Определение дня овуляции
Если вы попали к врачу в первой половине цикла (до 14-го дня), он увидит растущий фолликул. Размеры его будут от 6-7 мм на 6 день цикла до 18-22 на 14 день цикла. Такой фолликул называется преовуляторным или доминантным. Именно он овулирует в данном цикле, то есть из него выйдет яйцеклетка, которая может быть оплодотворена.
Доминантный фолликул растет со скоростью 2 мм в день, начиная с 10 мм (примерно с 6 дня цикла).
Овуляция происходит при размере фолликула примерно 18-22 мм
Таким образом, увидев на 8 день цикла фолликул 10 мм, врач легко рассчитает, что овуляция произойдет на 12-14 день цикла, а значит оптимальный дни для зачатия с 13 по 15.
Тесты на овуляцию надо начинать делать за 2 дня до предполагаемого дня овуляции. Рассчитать его можно путем вычитания из длительности цикла 14 дней. Так, при 28-дневном цикле овуляция в идеале происходит на 14 день +/- 2 дня. При нерегулярном цикле «ловить» овуляцию по тестам нецелесообразно: долго, дорого и ненадежно.
Измерение ректальной температуры (температуры в прямой кишке) по утрам – давно ушедший день. Но для тех, кому лень идти на УЗИ или делать тесты на овуляцию, вполне приемлемый, хотя и не очень точный метод.
У здоровой молодой женщины овуляция должна происходить каждый месяц. Впрочем, и отсутствие ее в течение 1-2 циклов в году тоже не считается отклонением.
Что такое овуляция?
Количество яйцеклеток в организме женщины запрограммировано генетически и закладывается еще во время беременности мамы. Сразу после рождения у девочки в яичниках сконцентрировано до 2 млн фолликулов – своеобразных клеточных островков. Это инкубаторные клетки, где до поры до времени хранятся яйцеклетки. К началу полового созревания фолликулы сокращаются – их остается около 300 тысяч.
Месячный цикл женщины – это и есть последовательное развитие и гибель фолликулярных клеток. Состоит цикл из трех фаз:
- Фолликулогенез – фолликул постепенно созревает.
- Овуляция – фолликул истончается, и из него появляется яйцеклетка.
- Лютеиновая фаза – «отработавший» фолликул превращается в желтое тело.
В период фолликулогенеза половой мини-инкубатор проходит несколько стадий развития: примордиальный (первичный), вторичный и преовуляторный (третичный).
Затем наступает самая короткая фаза – непосредственно овуляция. В это время фолликул уже сильно вырос, стенки его под влиянием гормонов истончаются, рвутся, и яйцеклетка выходит на свободу. А после движется по фаллопиевым трубам в сторону матки, ожидая, что ее оплодотворит сперматозоид.
На последней стадии развития лопнувший фолликул превращается в желтое тело и начинает вырабатывать гормон беременности прогестерон. Если беременность на этом этапе не наступает, желтое тело рассасывается.
Частые вопросы
Какие изменения происходят в яичниках во время фолликулогенеза?
Во время фолликулогенеза в яичниках происходит развитие фолликулов – специальных структур, в которых формируются яйцеклетки. Каждый месяц несколько фолликулов начинают развиваться, но только один из них достигает зрелости и овулирует.
Каким образом УЗИ помогает определить овуляцию?
УЗИ (ультразвуковое исследование) позволяет визуализировать яичники и следить за процессом фолликулогенеза. Врач может определить размеры фолликулов и их количество, а также оценить толщину эндометрия – слизистой оболочки матки. По результатам УЗИ можно сделать предположение о приближающейся овуляции.
Какие признаки свидетельствуют о наступлении овуляции?
Овуляция сопровождается рядом физиологических изменений в организме женщины. Некоторые из признаков, которые могут указывать на наступление овуляции, включают повышение базальной температуры тела, появление выделений схожих с слизью, усиление сексуального влечения и ощущение легкой боли или дискомфорта внизу живота.
