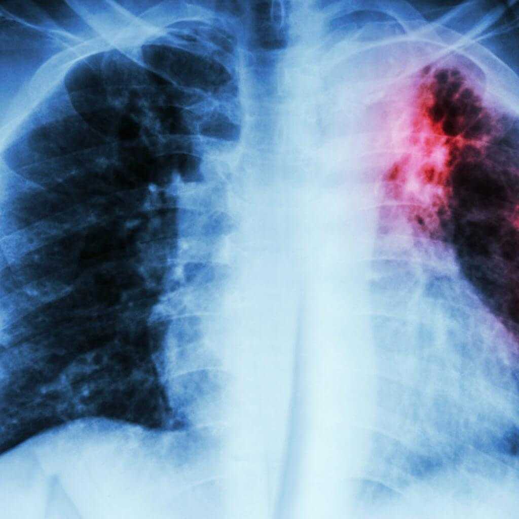
Рентгенологическое исследование легких позволяет выявить различные заболевания, такие как пневмония, туберкулез, рак легкого, эмфизема, фиброз легких и другие. Оно также может помочь в оценке состояния легких при хронических заболеваниях, например, при бронхиальной астме или хронической обструктивной болезни легких.
Какие преимущества имеет рентгенологическое исследование легких?
Рентгенологическое исследование легких является доступным и информативным методом диагностики. Оно позволяет быстро получить изображение внутренних органов и выявить наличие патологий. Кроме того, рентгенологическое исследование не требует специальной подготовки и может быть проведено в большинстве медицинских учреждений.
Показания
Рентгенографию назначают для установки первичного диагноза. Если есть подозрения о заболевании отдельного органа, проводят локальный снимок. Для профилактического исследования или необходимости более общего анализа назначается обзорный снимок.
Показаниями к проведению рентгенографии являются:
- Длительный кашель.
- Болевые ощущения в области грудины, спины, верхних конечностей.
- Выделение мокроты с примесями гноя и крови.
- Повышение температуры тела неясной этиологии.
- Повреждение позвоночника или ребер. Контроль после операций на этих частях тела.
- Неправильное развитие скелета.
- Подозрение на развитие онкологических заболеваний.
Во время диспансеризации люди, имеющие постоянный контакт с детьми и продуктами питания, работающие в медицинских учреждениях, обязательно проходят рентгенографию.

Методика проведения рентгена грудной клетки. Подготовка к рентгену грудной клетки
Кто выдает направление на рентген грудной клетки?
кости, легкие, сердцеРентгеновский снимок грудной клетки выполняется по направлению:
- семейных врачей;
- травматологов;
- вертебрологов;
- невропатологов;
- кардиологов;
- пульмонологов;
- фтизиатров;
- хирургов;
- онкологов и т. д.
Где выполняется рентгенография грудной клетки?
В рентгеновском кабинете находятся:
- рентгеновский аппарат (один или несколько);
- передвижные ширмы;
- средства радиационной защиты (фартуки, воротники, юбки, пластины);
- приборы, регистрирующие дозу радиации;
- средства для проявления или распечатывания снимков;
- негатоскопы (яркие экраны для освещения пленочных снимков);
- столы и компьютеры для ведения документации.
Что представляет собой рентгеновская установка для проведения рентгена грудной клетки?
В состав цифровой рентгеновской установки входят:
- Источник питания. Он получает электрическую энергию от электрической сети и трансформирует ее в электрический ток более высокого напряжения. Это необходимо для получения рентгеновского излучения достаточной мощности.
- Штатив. Цифровой рентген грудной клетки выполняется обычно в положении стоя. К вертикальному штативу, регулируемому по высоте, с одной стороны крепится сенсорный экран, а с другой – рентгеновский излучатель. Во время выполнения исследования пациент находится между экраном и излучателем.
- Рентгеновский излучатель. Создает рентгеновское излучение заданной мощности. Имеет несколько фокусных расстояний для изучения органов, расположенных на разной глубине в теле человека.
- Коллиматор. Это устройство, которое концентрирует пучок рентгеновского излучения. Благодаря этому используются меньшие дозы облучения.
