Чего не должно быть на рентгенограмме при здоровых легких

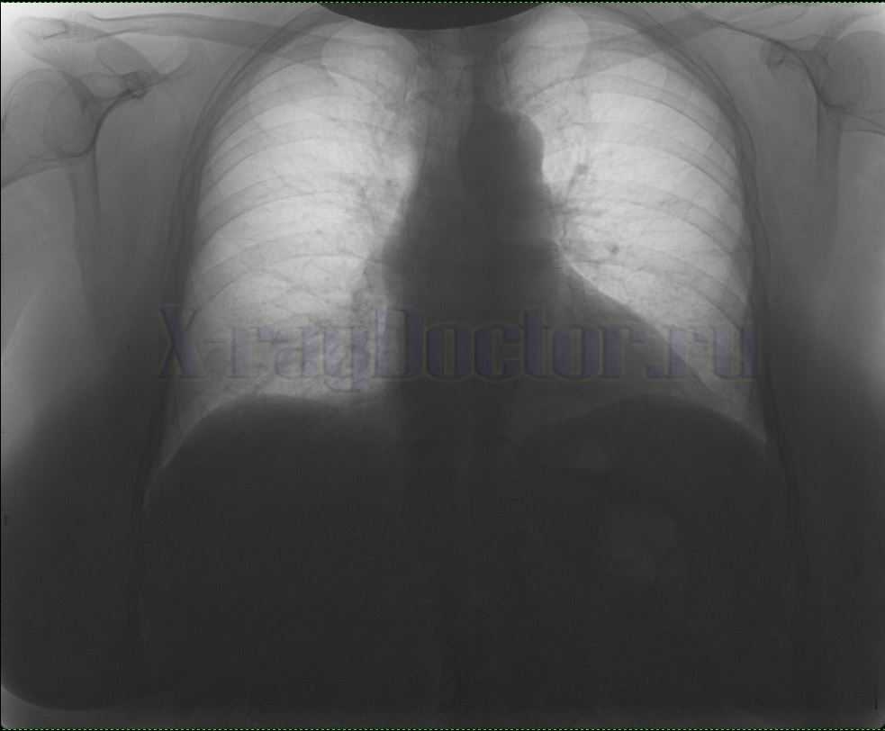
Нормальная цифровая рентгенограмма легких в позитивном отображении
Флюорография является скрининговым методом рентгенодиагностики. Согласно приказу Министерства здравоохранения ее выполнение обязательно для каждого человека один раз в год. С помощью флюорографии врачи обнаруживают на ранних стадиях такие заболевания, как туберкулез и рак. Конечно, рентгеновский снимок легких более информативный, но он характеризуется значительным лучевым обследованием человека, поэтому не может применяться для массового обследования населения.
Простой человек не понимает, как выглядят чистые легкие, поэтому не сможет дифференцировать нормальные и патологические тени. Множество заболеваний формируют затемнения на снимке, поэтому на них появляются «разводы» и «белые тени».
Рентген, проходя через грудную клетку, от некоторых тканей отражается, а другими поглощается. Вследствие этого на рентгенограммах формируются темные, белые и серые тени. Их сочетание между собой и обуславливает нормальную рентгеновскую картину.
Некоторая разница в отображение теней возникает из-за технических особенностей метода рентгенографии и флюорографии. При флюорографическом обследовании изображение получается с флуоресцентного экрана.
Рентген, проникая через ткани, засвечивает рентгеновскую пленку. Так формируется рентгеновский снимок.
Чего не должно быть на флюорограмме в норме:
- затемнений;
- просветлений;
- дополнительных теней.
На рисунке приведена нормальная рентгенограмма легких. Запомните ее вид. Если на снимке обнаружите дополнительные пятна, которые отличаются от вышеприведенного фото, скорее всего, такая картина будет отражать патологический процесс.
Чем опасно курение для легких
Курение привадит к негативным эффектам, как:
- нарушение выносливости;
- отдышка;
- сильный кашель;
- неприятный запах изо рта;
- пожелтевшие зубы;
- плохо пахнущие волосы,
- запах от одежды.