Можно ли заметить момент выхода яйцеклетки без УЗИ?
Организм обычно всячески сигнализирует женщине, что настал тот самый долгожданный момент, происходит это на 10-14 день от начала месячных. Признаки довольно характерны, и их можно заметить, даже не имея медицинского образования. Косвенными признаками овуляции обычно являются следующие:
Увеличивается количество выделений до одной столовой ложки в день
Важно, что они должны быть прозрачные, без цвета и запаха, вязкие. Кровь, резкий неприятный запах и ненормальный цвет должны вызвать подозрения о протекании болезни в организме женщины.
Разрыв фолликула может сопровождаться как тянущей, так и сильной резкой болью в животе.
Повышается либидо.
Происходят изменения на уровне гормонов после выхода фолликула.
Возможна болезненность молочных желез.
В любом случае, эти признаки могут проявиться в другие дни менструального цикла, а могут и вовсе не проявиться, поэтому слепо полагаться на них не стоит. Все-таки УЗИ мониторинг – это единственно достоверный способ узнать о подходящем моменте для зачатия.
Дни фолликулометрии
Планирование беременности – значительное событие в жизни женщины. При регулярном менструальном цикле со своевременным выходом половой клетки, зачатие наступает быстро.
Гораздо хуже приходится девушкам с перебоями в этом процессе. В таких случаях прибегают к помощи мониторинга УЗИ – фолликулометрии.
Дни, благоприятные для зачатия достаточно легко определяются с помощью данного исследования.
Как делают — способы
Различают два вида УЗИ малого таза:
- абдоминальное, которое делается через брюшную стенку при наполненном мочевом пузыре;
- вагинальное, где используется специальный датчик вводимый во влагалище, здесь наоборот перед процедурой необходимо помочиться.
Какой из них выбрать, решаете вы сами, с учетом материальных возможностей. Второй способ УЗИ малого таза для проведения фолликулометрии считается более информативным, поэтому обходится дороже.

Посоветуйтесь с врачом, чтобы выбрать способ проведения УЗИ малого таза для более результативной фолликулометрии
Рассмотрим процесс фолликулометрии:
- Менструальный цикл начинается с первого дня месячных. В это время фолликулы имеют около 2 мм в диаметре и их несколько.
- Постепенно по мере роста вперед вырывается 1 или 2 из них.
- При нормальном ритмическом цикле примерно на 7 день фолликулометрия показывает жидкостный пузырек около 15 мм.
- Дальше по решению доктора проводится 3-4 УЗИ с интервалом в 1-2 дня, пока доминант не достигает степени зрелости 18-25 мм в диаметре, или не будет зафиксирован факт выхода клетки.
Цель исследования
При УЗИ малого таза фолликулометрия не ставит единственную цель слежения за развитием яйцеклетки.
Фолликулометрия также помогает:
- подтвердить овуляцию;
- вычислить день цикла, когда выйдет клетка, тем самым указывая благоприятное время для зачатия;
- спрогнозировать пол ребенка;
- не допустить или наоборот повысить шанс многоплодной беременности;
- проследить за толщиной эндометрия;
- оценить полноценность ритмических процессов;
- выявить признаки нерегулярности;
- диагностировать некоторые болезни (миома, киста);
- контролировать результаты, после проведенного лечения путем стимуляции гормонами.
Для чего проводится фолликулометрия
На какой день делать фолликулометрию
Чтобы узнать на какой день необходимо делать фолликулометрию, нужно, в первую очередь, знать примерное количество дней менструального цикла.
При цикле в 28 дней
Если цикл длится больше 28 дней, на какой день цикла делать фолликулометрию, определяют путем отсчета от дня следующих критических дней, отнимая от предполагаемой даты 14. Эта фиксированная величина – длительность второй фазы. Первое исследование назначают за 5-6 дней до нее.