- Цифровой приемник рентгеновского излучения. Состоит из сенсоров, которые воспринимают рентгеновское излучение и передают его на компьютерное устройство.
- Аппаратно-программный комплекс. Принимает и обрабатывает информацию от сенсоров. Благодаря программному обеспечению врач-рентгенолог может детально изучать цифровой снимок, так как оно содержит мощные инструменты работы со снимками.
Можно ли выполнить рентген грудной клетки на дому?
Рентген проводится на дому или в палате больного для следующих групп пациентов:
- больные с высокой температурой, лихорадкой;
- больные с тяжелыми инфекционными заболеваниями;
- нетранспортабельные пациенты;
- пациенты с травмами нижних конечностей (обездвиженные гипсом);
- больные со злокачественными опухолями;
- маленькие дети;
- пациенты в пожилом возрасте;
- инвалиды.
Зачем выполняется рентгенография легких в нескольких проекциях
Иногда у пациентов возникает вопрос, зачем выполняется рентген легких в нескольких проекциях. Ответим, что обследование позволяет определить форму, размеры и характер патологической тени.
Согласно стандартам клинического обследования пациентов рентгеновскими лучами при подозрении на пневмонию врачи-рентгенологи делают снимки в прямой и боковой проекциях. По переднезаднему и боковому снимкам можно определить локализацию патологического образования, а также, сколько сегментов оно затрагивает.
Динамический рентгенологический контроль воспалительных изменений грудной клетки может осуществляться в боковой и переднезадней проекциях в зависимости от решения врача-рентгенолога.
Каждый пациент имеет право отказаться от радиационного облучения и взять ответственность за здоровье на себя!
Рентген органов грудной полости – действенная и эффективная методика выявления патологии легких и окружающих тканей, а также динамического контроля лечения пациента. Проводится рентгенография по строгим показаниям!
Советуем также прочесть:
Рентген грудной клетки представляет собой диагностическую процедуру, которая дает возможность исследовать внутренние органы человека, расположенные за грудиной. Рентгенологическое исследование позволяет воссоздать образ и изображение расположенных внутри органов при помощи «просвечивания» грудной клетки излучением.
Как происходит рентген ОГК
Если вам назначили рентген ОГК, вам нет необходимости беспокоиться о каких-либо специальных приготовлениях. Не нужно соблюдать диету или выполнять какие-то особые указания. Особенности процедуры будут зависеть от того, где именно она проходит. В больницах и прочих медицинских учреждениях для этого используют специальный кабинет, стены и двери которого обшиты металлом, не пропускающим Х-лучи.
От пациента требуется раздеться выше пояса, подойти к аппарату, сделать глубокий вдох и на пару мгновений задержать дыхание. Делать все эти нехитрые манипуляции нужно не самопроизвольно, а по команде рентгенолога. Металлические предметы лучше снять, они могут создавать помехи.
Кроме этого, существуют подвижные аппараты, способные сделать снимок в разных проекциях даже у лежачего пациента, что особенно актуально в случае травм позвоночника, когда пациент не может подняться самостоятельно. В очень тяжелых случаях назначают МРТ как средство наиболее полной и точной диагностики, его принцип тоже сходен с цифровым рентгеном.
Стандартная р-графия предполагает следующее:
- Снимок будет готов в течении получаса. Грамотный и опытный рентгенолог сможет вам обозначить основные ключевые моменты по снимку, если вы его об этом попросите, но полную расшифровку может дать только ваш лечащий врач. Не забывайте об этом, особенно, если пришли делать снимок по направлению от врача.
- Процедура очень простая и полностью безболезненная, она безопасна как для взрослых, так и для детей, но прибегать к ней можно не слишком часто, чтоб избежать чрезмерного влияния Х-лучей на организм.
- Никаких приготовлений не нужно, а сам процесс занимает несколько минут, большую часть которых вы потратите на переодевание.
Обычно делают рентген ОГК в прямой проекции, но иногда его рекомендуют выполнить и в нескольких проекциях сразу. Такой снимок делают в случае:
- Когда есть подозрения на заболевание пневмонией (прямая и боковая проекция).
