Виды затемнения при различных типах заболевания
Когда между врачом, который назначил рентгенограмму лёгких, и радиологом тесное сотрудничество, исследование упрощает постановку правильного диагноза и дальнейшее лечение.
Образование морфологических элементов на поверхности лёгких при прохождении рентгенографии может говорить о наличии некоторых патологий.
Туберкулёз
Происходит обширное поражение верхних отделов лёгкого. На снимке чётко видны множественные тёмные пятна размером до 2 мм. Некоторые из них сливаются, образуя обширные очаги.
Пневмония
Заболевание характеризуется появлением тёмных кругов в нижних отделах лёгочной ткани. В момент развития патологии очаги приобретают отчётливость, изменяется лёгочный рисунок, проявляются затемнения разного диаметра.

Злокачественное образование
Определить онкообразование на начальных этапах развития с помощью рентгена почти невозможно. Опухоли менее 2 мм дифференцировать крайне сложно. Сделать врачебное заключение появится, когда опухоль достигнет 3 мм.
На снимке раковая опухоль представляет собой тень без чёткого контура, на фоне которого белое пятно, свидетельствующее о распаде образования.
Плеврит (воспаление плевральных листков)
Заболевание характеризуется затемнениями, не имеющими чётких геометрических контуров. Кроме этого наблюдается скопление секрета в плевральной полости.
Снимок курильщика
Затемнение на рентгене не всегда свидетельствует о заболевании. Часто пятна возникают в ходе длительного курения. Появление затемнения связано с увеличением лёгочных сосудов в ходе развития дыхательной недостаточности.

Инородный предмет
Причиной появления светлых элементов нередко становится наличие инородного предмета. Зачастую подобное диагностируется у детей, проглатывающих мелкие предметы и детали от игрушек. Инородный предмет визуализируется в виде пятна, с нечётким контуром, однако, сказать об этом сможет квалифицированный врач-рентгенолог.
Кроме этого, артефактом оказывается остро протекающий гельминтоз, где инородные тела — гельминты.
Что предпринять пациенту при обнаружении элементов в виде затемнений на рентгеновском снимке? Правильным решением будет не паниковать и не пытаться заниматься самолечением. Затемнения или просветления не следует лечить, пока не будет пройдено полное обследование. Патогенез появления пятен обширный и может потребовать подробного изучения. По этой причине, не рекомендуется самостоятельно ставить себе диагноз, с результатами диагностики следует обратиться к профильному специалисту.
Как выглядит классический рентгеновский снимок лёгких
Классический рентгеновский снимок лёгких
Лёгкие человека выглядят на снимке таким образом: правое и левое лёгкой по сторонам от позвоночника, тень от сердца, ключицы, рёбра, купол диафрагмы. Расшифровкой полученных изображений занимаются специалисты, которые оценивают состояние лёгких пациента по следующей схеме:
- как лёгкие расположены в грудной клетке относительно других органов;
- количество лёгочных долей;
- форма парного органа и его размеры;
- лёгочный рисунок.
Лёгочная ткань здорового человека имеют однородную и равномерную структуру. В ряде случаев на рентгеновских снимках появляются пятна тёмной или светлой окраски. Это может свидетельствовать как о наличии серьёзных патологий, так и о физиологических процессах в лёгких, не являющихся отклонением от нормы. Однако, получив такой снимок, пациент с беспокойством начинает искать информацию о значении затемнений или светлых кругов на снимке. Далее будет рассказано о том, что они означают.
Что это значит
Под термином «лёгочный рисунок» понимают отображение сети сосудов, которая проходит через ткань лёгких. На снимке здорового человека более чётко видно сосудистую сеть у корней, так как в этой части расположены самые крупные сосуды. Чем ближе к границе лёгочных полей, тем бледнее снимок – сосудистая система лёгких на периферии просматривается нечётко. На рентгенологическом снимке могут наблюдаться такие отклонения, как усиление или деформация лёгочного рисунка.