К примеру, цикл длится 30 дней: 30-14=16, 16-5=11. Значит, на 11-12 день цикла проводят первое УЗИ малого таза, с прежними интервалами и в количестве указанном врачом.
При коротком цикле
При коротком менструальном цикле, дни для фолликулометрии рассчитываются аналогичным способом. Продолжительность второй половины цикла не меняется и составляет все те же 14 суток, а вот первая фаза – сокращенная, соответственно процедура начинается раньше. Так, при цикличном периоде в 22 дня проводим аналогичные подсчеты и получаем, что аналитику необходимо делать на 4 день.
При нерегулярной менструации
На какой день цикла фолликулометрия назначается при нерегулярных месячных, просчитать по обычной формуле не получится.
Специалисты выяснили, что исследование малого таза необходимо начинать спустя 3-5 дней со старта месячных, и повторять через 1-2 дня под наблюдением гинеколога.
Об исследовании
Яичники рассматривают не только тогда, когда имеется четкое назначение, но и при УЗИ малого таза, но что такое УЗИ малого таза? Это ультразвуковое исследование, в ходе которого исследуются органы мочеполовой системы, но сюда не входят почки. Часто главной целью этой диагностики у женщин является именно репродуктивная система (матка, влагалище, яичники и т.д.).
Органы малого таза женщины требуют тщательного и регулярного обследования, так как патологии в данной системе достаточно часты. Очень тесно эти заболевания связаны с балансом гормонов в организме женщины, поэтому тут необходимо правильно выбрать дату проведения диагностики.
Что такое овуляция?
Количество яйцеклеток в организме женщины запрограммировано генетически и закладывается еще во время беременности мамы. Сразу после рождения у девочки в яичниках сконцентрировано до 2 млн фолликулов – своеобразных клеточных островков. Это инкубаторные клетки, где до поры до времени хранятся яйцеклетки. К началу полового созревания фолликулы сокращаются – их остается около 300 тысяч.
Месячный цикл женщины – это и есть последовательное развитие и гибель фолликулярных клеток. Состоит цикл из трех фаз:
- Фолликулогенез – фолликул постепенно созревает.
- Овуляция – фолликул истончается, и из него появляется яйцеклетка.
- Лютеиновая фаза – «отработавший» фолликул превращается в желтое тело.
В период фолликулогенеза половой мини-инкубатор проходит несколько стадий развития: примордиальный (первичный), вторичный и преовуляторный (третичный).
Затем наступает самая короткая фаза – непосредственно овуляция. В это время фолликул уже сильно вырос, стенки его под влиянием гормонов истончаются, рвутся, и яйцеклетка выходит на свободу. А после движется по фаллопиевым трубам в сторону матки, ожидая, что ее оплодотворит сперматозоид.
На последней стадии развития лопнувший фолликул превращается в желтое тело и начинает вырабатывать гормон беременности прогестерон. Если беременность на этом этапе не наступает, желтое тело рассасывается.
Первый, второй и контрольный УЗИ-мониторинги на овуляцию
Если у девушки регулярные месячные, то ей проводят 2 – 3 сеанса УЗИ. Первый ультразвук проходит в предполагаемый день овуляции. Обычно его высчитывают календарным способом.
Но если у женщины менструальный цикл не регулярный или вообще отсутствует, то врач время диагностики определяет по собственному усмотрению. Кроме того, женщинам с проблемными месячными исследование делают чаще, чем 3 раза.
Первая процедура – самая важная, поскольку, именно в этот момент медик анализирует число и размер фолликулов. Нередко врач обнаруживает несколько доминантных фолликулов, в этой ситуации нельзя исключать вероятную многоплодную беременность.
Второе обследование контролирует, с какой скоростью растут фолликулы и, каких размеров в итоге достигают.
Контрольное УЗИ показывает: была ли вообще овуляция. Поэтому его проводят не позднее 3-х дней после предположительной овуляции.