- Передний, задний и боковой снимок делают в случае подозрения на онкологию, чтоб определить объем и характер новообразований в легких.
- По рекомендации врача, когда на снимке есть затемнения неопределенного характера и нужно определить их размеры и локализацию.
- Для оценки динамики лечения при тяжелых болезнях легких или прочих органов грудной клетки.
Что показывает рентген грудной клетки

В число патологий, что показывает рентген грудной клетки, входят разнообразные заболевания сердечно-сосудистой и дыхательной системы, а также грудного отдела позвоночника и непосредственно грудной клетки, то есть ребер и грудины. Что будет видно на рентгене, зависит от целей обследования.
Обзорная или общая рентгенография покажет все имеющиеся нарушения. К ним относятся:
- переломы и трещины ребер;
- искривленная грудина, аномалии строения и перелом грудины;
- аномалии позвоночного столба и ключиц;
- воспалительные и инфекционные повреждения тканей легких, в том числе пневмония и туберкулез;
- патологии сердца и сосудов.
На снимках обзорной процедуры тени всех органов и структур выглядят наслоенными друг на друга (в медицине такой эффект называют суммация). Из-за отсутствия детализации в 2 проекциях (боковой и прямой) точная диагностика может быть затруднена, поэтому результаты обзорного обследования нередко являются промежуточными и требуют уточнения посредством использования прицельной рентгенографии.
Прицельный рентген ОГК позволит увидеть патологические очаги более детально и на основании их внешнего вида поставить дифференцированный, то есть максимально точный диагноз. Примером могут послужить следующие ситуации:
- Воронкообразная деформация грудной клетки, обнаруженная на снимке в одной проекции, может указывать на недоразвитие диафрагмальных корешков или быть одним из признаков системной аномалии, известной как синдром Поланда. Последнее заболевание затрагивает не только срединную грудную кость, но и ребра, мышцы, непосредственно диафрагму. Дифференциальная рентгенодиагностика важна и при такой патологии, как килевидная грудная клетка, так как она может свидетельствовать как о врожденной аномалии, так и посттравматических изменениях.
- Видимое расширение тени средостения может указывать как на аномалии сердечной мышцы (сердечная недостаточность, острый или застарелый инфаркт, перикардит со скоплением выпота), так и патологии средостения — липомы, кисты и другие новообразования.
- Плотная тень в верхней части грудины со специфической симптоматикой (удушье, проблемы с глотанием) — распространенные признаки загрудинного зоба. Однако схожую картину рентген показывает при онкологии пищевода и щитовидной железы. Особого внимания в этом случае требуют лимфоузлы: если они не видны на снимках, речь может идти именно о зобе, в то время как их увеличение может указывать на рак.
- Тени на легких могут означать как инфекционное (туберкулезное) поражение тканей, так и воспаления в тканях легких, скопление жидкости в плевральной полости. При расположении внизу грудной клетки такие затенения может спровоцировать липома кардиодиафрагмального угла.
- Мальформации сосудов диагностируются достаточно легко, так как нетипичные сужения и расширения их контуров заметны и в прямом, и в боковом ракурсе. По характеру рисунка врач может определить наличие эмболии и тромбоза, аневризмы и другие заболевания.
При детальном исследовании рентгенография грудины проводится в прямой проекции, а затем дополняется снимком в боковой проекции, благодаря чему удается с высокой точностью определить локализацию патологического очага.
Важно! Боковая проекция в диагностике считается второстепенной, так как большая часть патологических изменений четко видна на переднезадних снимках
Рентген при переломе
Переломы ребер являются общим следствием травмы и могут вызывать опасные для жизни осложнения. 4-10 ребра наиболее часто поддаются перелому. Переломы 1-го-3-го ребер связаны с травмой, во время которой воздействовала сила с большой энергией.
Когда ребро надламывается дважды, образуется «болтающееся ребро» – фрагмент свободной трещины, и когда присутствуют три или более смежных болтающихся ребра, это может сильно затруднять дыхание.