В норме флюорографический снимок выглядит следующим образом:
- чёткость рисунка левого и правого лёгкого должна быть одинаковой;
- ответвления сосудов на снимке должны быть прямыми;
- общий вид снимка должен напоминать своим контуром бабочку, ветвление сосудов должно быть веерообразным и ровным;
- интенсивность отображения сосудов уменьшается от корней лёгких к периферии и тени заканчиваются приблизительно на расстоянии 1/3 от внешних границ грудной клетки;
- толщина сосудов на флюорографическом снимке должна равномерно уменьшаться от корней лёгочной системы к периферии;
- сосудистая сетка не должна просматриваться лучше, чем тени рёбер.
Причины усиления легочного рисунка справа, слева и в нижних отделах
Перед тем как делается вывод о причинах усиления рисунка, всегда учитывается возраст пациента, его образ жизни и сопутствующие болезни.
Усиление легочного рисунка в нижних отделах характерно для сегментарной и нижнедолевой пневмонии.
Локальные изменения отслеживаются на начальной стадии пневмонии, когда сосуды разрастаются вокруг инфильтративного очага. Похожая картина наблюдается по краю туберкулезного конгломерата. Недостаточность нижнего отдела при эндобронхиальном образовании обладает схожими признаками, но анализировать снимок нужно внимательно, поскольку образуется сетчатое повреждение.
Усиление легочного рисунка за счет интерстициального (инфильтративного) компонента может быть нормой для конкретного пациента, и волноваться не имеет смысла. Это бывает признаком осложнения при лечении пневмонии. Если пациент курит длительное время, у него развивается хроническая обструктивная болезнь легких. У половины бывших курильщиков функция бронхов восстанавливается, а заболевание проходит. Рекомендуется сделать спирографию и записаться на прием к пульмонологу.
Когда легочный рисунок усилен за счет сосудистого компонента, это также указывает на индивидуальные особенности физиологии человека. Возможно увеличение лимфатических узлов, но это может быть симптомом иных заболеваний.
В случае, когда смешанный тип теневого изображения усилен за счет острого воспаления при бронхите, пневмонии, раке, и отсутствуют характерные признаки, необходимо сделать повторный снимок через две недели и исключить онкологию дыхательных путей.
Структура легочной ткани может быть выражена за счет бронхиального компонента при воспалении внешней оболочки бронхов и возникает на фоне хронического бронхита.
Почему появляются белые пятна на рентгеновском снимке?
Причинами появления на снимке белых пятен могут стать разные факторы:

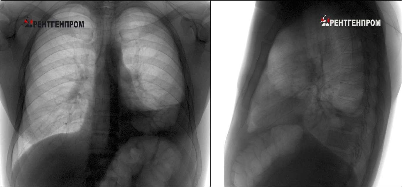
Билатеральное нижнее затемнение в легких (слева больше, чем справа) и небольшое нарушение прозрачности слева
Для более полной картины патологического процесса, помимо прямой, делают дополнительные снимки в боковой и косой проекциях. Каждое пятно, локализованное на рентгеновском снимке, врач оценивает по ряду параметров:
- Местонахождение затемнения. Оно может располагаться в верхней области легочной ткани, средней, а также в нижней. Кроме этого, условно легкие делят на внутреннюю зону, среднюю и наружную. Это дает возможность в дальнейшем яснее представить картину патологии.
- Размер. Уточнение этого параметра позволяет установить площадь патологического процесса в легких.
- Степень выраженности. По этому признаку определяют плотность поражения. Пятно на снимке может иметь сильно выраженную интенсивность, слабую или среднюю.
- Очертания затемнения. По тому, какие контуры имеет пятно, ровные или неровные, четко выражены или нет, определяется, к примеру, природа опухоли или новообразования.
Имеется еще одна классификация пятен на рентгеновском снимке, согласно которой выделяют следующие разные виды затемнений.
Долевое затемнение
При таком типе пятна отлично просматривается его очертание на рентгеновском снимке. При этом оно может быть выпуклым, иметь вогнутую или прямолинейную форму. Такое затемнение в легком может иметь место в случае какого-либо хронического процесса. Это может быть гнойный процесс, цирроз или деструктивный процесс бронхов.