Женщину можно смело поздравить, если проверка показала наличие желтого тела, жидкости за маткой, доминантного фолликула. Но при отсутствии признаков овуляции не нужно расстраиваться, поскольку, овуляция – не ежемесячное явление. Как правило, она «уходит в отпуск» 2 – 3 раза в году.
Фолликулометрия после овуляции
Ответ на главные вопросы мониторинга УЗИ была ли овуляция и чем этот процесс закончился, даёт контрольный сеанс фолликулометрии после предположительного выхода готовой к оплодотворению яйцеклетки. Процедуру проводят в период со 2-3 дня после ожидаемого выхода созревшей яйцеклетки до конца месячного цикла.
Если всё прошло благополучно, на экране монитора можно увидеть:
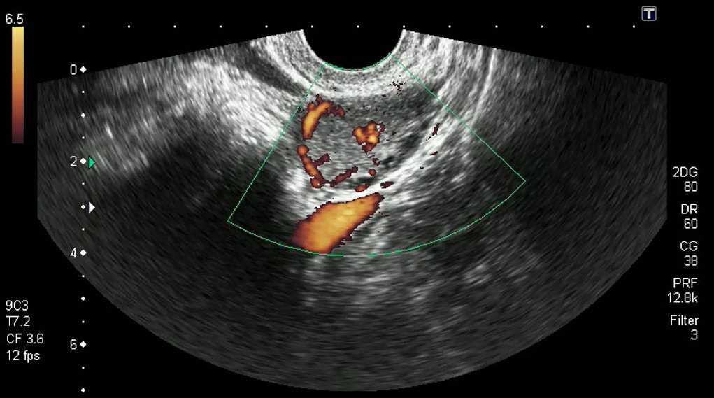
- Жёлтое тело (округлое образование с неровными контурами) на месте созревшего фолликула. Размер жёлтого тела после овуляции (15 день цикла) — 15-20 мм. Оно активно растёт и достигает к 20 дню цикла диаметра 2,5-2,7 см. В течение недели после того как состоялась овуляция, жёлтое тело в яичнике угасает и исчезает в момент очередной менструации или наоборот — ещё активнее увеличивается (если произошло зачатие).
Жёлтое тело – временная железа, образующаяся на месте доминантного фолликула после овуляции
Жидкую субстанцию в дугласовом пространстве за маткой. Это содержимое доминантного фолликула, которое вытекает после освобождения зрелой яйцеклетки, и небольшая часть секрета фаллопиевых труб.
Фото УЗИ – фолликулометрии после овуляции. Есть жёлтое тело и свободная жидкость
Если состоялась овуляция, жидкость в позадиматочном пространстве скапливается в незначительном объёме. В норме её вертикальный уровень менее 10 мм, если же он превышает 50 мм, это может быть следствием различных патологических процессов во внутренних половых органах.
При планировании ребёнка, самое лучшее время для интимной близости – день разрыва фолликула и 1-2 дня до него.
После овуляции необходимо ждать примерно 7-10 дней (чтобы эмбрион имплантировался в матку). Признаки имплантации описаны в этой статье. Если такие признаки есть, то можно делать ультрачувствительный тест на беременность. Если нет – ждите начала задержки (15 дней после овуляции) и тогда делайте тест.
Если вы нашли ошибку, пожалуйста, выделите фрагмент текста и нажмите Ctrl+Enter.
Как по УЗИ рассчитывается день овуляции
Это главное его достоинство. Однако есть в нём и недостатки: дороговизна и необходимость посещения кабинета УЗИ. Дело в том, что перед установкой факта готовности фолликула к овуляции может пройти не один день, и за каждый скрининг нужно платить.
При стабильном 28-дневном цикле УЗИ-мониторинг начинают спустя 8-10 дней после окончания менструации. В это время уже можно увидеть доминантный фолликул. Следующие процедуры (одна или две), проведённые в 12-14 дни цикла, подтверждают его рост и созревание — прямое свидетельство приближения овуляции. Если процесс развивается нормально, УЗИ в 17-18 день цикла демонстрирует её наступление.