Курение связывают и с другими рисками долгосрочного характера. Известно, что у курильщиков чаще, чем у людей без этой вредной привычки, встречается рак легких. Предварительные оценки говорят о том, что в 90% случаев раковая болезнь поражает заядлых курильщиков.
У курящих мужчин в 20 раз больше шансов заболеть раком легких по сравнению с мужчинами, которые не курят. Курящие женщины в 12 раз чаще страдают от данного заболевания, если сравнивать с женщинами, у которых нет такой привычки.
У курящих больше шансов столкнуться с различными видами болезней легких, такими как пневмония или ХОБЛ.
У курильщиков со стажем чаще возникает рак:
- поджелудочной;
- печени;
- почек;
- полости рта;
- желудка;
- мочевого пузыря;
- пищевода.
На раковых болезнях дело не заканчивается. Курение ухудшает кровообращение, что повышает шансы на:
- инсульт;
- ишемическую болезнь;
- сердечный приступ;
- повреждение сосудов.
Смотрите до конца это шокирующее видео
Следующая запись Что показывает МРТ: преимущества, недостатки, противопоказания
Что показывает рентген легких?
До 90% случаев всех самых серьезных легочных заболеваний способен выявить рентген легких. Что показывает этот диагностический метод:
- болезнь Бенье-Бека-Шаймана (саркоидоз);
- эмфизему легких;
- воспаление плевры (плеврит);
- воспаление легких (пневмонию);
- новообразования, включая злокачественные опухоли;
- туберкулез (прежнее название — чахотка, phthisis);
- бронхиальную астму;
- отек легких.
Также он дает возможность оценить объем легких, местоположение их корней, выявить присутствие полостей в легких, жидкости в плевральной полости, утолщения диафрагмы, определить уровень воздушности бронхов и т. д. Это значительно облегчает и убыстряет постановку верного диагноза, назначение необходимого лечения, вследствие чего у заболевшего появляется больше шансов на положительный исход болезни и на выздоровление.
Подготовка к обследованию
3.1. Радиографический контроль следует проводить после устранения обнаруженных при внешнем осмотре сварного соединения наружных дефектов и зачистки его от неровностей, шлака, брызг металла, окалины и других загрязнений, изображения которых на снимке могут помешать расшифровке снимка.
3.2. После зачистки сварного соединения и устранения наружных дефектов должна быть произведена разметка сварного соединения на участки и маркировка (нумерация) участков.
3.1, 3.2. (Измененная редакция, Изм. N 1).
3.3. Систему разметки и маркировки участков устанавливают технической документацией на контроль или приемку сварных соединений.
3.4. При контроле на каждом участке должны быть установлены эталоны чувствительности и маркировочные знаки.
3.5. Эталоны чувствительности следует устанавливать на контролируемом участке со стороны, обращенной к источнику излучения.
3.6. Проволочные эталоны следует устанавливать непосредственно на шов с направлением проволок поперек шва.
3.7. Канавочные эталоны следует устанавливать на расстоянии не менее 5 мм от шва с направлением канавок поперек шва.
3.8. Пластинчатые эталоны следует устанавливать вдоль шва на расстоянии не менее 5 мм от него или непосредственно на шов с направлением эталона поперек шва так, чтобы изображения маркировочных знаков эталона не накладывались на изображение шва на снимке.
3.9. При контроле кольцевых швов трубопроводов с диаметром менее 100 мм допускается устанавливать канавочные эталоны на расстоянии не менее 5 мм от шва с направлением канавок вдоль шва.
3.10. При невозможности установки эталонов со стороны источника излучения при контроле сварных соединений цилиндрических, сферических и других пустотелых изделий через две стенки с расшифровкой только прилегающего к пленке участка сварного соединения, а также при панорамном просвечивании допускается устанавливать эталоны чувствительности со стороны кассеты с пленкой.