Очаговое затемнение
Такие пятна на легких отличаются не слишком большими размерами, примерно до 1 см. Они могут свидетельствовать о только начавшемся воспалительном или другом процессе. Кроме того, появление на снимке подобных затемнений может указывать на патологии сосудов. Из-за неясности причины, обычно врач направляет пациента на дополнительное обследование (например, КТ, сдача анализов, прицельный рентген).
Очаговые затемнения в легких могут говорить о наличии периферического рака, инфаркте легкого, очагового туберкулеза и других болезней. Высокая температура, головная боль, кашель и боль в груди в сочетании с подобной рентгенологической картиной, вызывают подозрение на бронхопневмонию. А инфаркт легкого сопровождается симптомами сердечных заболеваний, харканьем кровью, проявлениями тромбофлебита.

Очаговая пневмония
Затемнение неопределенной формы
Для таких пятен характерно отсутствие какой-либо определенной формы и выраженности очертаний. Для постановки точного диагноза необходимы дополнительные исследования крови и мочи, а также применение других диагностических методов (например, КТ). Возможные заболевания, при которых на рентгеновском снимке появляются неопределенные белые пятна:
- пневмония;
- инфаркт легкого;
- плеврит;
- кровоизлияние;
- опухоль и другие.
При постановке диагноза большое значение имеют лабораторные данные и клиническая картина болезни.
Жидкостное затемнение
Иногда в легких может возникнуть отек тканей. Если давление в сосудах повышается, то возможен выход жидкости из них в альвеолярный аппарат органа. Кроме того, ряд токсических веществ способен нарушить проницаемость альвеолярной стенки. В таком случае жидкость тоже попадает в легочную ткань. Находящаяся в легких жидкость нарушает функциональную активность органа.
Сегментарное затемнение

Сегментарная пневмония
Если оно имеет форму треугольника, то это свидетельствует о таких заболеваниях, как:
- раковая опухоль;
- доброкачественное образование;
- воспаление легких;
- наличие метастаз из других органов;
- туберкулез;
- наличие жидкости в плевральной полости и так далее.
В обязательном порядке для постановки правильного диагноза назначают дополнительное комплексное обследование. Большое значение в данном случае имеют опыт и грамотность врача.
Фокусные затемнения
Представлены круглыми одиночными пятнами около 1 см. Могут быть при таких болезнях, как:
- воспаление легких;
- увеличенное содержание жидкости;
- туберкулез (туберкулема);
- кисты;
- абсцессы.

Туберкулема легких
Иногда они являются свидетельством наличия рака или доброкачественной опухоли (липомы, аденомы). В любом случае, необходимо проведение дополнительного обследования.
Что делать, если на рентгенограмме обнаружено белое пятно
При выполнении рентгенографии органов грудной клетки или флюорографии у пациента с туберкулезом белое пятно на рентгеновском снимке отражает либо воспалительное поражение легочной ткани, либо деструктивные изменения паренхимы с образованием абсцессов, туберкулом, каверн. Правильно данный симптом следует называть затемнением, так как он отражает особенности прохождения рентгеновских лучей через объекты и цветовое отображение их на рентгенограмме.
Тень на снимке белого цвета также наблюдается при:
- пневмонии;
- ателектазе;
- экссудативных плевритах;
- профессиональных заболеваниях (силикоз, талькоз, асбестоз).
Рентгенограммы с белыми пятнами различного происхождения: 124.3 – пирсинг молочной железы, 124.4 – дробь в мягких тканях грудной клетки, 124.5 – профессиональный цементоз, 124.6а – контраст при бронхографии, 124.6b – пневмонический очаг, 124.7 – междолевой плеврит (стрелками обозначен артефакт)
Данный синдром является признаком множества патологических изменений в легких, но мы рассмотрим наиболее частые варианты.