Если менструальный цикл стабильный, но его продолжительность меньше или больше 28 дней, первый сеанс УЗИ-мониторинга проводят за 4-5 дней до его предположительной середины цикла. Если месячные нерегулярные, фолликулометрию назначают на 4-й день после их окончания. В любом случае определить день овуляции на УЗИ удаётся за 2-3 сеанса.
Можно ли определить овуляцию по УЗИ
Обычно определяют овуляцию по УЗИ, используя трансвагинальный, ультразвуковой датчик. Задача врача определить рост главного фолликула, состояние эндометрия и развитие желтого тела.
p, blockquote 3,0,0,0,0 —>
В норме овуляционный период наступает каждый месяц приблизительно в середине менструального цикла. Каждый яичник содержит по 10-12 фолликулов, приблизительно через 3 дня по окончанию месячных появляется доминантный, один или несколько фолликулов. Он выделяет яйцеклетку, возможно несколько, если оплодотворились обе, то наступает беременность двойней или несколькими эмбрионами. Метод УЗИ помогает понять, происходит ли вообще процесс выхода яйцеклетки.
Как делают исследование на овуляцию
УЗИ для определения овуляции выполняют двумя способами: путем введения датчика во влагалище или проводя им по поверхности живота. Женщина не при каком из методов не испытывает дискомфорта, полученные результаты высвечиваются у доктора на экране.
p, blockquote 5,0,0,0,0 —>
При отслеживании овуляции по УЗИ первым способом, женщина ложится на спину, предварительно сняв трусики. Далее коленки подтягиваются, ноги должны быть раздвинуты. Врач надевает на аппарат презерватив и вводит во влагалище. Во втором случае пациентка оголяет поверхность живота и лобок.
Когда делать обследование на овуляцию
УЗИ мониторинг позволяет с максимальной точностью определить период овуляции и выявить причины сбоев в репродуктивной системе, соответственно правильно и своевременно вылечить пациентку. Чтоб понять, когда выполнять процедуру нужно учитывать менструальный цикл женщины, продолжительность которого в среднем равна 28-30 дням. Началом цикла принято считать первый день последней менструации. Если у женщины он без сбоев, то для точного определения выхода яйцеклетки достаточно 2-3 процедур.
p, blockquote 7,0,0,0,0 —>
При регулярных месячных женщине проводят первую процедуру на 8-10 день от их начала. При сбоях, пациентке назначают исследование за 3-4 дня до предполагаемого числа выхода яйцеклетки. В последнем случае дополнительно проводят исследования яичников и эндометрия, по данным которых устанавливаются причины нерегулярных менструаций.
Повторное УЗИ можно делать на 3 день, при котором доктор еще раз проверяет доминантный фолликул, он может достигнуть размера 2 см. Прекращение его развития говорит о не наступлении овуляции по каким-либо причинам.
p, blockquote 9,0,1,0,0 —>
Исходя из данных анализов, специалист определяет, на какой день делать УЗИ в третий раз, процедуру проводят когда фолликул достигнет максимальных размеров, после происходит его разрыв и наступает период овуляции.
Как узнать, когда эффективнее делать УЗИ мониторинг?
В современном обществе многим парам требуется такая помощь в зачатии. Специалист, к которому они приходят, проводит обследование, дает направление на различные анализы и обследования. Изучение поведения фолликулов, а именно, мониторинг овуляции с помощью УЗИ, тоже входит в список назначений. Фолликулометрия позволяет максимально точно установить день начала овуляции, когда шансы успешно зачать имеют очень высокую вероятность. С помощью такого фолликулогенеза можно выяснить, нет ли нарушений в работе системы органов репродукции. УЗИ также помогает доктору выбрать правильный курс терапии в случае проблем.
Так, когда необходимо делать УЗИ на проверку овуляции? Чтобы знать ответ на данный вопрос, необходимо четко знать месячный цикл представительницы прекрасного пола. У каждой он свой, но в среднем продолжается на пару дней меньше месяца. Принято, что цикл начинается с первого дня месячных.