Этиология переломов ребер:
- тупая и проникающая травма: например, дорожно-транспортные происшествия, падения, нападения;
- патологические переломы;
- стрессовые переломы: чаще встречаются у спортсменов;
- сердечно-легочная реанимация (СЛР);
- скелетная дисплазия;
Переломы ребер часто связаны с другими травмами, и чем больше количество переломов, тем больше вероятность травм плечевого сплетения или повреждения подключичной части сплетения (переломы 1-го-3-го ребра), пневмоторакса/гемоторакса, повреждения, грыжи легких, травмы печени, почек и селезенки (переломы 10-12-го ребра).
Помимо непосредственных травматических осложнений, описанных выше, ателектаз и пневмония могут развиваться, главным образом, из-за слабых дыхательных движений, вторичных по отношению к боли, и это увеличивает заболеваемость и смертность из-за переломов ребер.
Показания и особенности проведения
Рентген грудной клетки и легких назначается при появлении у человека таких симптомов:
- повышенная общая слабость,
- резкая утрата человеком веса,
- трудновыводимый сухой кашель, который буквально изматывает человека,
- выделение вместе с мокротой крови,
- длительное повышение температуры тела без видимых причин,
- если человек ощущает боль в спине в стороне легких.
Кроме того, рентген органов грудной клетки надо делать обязательно при таких патологиях.
- Пневмония.
- Туберкулезное поражение органа.
- Опухоли (доброкачественные и злокачественные).
- Грибковые патологии.
- Сделать рентген ОГК необходимо и при наличии в легких посторонних тел.
Подготовка
Перед тем, как сделать пациенту рентгенологическое исследование грудной клетки, врач детально изучает историю болезни. От ее результатов зависит то, как делают рентген легких. В зависимости от заболевания и целевого предназначения диагностического обследования, врач выбирает нужную пленку, подбирает необходимые режимы рентген-лучей, необходимое время излучения и прочее.
Готовиться к такому исследованию просто. Рентгенография органов грудной клетки проводится со снятой одеждой. Пациент должен правильно располагаться перед рентген-оборудованием, чтобы рентгенологическое исследование грудной клетки было наиболее точным.
Кроме того, правильное расположение пациента перед оборудованием позволяет в значительной степени уменьшить отрицательное влияние рентгеновского облучения.
Во время проведения данной процедуры пациенту надо глубоко вдохнуть и далее не дышать. В то время как делают рентген грудной клетки, человек должен находиться в неподвижном состоянии
Насколько же важно такое требование? Если его не выполнять, то в отдельных случаях пациенту придется делать еще одно обследование. Точно так же делают рентгеновский снимок легких детям
Частота проведения
Как часто можно делать рентген легких? Этот вопрос интересует многих пациентов. Надо сказать, что такой метод исследования органов грудной клетки разрешенный, так что однозначно ответить на него не так уж и просто. Дело в том, что, несмотря на столетнюю практику использования рентгеновских лучей, исследования их влияния на организм продолжаются. На сегодня доказано, что рентгеновские лучи вызывают:
- мутацию генетического аппарата клетки,
- гибель тромбоцитов, лейкоцитов и эритроцитов,
- увеличивают проницаемость капилляров.
В то же время рентгенологические методы исследования органов дыхания отличаются сравнительно небольшой нагрузкой. Из этого можно сделать вывод: отказываться от рентгеновского исследования не надо. И его выполняют только тогда, когда в этом есть необходимость. При этом соблюдаются все меры радиационной защиты.
По данным многих клинических исследований, острая стадия лучевой болезни развивается при однократном проведении 25 тысяч флюорографий органов грудной клетки в год, или же 1000 рентгенографических и рентгеноскопических исследований легких в нескольких проекциях. Это говорит о том, что однократная рентгенография легких не может причинить существенного вреда для организма человека.
Дальнейшие действия пациента
Бывает, что описание рентгеновских снимков формирует ложноположительный результат или же отрицательные значения. Такое может быть, когда плотность тканей изменяется или же анатомические структуры имеют аномальное строение.
В случае сомнительного результата или невозможности поставить точный диагноз назначается повторное рентгенологическое обследование. Для уточнения результата пациенту может назначаться компьютерная или магнитно-резонансная томография. Ее результаты обладают высокой степенью достоверности.