3.11. (Исключен, Изм. N 1).
3.12. Маркировочные знаки, используемые для ограничения длины контролируемых за одну экспозицию участков сварных соединений, следует устанавливать на границах размеченных участков, а также на границах наплавленного и основного металла при контроле сварных соединений без усиления или со снятым усилением шва.
3.13. Маркировочные знаки, используемые для нумерации контролируемых участков, следует устанавливать на контролируемом участке или непосредственно на кассете с пленкой так, чтобы изображения маркировочных знаков на снимках не накладывались на изображение шва и околошовной зоны по п.5.7.
3.14. При невозможности установки эталонов чувствительности и (или) маркировочных знаков на контролируемом участке сварного соединения в соответствии с требованиями настоящего стандарта порядок проведения контроля без установки эталонов чувствительности и (или) маркировочных знаков должен быть предусмотрен в технической документации на контроль или приемку сварных соединений.(Измененная редакция, Изм. N 1).
ПРИЛОЖЕНИЕ 1Рекомендуемое
Таблица 1
Толщина металлических усиливающих экранов
| Источник излучения | Толщина экрана, мм |
| Рентгеновский аппарат с напряжением на рентгеновской трубке до 100 кВ | До 0,02 |
| Рентгеновский аппарат с напряжением на рентгеновской трубке свыше 100 до 300 кВ | 0,05-0,09 |
| Рентгеновский аппарат с напряжением на рентгеновской трубке свыше 300 кВ | 0,09 |
| 0,09 | |
| ; | 0,09-0,20 |
| 0,20-0,30 | |
| 0,30-0,50 | |
| Ускоритель электронов с энергией излучения от 1 до 15 МэВ | 0,50-1,00 |
Таблица 2
| Способ зарядки | Наличие пленок в кассете |
| одна | две |
| Без экранов | |
| С усиливающими металлическими экранами | |
| С усиливающими флуоресцирующими экранами | |
| С усиливающими металлическими и флуоресцирующими экранами | |
| – радиографическая пленка; – усиливающий металлический экран; – усиливающий флуоресцирующий экран. |
Направление на рентген легких выписано, как же подготовиться к нему? Предварительной подготовки не требуется. Перед проведением процедуры надо снять украшения (цепочки, бусы, колье), чтобы они не исказили результат. Непосредственно перед процедурой медицинский работник попросит вас надеть специальную запахивающуюся на талии юбку для защиты половых органов от облучения. Далее доктор выбирает необходимую проекцию (переднюю, заднюю или иногда снимок делается в положении лежа на боку).
В зависимости от того, на каком оборудовании выполнялся рентген легких, результаты будут мгновенными (цифровой метод) или через некоторое время после обработки и проявки пленки.
Как выглядят здоровые легкие на снимке?
Снимки легких у здоровых и больных пациентов отображают одни и те же структуры: легочные поля с обеих сторон от позвоночного столба, в центре – тень от сердца, в верхней части снимка видны ключицы, а в нижней части – купол диафрагмы. На легочные поля проецируются тени ребер.
В том случае, если на рентгене легких не было обнаружено никаких патологий, говорить о полном здоровье пациента нельзя, так как рентгенография способна показать не все патологические изменения:
- Небольшие очаги воспалительного характера размерами менее 2 мм в диаметре (исследование имеет свой предел разрешения).
- Незначительные участки просветления.
- Утолщения стенок бронхиального дерева толщиной менее 1 мм.
- Мелкие затемнения, сопровождающие инфильтративные изменения бронхов.
- Маленькие фокусные утолщения легочной ткани.
- Жидкость в реберно-диафрагмальном синусе в объеме менее 250 мл.
Рентгенограмма ОГК — норма
Описанием рентген-снимков занимаются квалифицированные специалисты, в процессе расшифровки они пользуются определенной схемой, согласно которой анализ изображений основывается на оценке определенных параметров:
- Положение легких в грудной клетке относительно других структур.
- Число легочных долей (в норме 5).