Отправляться на такое исследование можно на 8-10-й день после начала месячных. Если же женский организм имеет свои особенности или отличающийся от стандарта цикл, врач приглашает на первое УЗИ за пять суток до возможного дня овуляции.
Бывает, у женщины месячные идут нерегулярно или цикл непостоянный. В этом случае посещение врача-узиста рекомендуется начинать с третьего дня по окончании «критических дней». Тогда, кроме фолликулогенезе проводится дополнительно проверка эндометрии, обследуются яичники, чтобы установить, почему нарушен цикл.
Как проводится процедура фолликулометрии?
Исследование проводится трансвагинальным способом, при котором специальный датчик вводится во влагалище. Он не принесет вред, не доставит боли.
Изучение фолликулометрии способом УЗИ проводят в определенные дни месячного цикла. Специалист УЗИ составляет описание того, как проходит созревание яйцеклетки.
Первый раз УЗИ проводят на восьмой-десятый день по окончании «критических дней». Оно достаточно точно выявляет фолликул, который будет доминировать. Он, как правило, крупнее остальных и имеет размеры более сантиметра.
Дня три спустя проводят повторное УЗИ и снова определяют доминирующий фолликул. Если по какой-либо причине фолликул прекращает развитие, овуляции быть не может.
Третье посещение назначает узист, который исходит из полученных результатов первых двух исследований. Процедуры повторяют в следующем месяце, если беременность не наступила.
Признаки овуляции
Наступление этого момента в цикле можно определить по довольно явно определяемым «симптомам». Признаки наступления овуляции – это:
- появление слизи из влагалища;
- симптомы болезненности вокруг яичников;
- усиление либидо;
- набухшие груди;
- повышенная базальная температура;
- измененный гормональный фон;
- изменения в шейке матки.
Есть много разных методов определения дня наступления овуляции. Это:
- измерение ежедневно базальной температуры;
- применение различных тестов и пр.
Однако метод УЗИ-отслеживания определен, как наиболее верный.
Во время процедур УЗИ врач прослеживает изменения толщины эндометрия. Единичная процедура не предоставляет всех данных о том, что происходит в женском организме.
Нарушения, выявляемые при контроле овуляции

Когорта растущих фолликулов после 8 дней контролируемой гиперстимуляции яичников
При проведении УЗИ врач следит за толщиной эндометрия. В случае идеального месячного цикла (28 дней), первый раз рекомендуют делать исследование на 8-10-й день после окончания менструации. Однако одна процедура не даст всей информации о том, как выглядит процесс. И если у семейной пары не все получается с зачатием, они ожидать диагностирования отклонений, которые мешают этому. Например:
- регрессия фолликула (Это означает, что развитие доминирующего фолликула идет до какого-то момента, а потом останавливается, и процесс разворачивается в сторону на уменьшения. Овуляции тогда не может быть);
- персистенция фолликула (не происходит разрыва фолликула);
- фолликулярная киста (при этом он созрел, но не вышел);
- лютеинизация фолликула (желтое тело образовалось, но разрыва фолликула не было);
- процесс выработки фолликулов не происходит.
Овуляции при последнем отклонении вообще не происходит.
Если при УЗИ обнаружено одно из описанных отклонений, врач назначает дополнительные анализы и обследования. Потом, после получения всех результатов назначается курс терапии для нормализации процесса овуляции.
Когда проводится диагностика?
Кроме того, что исследование должно выполняться на протяжении двух циклов, необходимо, чтобы было правильно выбрано время. Точное время скажет только врач акушер-гинеколог. Но приблизительно можно рассчитать и самостоятельно. Первое УЗИ выполняется в начале цикла и затем проводится каждые 2-4 дня.
- Первое посещение кабинета УЗИ можно выполнить на 8-10 день. Этот период характеризуется наличием среди всех фолликулов в яичнике — доминантного. Он будет развиваться в отличии от всех остальных, которые уничтожаются. Иногда этих фолликулов больше чем один, но встречается такое достаточно редко.