При обнаружении пятен необходимо дополнительное исследование, позволяющее установить причину возникновения патологии. Для этих целей врач-рентгенолог может назначить рентгеновское обследование в дополнительных проекциях или выполнение послойной компьютерной или магнитно-резонансной томографии.
Характерные особенности нестандартных затемнений
Если в легких развивается отек, то флюорография показывает затемнение, в котором наблюдаются признаки наличия жидкости.
Подобные затемнения, а это может быть вода или кровь, появляются вследствие повышения давления в легочных капиллярах или при недостатке кровяного белка и нарушают нормальную работу легких.
В зависимости от причин, вызвавших появление затемнения с жидкостью, диагностируется гидростатический отек как следствие ишемической болезни сердца или мембранозный отек как следствие поражения токсинами стенок альвеол легких.
Если на флюорографическом снимке зафиксировано затемнение неопределенной формы и без четких границ, такие пятна называют затемнениями неопределенной формы.
Появление пятен неопределенной формы может быть симптомом стафилококковой пневмонии. Первичная форма этого заболевания — результат воспалительного процесса в бронхах, вторичная — последствие гнойных процессов в других органах, остеомиелита, аднексита и др.
При установке диагноза крайне важно, чтобы флюорографический снимок проанализировал опытный рентгенолог. Но первостепенной задачей все-таки остается прохождение самой флюорографии
Это исследование покажет, есть ли вообще повод для волнений
Но первостепенной задачей все-таки остается прохождение самой флюорографии. Это исследование покажет, есть ли вообще повод для волнений.
В списке обязательных ежегодных процедур медицинского осмотра находится флюорографическое исследование легких. Это помогает выявить на начальных стадиях заболевания, которые в последствие могут оказаться тяжелыми. Показателем того, что вам стоит немедленно обратиться к специалисту является выявление пятна на легких при просмотре флюорографии.
Что значит затемнение в легких?
До того как попасть на прием к врачу, пациент у которого проявился такой неприятный симптом, задумывается, что значит затемнение в легких. Без сомнений, это является тревожным признаком ухудшения вашего здоровья, но не стоит сразу отчаиваться. Причин появление затемнения на флюорографии в легких достаточно много, поэтому для того чтобы поставить окончательный диагноз врач-терапевт должен назначить вам дополнительные анализы, которые бы могли выявить другие симптомы той или иной болезни:
- Чаще всего затемнение в легких демонстрирует воспалительные процессы и уплотнение тканей, которое может быть вызвано рядом инфекционных болезней.
- Темные пятна также могут проявляться из-за появления узлов опухолевых образований, что еще более неприятно. В этом случае флюорография становится единственным выявлением онкологии, поэтому врачи настоятельно рекомендуют проходить ее регулярно.
- Помимо этого, затемнение легких может обозначать развитие туберкулеза, из-за чего при длительном кашле, который не поддается лечению обычными отхаркивающими средствами, врач должен дать назначение на флюорографию, вне зависимости от того, как давно вы ее делали.
- При появлении непроходимого для воздуха участка на снимке также появится затемнение. Но симптом может проявиться и при появлении таких проблем с плеврой (оболочка, которая покрывает легкие и грудную полость), как нахождение жидкости в плевре, воспаление или гнойные абсцессы.
Также темные пятна на легких при флюорографии могут быть сигналом о проблемах с другими органами, например:
- лимфатические узлы – воспаление;
- ребра и позвоночник – новообразования;
- пищевод – расширение и другое.
Но, как ни странно темное пятно на снимке может обозначать не только развитие или запущенность серьезной болезни, но и последствия перенесенной пневмонии или бронхита. Эти заболевания оставляют после себя узелки на легочных тканях, которые не наносят никакого вреда, а в последствие и вовсе рассасываются, поэтому опасаться их не стоит.
Затемнения разделяют по форме и количеству. Одиночные сегменты указывают на доброкачественные или злокачественные опухоли. Если на снимке расположилось много пятен, тогда они могут говорить о нескольких патологиях:
- туберкулез;
- центральный рак;
- сужение центрального бронха;
- скопление жидкости в плевре;
- злокачественные образования в других внутренних органах.