- Форма легких (мешковидная, похожая на конус с опущенным основанием и округлой вершиной).
- Размеры легких.
- Интенсивность легочного рисунка.
- Контуры легких.
Рентген легких здорового человека описывают по классическому стандарту. В первую очередь вносят данные о состоянии легочных полей, затем описывают корни легких, диафрагмальные купола и реберно-диафрагмальные синусы, потом оценивают состояние сердечной тени и мягких тканей.
Рентгенолог за работой
Единый алгоритм описания рентгена легких создан для снижения вероятности случайного «пропуска» патологических изменений
Перед началом расшифровки снимков врачи обращают внимание на возраст пациента и его пол. Это связано с тем, что у мужчин грудные мышцы обычно развиты сильнее, а у женщин имеются молочные железы, которые способны накладывать особенности на плоскостные снимки грудной клетки
Возраст пациента важен потому, что у пожилых людей вероятность развития онкологических заболеваний выше, чем у молодых.
Пример описания нормальной рентгенограммы легких:
- В легочных полях отсутствуют видимые очаговые и инфильтративные тени.
- Корни нормальных размеров, структурны, не расширены.
- Контуры диафрагмально-реберных синусов и диафрагмы без патологий.
- Тень сердца обычной формы.
- Мягкие ткани без особенностей.
В норме на снимках купола диафрагмы расположены на уровне шестых ребер, при этом правый купол немного выше. В центре снимка нередко можно увидеть два или три грудных позвонка, остистые отростки которых в норме лежат между ключицами на равном расстоянии от них. Также в центре должна проецироваться тень трахеи, тень сердца в норме должна выступать справа не более чем на 1 см, а с левой стороны она не должна заходить дальше среднеключичной линии.
Корнями легких условно называют бронхиальные разветвления в легочной ткани, в норме они имеют четкую структуру. В них могут быть обнаружены увеличенные лимфатические узлы. Сосудистый рисунок не прослеживается в периферических отделах легких. Реберно-диафрагмальные синусы должны быть свободные.
Рентген-снимки здоровых легких и при патологии могут различаться между собой незначительными проявлениями. Например, смещение трахеи вперед нередко свидетельствует о плеврите или пневмотораксе (попадании воздуха в плевральную полость). Усиление легочного рисунка говорит о возможном воспалительном процессе, увеличение и смещение тени средостения – о развитии объемного процесса. Такие и многие другие патологические изменения может заметить только квалифицированный рентгенолог, обычному человеку без специального образования сделать это сложно.
Полезно знать:
- Рентгенологическая диагностика сердца
- Рентгенологическое исследование толстого кишечника
- Рентгенологическая диагностика заболеваний трахеи
- Возможности рентгена в диагностике заболеваний желудка
Как и где делают рентгенограмму легких?
Если бы не установленные здравоохранением санитарные нормы, здоровый человек так и не узнал бы, как делают рентген легких.
Ежегодное подобное обследование взрослого населения проводится с профилактической целью, часто передвижную рентгеновскую кабину можно увидеть возле студенческих училищ и возле крупных рабочих предприятий.
Фото:

Рентген легких проводится без специальной подготовки со стороны пациента. В отдельных случаях рентгенолог может защитить тело человека специальной свинцовой пластиной, в которой имеется просвет для обследования определенного участка грудной клетки организма.
Как правило, результаты исследования при необходимости вносят в санитарную книжку пациента и в его амбулаторную карту.
Для проведения рентгеновского обследования грудной клетки человек снимает одежду до пояса. На нем не должно остаться никаких предметов, например, бус или цепочек.
Затем грудной клеткой он прижимается к находящейся перед ним пластине, а подбородком касается специальной подставки аппарата.
После чего рентгенолог просит пациента глубоко вдохнуть и не дышать несколько секунд.
Глубокий вдох и задержка дыхания позволяют грудной клетке человека временно увеличиться в объеме и открыть все возможные просветы, что даст возможность получить более информативный снимок.