Проходить ежегодное диагностическое и профилактическое обследование легких и органов грудной клетки необходимо всем. Кроме того, при подозрении на тяжелое или опасное заболевание этих органов такое исследование с высокой точностью определяет состояние легочной ткани, сердца, т.е. всех органов грудной клетки. Только от правильно поставленного диагноза зависит эффективное лечение.
https://youtube.com/watch?v=ZJ8-ue8gAzg
Рентгенография ОГК — что это такое и ее виды

В диагностической практике рентген ОГК — это классическая рентгенодиагностика, направленная на выявление патологических изменений органов грудной полости, непосредственно грудной клетки и прилежащих к органам анатомических структур. Метод позволяет изучить особенности всех типов тканей и обнаружить в них отклонения, свидетельствующие о заболеваниях.
Обследование проводится с использованием ионизирующего излучения, способного проникать сквозь толщу тканей и создавать монохромный теневой рисунок, на котором отображаются:
- реберные дуги, грудинная кость и верхний отдел позвоночника;
- область средостения, сердце и крупные сосуды, в том числе аорта;
- дыхательная система — верхние дыхательные пути, в частности трахея, корни легких и непосредственно легкие, бронхи, а также сосудистый рисунок легких;
- купол диафрагмы;
- синусы обеих плевральных полостей.
В большинстве случаев для постановки верного диагноза проводится рентгенография грудной клетки в двух проекциях: передней и боковой. В некоторых случаях проводится рентген в трех проекциях — передней, боковой и косой.
В зависимости от целей исследования врач может назначить обзорную рентгенографию грудной клетки. При этом на исследовании затрагивается обширная сфера: на снимках видны все ткани и органы. Как правило, развернутый рентген используется при подозрении на патологии нескольких органов грудной клетки
Если же клиническая картина указывает на конкретное заболевание, проводится прицельная рентгенография, на которой внимание фокусируется только на вызывающем беспокойство органе

Что такое цифровая рентгенография ОГК

Отличие цифровой рентгенографии грудной клетки от обычного рентгена значительное с точки зрения результативности. Для пациента эти виды диагностики не имеют отличий. Также как и классическое рентгенологическое исследование, оно проводится в нескольких проекциях и с разными целями. При необходимости врач может назначить прицельную или обзорную рентгенографию органов грудной клетки в 2-х проекциях или в трех.
Первое, чем отличается цифровой рентген — лучевая нагрузка. При этом виде исследования доза облучения значительно ниже. Второе отличие — качество получаемой картинки. Цифровой метод позволяет получить более четкое изображение, которое при необходимости можно увеличить для лучшей визуализации отдельных элементов. Третье отличие — результатом цифрового рентгена становится не распечатанный на пленке снимок, а цифровое изображение.
Где можно сделать и кто проводит
И прицельную, и обзорную рентгенографию органов грудной клетки можно сделать в обычной поликлинике, оснащенной рентгеновской установкой. Помимо этого, сделать рентген грудной клетки можно в частных медицинских учреждениях. Для прохождения исследования необходимо получить направление на рентген от лечащего врача — узкого специалиста, занимающегося лечением органов грудной клетки.
Важно! Самостоятельно пройти рентгенографию без существенных показаний и без направления врача практически невозможно. Проводится исследование под руководством врача рентгенолога
В муниципальных поликлиниках процедуру нередко проводит штатный рентген лаборант. Однако расшифровкой снимков неизменно занимается рентгенолог
Проводится исследование под руководством врача рентгенолога. В муниципальных поликлиниках процедуру нередко проводит штатный рентген лаборант. Однако расшифровкой снимков неизменно занимается рентгенолог.
Показания для проведения исследования
Рентген ребер используются по множеству причин. Врач может назначить рентген для проверки определенных раковых образований в разных частях грудной клетки около ребер, для обнаружения аномальных опухолей.
Рентгенография используется для просмотра области тела, где пациент испытывает боль, отек или другие аномалии, требующие внутреннего осмотра органов.