- Выполняется и УЗИ на 5 день месячных. Этот срок оптимален, так как у многих женщин к этому дню уже заканчивается менструальное кровотечение и ничего не мешает началу диагностики.
- На 12-14 день уже можно подтвердить наличие и развитие фолликула. Затем ожидается наступление овуляторной фазы. А происходит следующее: зрелый фолликул опускается в яйцеклетку, которая затем выходит из яичника и продвигается по Фаллопиевым (маточным) трубам благодаря присутствующим на них ворсинкам. В этот момент шанс забеременеть максимально высок. Но точное время наступления овуляции необходимо еще и посчитать.
- Точно подтвердить наличие вышедшей яйцеклетки можно на 17-18 день цикла. И это УЗИ, как правило, является завершающим в исследовании. Затем уже предоставляются все данные, и врач сопоставляет всю полученную информацию для составления соответствующих выводов и назначения лечения.
- Еще один важный элемент в определении сроков диагностики — длительность цикла. Нельзя рассчитывать у всех женщин срок одинаково, ведь приведенные выше сроки характерны для тех, у кого цикл 28 дней. Но и при таком раскладе следует делать поправки, ведь у всех организм может преподносить свои “сюрпризы”, тем более, если у женщины предположительно имеется патология.
Гинекологическое УЗИ органов малого таза
УЗИ малого таза
Показания к проведению УЗИ органов малого таза
- Диагностика беременности на ранних сроках.
- УЗИ малого таза у женщин необходимо проводить при нарушениях менструального цикла (задержка менструации, начало менструации раньше срока, кровотечения в середине цикла), при обильных или скудных менструациях, при отсутствии менструации, при различных выделениях из влагалища, при болях внизу живота, при появлении выделений в период менопаузы.
- При помощи гинекологического УЗИ выявляются различные заболевания: от воспалительных гинекологических заболеваний до доброкачественных и злокачественных образований матки и яичников (в том числе эндометриоз, сальпингоофорит, кисты яичников, эндометрит и др.).
- УЗИ матки дает возможность ранней диагностики миомы матки.
- УЗИ малого таза широко применяется для мониторирования фолликулярного аппарата яичников при лечении бесплодия и планировании беременности.
- Ультразвуковое исследование малого таза назначается при приеме противозачаточных и гормональных препаратов, при наличии внутриматочного контрацептива («спираль») для контроля и выявления осложнений.
- УЗИ при беременности (акушерское УЗИ) позволяет наблюдать за нормальным развитием плода и своевременно выявлять патологию.
- В урологии УЗИ малого таза необходимо для выявления причин расстройств мочеиспускания, недержания мочи и патологии уретры (мочеиспускательного канала).