Рентген легких можно сделать лишь в тех медучреждениях, которые имеют:
- разрешение на проведение подобных операций;
- специальное оборудование с необходимой документацией;
- квалифицированного специалиста с допуском к работе.
Подобные кабинеты можно отыскать в платных и бесплатных клинических центрах, на территории травмпунктов и других специализированных учреждений.
Иногда рентген легких назначают детям младше 15 лет, так как часто именно эта процедура является единственным методом, который может подтвердить здоровое или патологическое состояние организма ребенка.
В данном случае щадящей альтернативой выступает компьютерная томография, но данный метод рентгеновского обследования вынуждает пациента неподвижно лежать определенное время, что для маленьких пациентов невозможно.
Фото:

В свою очередь рентген проходит быстро и позволяет оперативно обследовать самых маленьких детей.
Как правило, в рентгеновскую кабинку ребенок входит с одним из родителей, который удерживает его в неподвижном состоянии.
Снизить радиоактивное воздействие на маленький организм сегодня позволяет цифровой рентген. Все, что требуется от ребенка, чтобы получить качественный снимок, это не двигаться менее одной секунды.
Показания и противопоказания
Показаниями к проведению обследования является:
- кашель с обильным отделением мокроты;
- озноб, лихорадка, высокая температура тела;
- одышка;
- герпетическая инфекция на щеках и возле крыльев носа;
- увеличение лейкоцитов в крови.
При постановке диагноза «крупозная» или «очаговая» пневмония рентген снимки должны быть сделаны повторно для изучения динамики «плохих» затемнений.
Строгих противопоказаний для рентгена при пневмонии нет. Особенным ограничением является первый триместр беременности. Перед направлением на снимок врач учитывает пользу и вред от воздействия аппарата на будущего ребенка, а персонал рентген-кабинета максимально снижает уровень воздействия на женщину и плод, закрывая живот свинцовыми фартуками и сокращая время облучения.
Дополнением к рентгенографии врач может назначить:
- рентгеноскопию легких и межреберного пространства, что позволит оценить уровень подвижности ткани;
- линейную томографию, которая поможет избавиться от наложения затемнений структур грудной клетки;
- компьютерную томографию для мониторинга распространения изменений на весь орган.
Если у пациента подозревается пневмония, чтобы не спутать воспалительное заболевание с другими патологиями, рентген-расшифровка проводится специальным доктором. При воспалительном процессе наблюдается затемнение, контуры которого размытые и нечеткие в одном из участков легкого. Это обусловлено инфильтрацией ткани, пропитанной лейкоцитами, другими клеточными элементами и плазмой крови.
Для определения степени поражения и назначения соответствующего лечения необходимо заключение врача с использованием специально разработанного алгоритма анализа. Изучив качественные особенности снимка грудной клетки , специалист сможет подробно описать рентген легких при пневмонии фото которого будет свидетельствовать:
- об очаговой форме (затемнение наблюдается на небольшом участке);
- о сегментарной форме (пятна захватывают один или несколько сегментов легочной ткани);
- о крупозной или долевой форме (затемнение наблюдается в долях);
- о наиболее тяжелой форме – тотальной (затемнение затронуло все легкое целиком).
На площадь и район затемнения влияет стадия заболевания. В апогее воспалительного процесса пораженный участок легкого характеризуется незначительным снижением воздушности. Если в этот период сделать рентген легких фото будет выглядеть слегка затуманенным, будто покрытым дымкой.
Постепенно бактериальные токсины повышают проницаемость капиллярных стенок, и происходит более глубокая инфильтрация легкого, что проявляется на рентгене как затемненный участок интенсивно-темного цвета с размытыми контурами.
В идеальной клинической картине при наблюдении тенденции к улучшению состояния здоровья пациента область затемнения становится неоднородной, а ее размеры уменьшаются до тех пор, пока совсем не исчезнут. На практике рентген после пневмонии покажет следы воспаления: спайки, склеротические участки, соединительные тяжи и деформированный рисунок легочной ткани.