Рентген может помочь врачу найти причину возникновения проблем. Рентген ребер можно использовать для диагностики болезни, контроля прогрессирования заболевания, определения плана лечения и просмотра эффекта плана лечения. Врачи используют этот метод для обнаружения посторонних предметов в грудной клетке. Рентген может диагностировать состояния, влияющие на легкие, такие, как пневмония, туберкулез, эмфизема или рак легких.
Данный метод диагностики может использоваться для диагностики таких симптомов, как лихорадка, одышка, постоянный кашель или боль в груди. Рентген ребер может выявлять опухоли молочной железы и диагностировать рак молочной железы. Рентген может обнаружить увеличенное сердце, признак застойной сердечной недостаточности.
Рентген грудной клетки может выявить многие вещи внутри тела.
Состояние легких. Рентген грудной клетки может обнаруживать рак, инфекцию или накопление воздуха в пространстве вокруг легкого (пневмоторакс). Он также может показывать хронические состояния легких, такие как эмфизема или кистозный фиброз, а также осложнения, связанные с этими состояниями.
Сердечные проблемы легких. Рентген грудной клетки может показать изменения или проблемы в легких, которые возникают из-за проблем с сердцем. Например, жидкость в легких (отек легких) может быть результатом застойной сердечной недостаточности.
Кровеносные сосуды. Поскольку на рентгеновских снимках видны очертания крупных сосудов вблизи сердца – аорты и легочных артерий и вен – они могут выявлять аневризмы аорты, другие проблемы с кровеносным сосудом или врожденные пороки сердца.
Отложения . Рентген грудной клетки может обнаружить присутствие кальция в сердце или кровеносных сосудах. Его присутствие может указывать на повреждение сердечных клапанов, коронарных артерий, сердечной мышцы или защитного мешка, который окружает сердце. Отложения кальция в легких чаще всего происходят от старой, разрешенной инфекции.
Переломы. Переломы ребер или позвоночника или другие проблемы с костями можно увидеть на рентгенограмме грудной клетки.
Послеоперационные изменения. Рентгенологическое исследование грудной клетки полезно для мониторинга выздоровления после операции в груди, например, на сердце, легких или пищеводе. Врач может посмотреть на любые линии или трубки, которые были помещены во время операции, чтобы проверить наличие утечек воздуха и областей жидкости, или образования воздуха.
Кардиостимулятор, дефибриллятор или катетер. У кардиостимуляторов и дефибрилляторов есть провода, прикрепленные к сердцу, чтобы убедиться, что сердечный ритм нормальный. Катетеры представляют собой небольшие трубки, используемые для доставки лекарств, или для диализа. Рентген грудной клетки обычно делается после размещения таких медицинских устройств, чтобы убедиться, что все правильно установлено.
Рентген ребер – это, по сути, рентген грудной клетки. Рентген грудной клетки позволяет визуализировать сердце, легкие, кровеносные сосуды, дыхательные пути, кости грудной клетки и позвоночника. Рентген грудной клетки может также обнаруживать жидкость в легких или окружающих легкие тканях.
Если пациент обратился к врачу, или в отделение неотложной помощи с болью в груди, травмой грудной клетки или одышкой, то, как правило, его направят на рентген грудной клетки. Рентген грудной клетки помогает врачу определить, есть ли у пациента проблемы с сердцем, коллапс легкого, пневмония, сломанные ребра, эмфизема, рак или любое другое состояние.
Рентген грудной клетки является распространенным способом диагностики болезни. Но его также можно использовать, чтобы определить, работает ли определенное лечение. У некоторых людей есть серия рентгеновских снимков в грудной клетке, сделанных с течением времени, чтобы отслеживать, улучшается или ухудшается проблема со здоровьем.
Рентген грудной клетки является распространенным типом исследования. Рентген грудной клетки часто входит в число первых процедур, которые пациент будет проходить, если врач подозревает, что у него есть заболевание сердца или легких. Его также можно использовать для проверки того, как пациент реагирует на лечение.
Какое обследование самое опасное?