Также важно расположение сегментов. Так, если на снимке обнаружено затемнение верхушки легкого, то это может указывать на , но врач должен рекомендовать, помимо дополнительных анализов, которые назначаются при подозрении болезни, повторное прохождение флюорографии
Если на снимке обнаружено пятно с нечеткими границами, то это может указывать на пневмонию. Такое проявление на снимке, как правило, сопровождается температурой, головными болями и слабостью. Но иногда воспаление легких может протекать без высоких значений на градуснике.
Какие бывают пятна на рентгеновском снимке?

Для получения более полной информации о патологическом процессе, помимо прямого снимка, делаются дополнительные снимки в боковой и косой проекциях. Каждое затемнение, которое можно увидеть на рентгеновском снимке, врач оценивает по нескольким параметрам:
- Местонахождение затемнения. Оно может находиться в верхней, средней или нижней части легких. Кроме того, легкие условно делятся на внутреннюю, среднюю и наружную зоны. Это помогает более точно представить картину патологии.
- Размер. Уточнение этого параметра позволяет определить площадь поражения легких.
- Степень выраженности. По этому признаку определяется плотность поражения. Затемнение на снимке может иметь высокую, низкую или среднюю интенсивность.
- Очертания затемнения. Форма и контуры затемнения, их ровность и четкость, могут указывать на природу опухоли или новообразования.
Существует также другая классификация затемнений на рентгеновском снимке, в которой выделяются следующие типы затемнений.
Долевое затемнение
При таком типе затемнения очертания его хорошо видны на рентгеновском снимке. Оно может иметь выпуклую, вогнутую или прямолинейную форму. Такое затемнение в легких может возникать в результате хронического процесса, такого как гнойный процесс, цирроз или деструктивный процесс бронхов.
Очаговое затемнение
Такие затемнения на легких имеют небольшие размеры, примерно до 1 см. Они могут указывать на начальный воспалительный или другой процесс. Кроме того, появление таких затемнений на снимке может указывать на патологии сосудов. В таких случаях врач обычно направляет пациента на дополнительное обследование, такое как КТ, анализы или целенаправленный рентген.
Очаговые затемнения на легких могут быть связаны с периферическим раком, инфарктом легкого, очаговым туберкулезом и другими заболеваниями. Высокая температура, головная боль, кашель и боль в груди в сочетании с такой рентгенологической картиной могут вызывать подозрение на бронхопневмонию. Инфаркт легкого сопровождается симптомами сердечных заболеваний, кровохарканьем и проявлениями тромбофлебита.

Затемнение неопределенной формы
Для таких затемнений характерно отсутствие определенной формы и четких очертаний. Для точного диагноза требуются дополнительные исследования крови и мочи, а также применение других диагностических методов, например, КТ. Возможные заболевания, при которых на рентгеновском снимке появляются неопределенные белые пятна, включают:
- пневмонию;
- инфаркт легкого;
- плеврит;
- кровоизлияние;
- опухоль и другие.
Для правильного диагноза важны лабораторные данные и клиническая картина болезни.
Жидкостное затемнение
Иногда в легких может возникать отек тканей. Повышенное давление в сосудах может привести к выходу жидкости из них в альвеолярный аппарат легких. Кроме того, некоторые токсические вещества могут нарушить проницаемость альвеолярной стенки, что также приводит к проникновению жидкости в легочную ткань. Наличие жидкости в легких влияет на их функциональную активность.
Сегментарное затемнение

Если затемнение имеет форму треугольника, это может указывать на такие заболевания, как:
- раковая опухоль;
- доброкачественное образование;
- воспаление легких;
- метастазы из других органов;
- туберкулез;
- наличие жидкости в плевральной полости и т. д.
Для правильного диагноза обычно требуется дополнительное комплексное обследование. Опыт и квалификация врача играют важную роль в этом случае.