Возможности рентгена и расшифровка результата

Рентген грудной клетки помогает обнаружить следующие патологии в организме:
- Дыхательная система: бронхит, пневмосклероз, рак, ателектазы легких, пневмония. Рентген-снимки расшифровывает доктор и сразу видит вероятное заболевание.
- Сердечно-сосудистая система: миокардит, перикардит, изменения сердца в размерах.
- Средостение: смещение структур, медиастинит.
- Костно-мышечный каркас грудной клетки: переломы грудины или ребер, позвонков, гемоторакс, пневмоторакс, ранения средостения, сердца.
Также рентгенография используется для отслеживания динамики выздоровления при лечении пневмонии. Однако рентген нельзя назвать универсальным методом диагностики. Например, природу опухоли рентген оценить не сможет, также данное исследование ограничено для неподвижных больных. Для таких исключительных случаев используется
При расшифровке результата рентген-снимка ОГК доктор оценивает, каковы размеры и форма средостения, структура грудной клетки и мягких тканей, прозрачность легочного поля, интенсивность рисунка, положение и строение корней легких, форма плевральных синусов и диафрагмальных куполов.
Особенности расшифровки снимка
По мнению людей, не обладающих специальными знаниями, по рентгеновскому снимку можно определить, чем болен тот или иной пациент, однако, это не совсем верно. Снимок легких является лишь отображением плоскостных слоев различных анатомических структур. Делая описание любого снимка врач выявляет симптомы, по которым в дальнейшем предполагает тот или иной диагноз. Такое описание и является расшифровкой.
Основу расшифровки составляет описание сегментов легочных полей. Норма в отношении их предполагает отсутствие в этих участках посторонних теней. Легкие здорового человека отличаются чистым и четким сосудистым рисунком, без деформаций и усилений.
Если деформации присутствуют, можно предполагать развитие воспалительного процесса, но нередко такое явление становится следствием неправильной техники обследования.
При нечетком легочном рисунке диагностируют нарушения в ходе кровообращения. Уплотненные корни легких или расширение самих легких также свидетельствуют о патологических процессах, происходящих в лимфоузлах, артериях, венах или бронхах. Также производится расшифровка затемнений, если они обнаружены на снимке. По их характеру и расположению можно предполагать развитие определенных заболеваний.
Расшифровывать полученный снимок должен специалист, поскольку только он знает, какова норма, а также какие отклонения можно считать безопасными. Кроме этого лишь ему под силу соотнести особенности рентгеновского снимка с возрастом больного и его анамнезом, чтобы сделать правильные выводы.
Какие показатели считаются нормальными?
Между показателями рентгенограммы и флюорографического исследования особенных различий нет. Несмотря на то, что флюорографию относят к методам профилактической диагностики, по ее результатам можно сделать достоверные выводы. Лишь при обнаружении отклонений может потребоваться более подробное обследование пациента.
Рентген здоровых легких должен демонстрировать следующие показатели:
- Легкие занимают правильное положение относительно других структур грудной клетки.
- Количество легочных долей – пять.
- Легкие имеют мешковидную форму, их вершина округлая.
- Размеры легких соответствуют возрастным показателям.
- Легочный рисунок отличается интенсивностью и четкостью.
- Легочные контуры не размыты.
- На легочных полях нет очаговых и инфильтративных теней.
- Корни легких имеют нормальные размеры, они не расширены и обладают четкой структурой.
- Отсутствуют патологии диафрагмы и диафрагмально-реберных синусов.
- Форма сердечной тени обычная.
- У мягких тканей нет патологических изменений и выраженных особенностей.
Анализ снимка легких подразумевает учет и других параметров, однако эти являются основными. Правильную оценку их состоянию может сделать только врач с достаточным количеством опыта в этой области.