Для сравнения «вредности» различных видов рентгеновской диагностики можно воспользоваться средними показателями эффективных доз, приведенных в таблице. Это данные из методических рекомендаций № 0100/1659-07-26, утвержденных Роспотребнадзором в 2007 году. С каждым годом техника совершенствуется и дозовую нагрузку во время исследований удается постепенно уменьшать. Возможно в клиниках, оборудованных новейшими аппаратами, вы получите меньшую дозу облучения.
|
Часть тела,
орган |
Доза мЗв/процедуру | |
|---|---|---|
| пленочные | цифровые | |
| Флюорограммы | ||
| Грудная клетка | 0,5 | 0,05 |
| Конечности | 0,01 | 0,01 |
| Шейный отдел позвоночника | 0,3 | 0,03 |
| Грудной отдел позвоночника | 0,4 | 0,04 |
| Поясничный отдел позвоночника | 1,0 | 0,1 |
| Органы малого таза, бедро | 2,5 | 0,3 |
| Ребра и грудина | 1,3 | 0,1 |
| Рентгенограммы | ||
| Грудная клетка | 0,3 | 0,03 |
| Конечности | 0,01 | 0,01 |
| Шейный отдел позвоночника | 0,2 | 0,03 |
| Грудной отдел позвоночника | 0,5 | 0,06 |
| Поясничный отдел позвоночника | 0,7 | 0,08 |
| Органы малого таза, бедро | 0,9 | 0,1 |
| Ребра и грудина | 0,8 | 0,1 |
| Пищевод, желудок | 0,8 | 0,1 |
| Кишечник | 1,6 | 0,2 |
| Голова | 0,1 | 0,04 |
| Зубы, челюсть | 0,04 | 0,02 |
| Почки | 0,6 | 0,1 |
| Молочная железа | 0,1 | 0,05 |
| Рентгеноскопии | ||
| Грудная клетка | 3,3 | |
| ЖКТ | 20 | |
| Пищевод, желудок | 3,5 | |
| Кишечник | 12 | |
| Компьютерная томография (КТ) | ||
| Грудная клетка | 11 | |
| Конечности | 0,1 | |
| Шейный отдел позвоночника | 5,0 | |
| Грудной отдел позвоночника | 5,0 | |
| Поясничный отдел позвоночника | 5,4 | |
| Органы малого таза, бедро | 9,5 | |
| ЖКТ | 14 | |
| Голова | 2,0 | |
| Зубы, челюсть | 0,05 |
Очевидно, что самую высокую лучевую нагрузку можно получить при прохождении рентгеноскопии и компьютерной томографии. В первом случае это связано с длительностью исследования. Рентгеноскопия обычно проводится в течение нескольких минут, а рентгеновский снимок делается за доли секунды. Поэтому при динамичном исследовании вы облучаетесь сильнее. Компьютерная томография предполагает серию снимков: чем больше срезов — тем выше нагрузка, это плата за высокое качество получаемой картинки. Еще выше доза облучения при сцинтиграфии, так как в организм вводятся радиоактивные элементы. Вы можете прочитать подробнее о том, чем отличаются флюорография, рентгенография и другие лучевые методы исследования.
Чтобы уменьшить потенциальный вред от лучевых исследований, существуют средства защиты. Это тяжелые свинцовые фартуки, воротники и пластины, которыми обязательно должен вас снабдить врач или лаборант перед диагностикой. Снизить риск от рентгена или компьютерной томографии можно также, разнеся исследования как можно дальше по времени. Эффект облучения может накапливаться и организму нужно давать срок на восстановление. Пытаться пройти диагностику всего тела за один день неразумно.
Корни лёгких и диафрагма на рентгене
На снимке диафрагма отображается снизу лёгочного поля и образует купол. Высоко стоит диафрагма в центральной части, а к периферии опускается, образуя углы — синусы. В норме купол диафрагмы находится на уровне пятого-шестого ребра. При глубоком вдохе она уплощается.
Корни лёгких при рентгенодиагностике увидеть проблематично, поскольку перекрываются тенью средостения. На снимке видимую часть делят на верхнюю, среднюю и нижнюю части. Основную тень даёт лёгочная артерия и меньшую — вены, а контрастности изображению придают бронхи. Внешне корень лёгкого является целым сплетением сосудов и бронхов, которые и дают тень на снимке.





