Фокусные затемнения
Эти затемнения представлены круглыми одиночными пятнами диаметром около 1 см. Они могут быть связаны с такими заболеваниями, как:
- воспаление легких;
- накопление жидкости;
- туберкулез (туберкулема);
- кисты;
- абсцессы.

Иногда они могут указывать на наличие рака или доброкачественной опухоли, такой как липома или аденома. В любом случае, требуется проведение дополнительного обследования.
Как меняется легочной рисунок при заболеваниях?
Умеренная эмфизема, легочной рисунок усилен, уплотнен и деформирован в нижних отделах
Заболевания легких и патологии органов средостения вызывают изменения нормального легочного рисунка. Это связано с воспалением вокруг кровеносных сосудов, стенки которых утолщаются – это неизбежно отражается на рентгенограмме. Участие в тенеобразовании начинают принимать и стенки бронхов – они утолщаются, появляются прослойки соединительной ткани, перегородки между альвеолами, которые в норме отсутствуют.
Кровеносные и лимфатические сосуды имеют сильно извитой вид, становятся очень хорошо заметными. Такая картина, при которой сосудистый рисунок резко усилен, наблюдается при некоторых заболеваниях, сопровождающихся выраженными нарушениями гемодинамики:
- сочетанный стеноз митрального клапана;
- пневмосклероз в его различных проявлениях;
- саркоидоз II-III стадии.
Как победить саркоидоз
С высокой степенью достоверности легочный рисунок может изучаться только на рентгенограмме или томограмме высокого разрешения. Для этого оптимальным будет назначение исследования, проводимого лучами высокой жесткости – на таких снимках четко видны все отделы легких
Для уточнения диагноза важно динамическое наблюдение и оценка рентгенограмм, сделанных в разное время. Существует два варианта изменения легочного рисунка – усиление и разрежение
Лечение патологий легких
Что делать, если на флюорограмме обнаружено затемнение? Метод лечения выбирается, исходя из причины патологического явления.
При механической травме органа, не сопровождающейся разрушением ребер, образовываются гематомы, в редких случаях ателектазы – сдувания легочных долей. Возникают ателектазы, если разрываются бронхи. При гематомах достаточно медикаментозной терапии. Если же разорвался бронх, то требуется хирургическое вмешательство.
При механической травме легкого, сопровождающейся переломом ребер, медикаментозная терапия включает применение обезболивающих препаратов. Если из-за перелома возникло кровотечение, то немедленно требуется хирургическая операция.
При онкологии легких проводится исключительно хирургическое лечение. В данной ситуации к каждому пациенту применяется индивидуальный подход. Лечение дополняется химиотерапией. Причем химиотерапевтические процедуры могут проводиться как при подготовке к оперативному вмешательству, так и в ходе операции. Все зависит от состояния пациента. Онкология легких – тяжелая и опасная болезнь, требующая комплексных терапевтических мероприятий.
- Пневмония диагностируется не только на основании флюорографии, но и по результатам клинических анализов.
- Степень поражения легких обуславливается фактором, вызвавшим болезнь, и своевременностью лечебных мероприятий. Выбор медикаментов зависит от возбудителя воспалительной реакции.
- При пневмонии могут назначаться антибиотики группы макролидов и пенициллинов, противовирусные и антимикотические лекарства.
- Пневмония – патология, несущая огромную опасность для человеческой жизни. Но страшнее то, что она часто вызывает тяжелейшие осложнения.
Самое частое осложнение пневмонии – плеврит. В данном случае плевральная полость легкого заполняется жидкостью. Эта жидкость мешает полноценному функционированию органа дыхания, в результате чего физическое состояние больного человека значительно ухудшается.
Крайне опасное осложнение пневмонии – эмпиема плевры. При данном патологическом явлении в плевральной полости скапливается гной. Токсины всасываются в ткани плевры, в результате у больного человека не только усиливается нарушение дыхательной функции, но и происходит интоксикация организма. Эмпиема в большинстве случаев заканчивается смертью пациента. Поэтому нельзя затягивать с лечением пневмонии.





