Отклонения, которые может выявить такое обследование
К числу отклонений рентгеновского исследования можно отнести все, что не входит в понятие «норма». Однако чаще всего на профилактическом снимке выявляют разнообразные затемнения, по расположению и размерам которых можно поставить диагноз. Кроме этого, учитываются особенности контуров, расположение органов, вид сосудистого рисунка и пр.
Затемнения, которые относятся к числу отклонений, можно разделить на 3 вида. Это:
- Частичные. Они характерны для отдельных участков легкого.
- Распространенные. Пятен обнаруживается несколько, и они охватывают все легочное поле.
- Ограниченные. Для них присущи четкие границы. Такое отклонение является наиболее опасным, поскольку этот вид затемнения сигнализирует о развитии опухоли или туберкулезного очага.
Среди других отклонений, которые могут быть выявлены в ходе рентгеновского обследования, можно назвать:
- мелкие затемнения или, наоборот, просветления,
- уплотнения в легочной ткани незначительных размеров,
- более объемные стенки бронхиального дерева и пр.
Если полученный снимок имеет отличия от нормы, врач должен сопоставить эти отличия с анамнезом пациента, его индивидуальными особенностями, а также с результатами других исследований, чтобы сделать правильные выводы.
Советы по сохранению здоровья легких
Хотя ваше тело имеет встроенную систему для поддержания
здоровья легких, есть несколько важных вещей, которые вы можете делать каждый
день, чтобы снизить риск заболевания легких или ослабить симптомы:
- Избегайте пассивного курения.
- Избегайте нахождения на открытом воздухе при высоком уровне загрязнения воздуха или пыльцы в воздухе.
- Чистите зубы минимум дважды в день и регулярно посещайте стоматолога, чтобы предотвратить инфекции полости рта.
- Носите с собой спиртосодержащий очистить для рук.
- Проверяйте наличие плесени в доме.
- Подумайте об использовании очистителя воздуха в помещении, чтобы уменьшить загрязнение воздуха от пыли, перхоти домашних животных и химических веществ.
- Не жуйте табак.
- Не курите.
- Регулярно делайте аэробные упражнения, такие как ходьба и бег трусцой, чтобы улучшить объем легких.
- Сделайте прививку от гриппа и пневмонии, особенно если у вас астма.
- Если вы путешествуете за границу, обсудите с врачом рекомендуемые прививки.
- Регулярно посещайте врача и проходите обследование здоровья.
- Проверьте свой дом на радон.
- Мойте руки с мылом и водой несколько раз в день.
Импульса соблюдает строгие правила отбора источников и полагается на рецензируемые исследования, научно-исследовательские институты и медицинские ассоциации. Мы избегаем использования недостаточно экспертных ссылок. • Anatomy of the respiratory system. (n.d.).hopkinsmedicine.org/healthlibrary/conditions/respiratory_disorders/anatomy_of_the_respiratory_system_85,P01300 • Asthma treatments. (n.d.).nm.org/conditions-and-care-areas/pulmonary/asthma-and-copd/asthma/treatments • Chronic respiratory diseases. (n.d.).who.int/respiratory/en/ • COPD. (n.d.).nhlbi.nih.gov/health-topics/copd • Exhaled nitric oxide test. (2018).lung.org/lung-health-and-diseases/lung-procedures-and-tests/exhaled-nitric-oxide-test.html • Learn about tuberculosis. (2018).lung.org/lung-health-and-diseases/lung-disease-lookup/tuberculosis/learn-about-tuberculosis.html • Mayo Clinic Staff. (2018). Asthma.mayoclinic.org/diseases-conditions/asthma/symptoms-causes/syc-20369653 • Mayo Clinic Staff. (2018). Lung cancer.mayoclinic.org/diseases-conditions/lung-cancer/symptoms-causes/syc-20374620 • Pulmonary function tests. (n.d.).nhlbi.nih.gov/health-topics/pulmonary-function-tests • Warning signs of lung disease. (2018).lung.org/lung-health-and-diseases/warning-signs-of-lung-disease/




