Необходимо помнить, что ряд заболеваний женской репродуктивной системы на ранних этапах своего развития протекают скрыто и бессимптомно, поэтому для своевременного их выявления необходимо проводить УЗИ органов малого таза минимум один раз в год. Первично плановое УЗИ органов малого таза рекомендуется проводить в первой фазе менструального цикла, на 5 – 7 день от начала менструации. Фолликулометрия – это диагностический ультразвуковой метод, позволяющий определять день овуляции и качество протекания фаз менструального цикла. Метод подразумевает ультразвуковой мониторинг за созреванием фолликула, ростом эндометрия и наличием признаков овуляции в соответствующих фазах цикла. Как правило, первый раз это обследование назначают на 4-5-6 день от начала менструального цикла или же сразу по окончании менструации. В этой ранней фазе наблюдается одновременное развитие нескольких фолликулов, один из которых затем начинает опережать рост других. Чтобы увидеть последующие изменения, УЗИ повторяют через 1-2 дня до появления признаков овуляции или же до следующей менструации, если овуляция не наступила. Чаще это происходит так: 1-е исследование на 4-6-й день МЦ, 2-е исследование на 12-14 -й день МЦ, 3-е исследование — перед предполагаемой менструацией за 3-5 дней. Факт овуляции при динамическом ультразвуковом исследовании подтверждает: • фиксирование зрелого фолликула; • его исчезновение; • появление в пространстве позади матки свободной жидкости; • формирование жёлтого тела на месте зрелого фолликула;
В результате обследования могут быть получены следующие результаты: • Нормальная овуляция – процессы роста и развития фолликула протекают в пределах нормы. • Атрезия фолликула – овуляция не происходит, фолликул уменьшается в размерах. • Персистенция фолликула – фолликул развивается до привычных размеров, но овуляция не происходит, фолликул остаётся существовать в таком состоянии еще некоторое время. • Фолликулярная киста – фолликул увеличивается до стандартных размеров, овуляция не происходит, фолликул продолжает расти, формируя кисту. • Лютеинизация фолликула – происходит образование жёлтого тела без перехода яйцеклетки в брюшную полость. • Фолликулогенез не наблюдается – на протяжении всего цикла отсутствует какая-либо динамика развития фолликулов.
Фолликулометрия и её цели
Фолликулометрия помогает узнать проходила ли у пациентки овуляция и в какой период. Необходимость точно определить идеальный день для зачатия возникает при проблемах с репродуктивной функцией. Иногда супруги хотят вычислить день овуляции, чтобы скорректировать пол ребенка (перед овуляцией и после вероятнее зачать мальчика, в другие фазы больше шансов на девочку). Контроль над фолликулогенезом помогает сократить или повысить шансы на многоплодную беременность.
Помимо этого, УЗИ яичников позволяет отследить развитие фолликулов, подсчитать их количество, выявить преобладающий. Самостоятельно выявить дисфункцию фолликула сложно: базальная температура остается в норме. Главным симптомом будет отсутствие беременности. Исследование может подтвердить образование желтого тела и наступление лютеиновой фазы. Все эти факторы в сумме дают полную картину менструального цикла. Фолликулометрия позволяет оценить его полноценность и найти причины сбоев.
В процессе обследования видно степень развития эндометрия в матке, можно оценить его подготовленность к беременности. Также фолликулометрия позволяет оценить состояние эндометрия между разными фазами цикла.
Иногда УЗИ проводят для диагностики и отслеживания некоторых заболеваний половых органов (миомы и кисты), а также для проверки эффективности лечения. Во время ЭКО исследование дает возможность наблюдать за работой яичников.
Показания к фолликулометрии:
- бесплодие (отсутствие беременности в течение года с регулярными попытками без контрацептивов);
- гормональный сбой, который влияет на половые органы и репродуктивные процессы (изменения менструального цикла, недостаточной лютеиновой фазы, отсутствие овуляции, патологии яичников и прочее);
- необходимость стимулировать овуляцию (перед искусственным оплодотворением);
- перед искусственной инсеминацией и ЭКО.

Когда лучше делать исследование
В месяце есть несколько дней, во время которых зачатие вероятно. День процедуры определит врач на основании индивидуального графика критических дней женщины. УЗИ делают в несколько этапов.
Особенности исследования:
- Пробная процедура делается за 3 дня до выхода ооцита из яичника, чтобы определить, на какой день цикла можно увидеть начало овуляции. Примерно в 10-й день цикла.
- 2-е сканирование назначают через 3 дня – оно отображает наличие доминантного фолликула.
- 15-е сутки называются овуляторной фазой – момент выхода созревшей яйцеклетки. Она длится несколько часов. По истечении этого времени зачатие в этом цикле невозможно.
- 18-й день – контроль УЗИ после овуляции. На экране аппарата желтое тело с размытым контуром.
Данные отрезки устанавливаются только для женщин с циклом в 28–30 дней.
В видео об этом подробно раскрывает специалист:





























