Инструкция по применению таблеток «Мизопростол»
Аналоги «Мизопростола», точно так же, как и сам препарат, очень важно принимать правильно. От этого будет зависеть не только корректное протекание процесса родов, но и здоровье самой женщины
Согласно инструкции по применению, а также советам гинекологов, сначала нужно принять три таблетки «Мифепристона», после чего подождать сорок восемь часов. И только после этого нужно принять четыре миллиграмма «Мизопростола». Обычно такая дозировка содержится в двух таблетках.
Далее все проходит сугубо индивидуально. Обычно через несколько часов у женщины начинается маточное кровотечение. Это говорит о том, что отторгается слизистая матки совместно с самим плодным яйцом. То есть начинается процесс медикаментозного аборта.

Чаще всего после применения данного препарата женщины замечают тянущие боли внизу живота, а также незначительные кровянистые выделения, которые плавно перетекают в кровотечение. Чаще всего данные симптомы проявляются уже через один-два часа после применения препарата. Однако у некоторых женщин они могут появиться только через двадцать четыре часа. Это считается нормой. Такое действие оказывают таблетки «Мизопростол». Аналоги дженерики «Сайтотек» и «Миролют» оказывают аналогичное действие, так как имеют в своем составе простагландин.
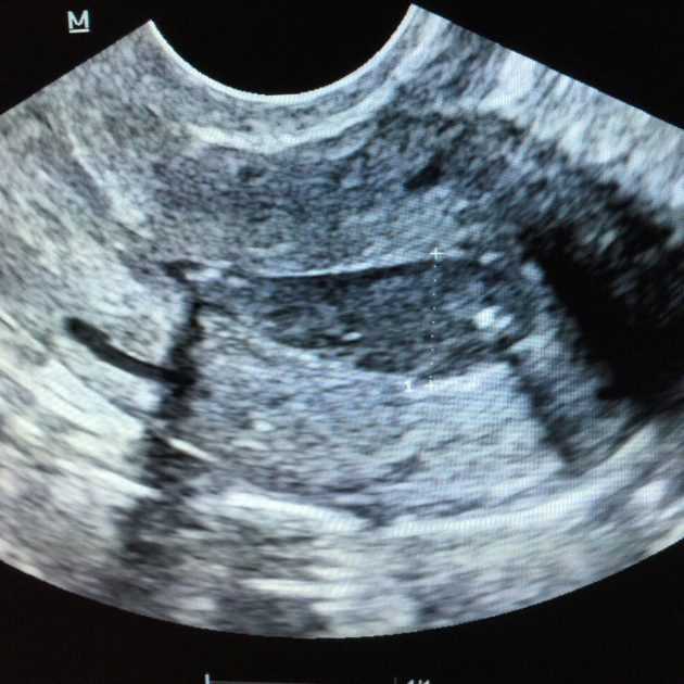
Состоялось ли прерывание беременности?
Чтобы подтвердить факт завершения процедуры, через 14 дней женщина проходит контрольное ультразвуковое исследование. Также может проводиться анализ крови на ХГЧ. Во время контрольной диагностики врач оценивает состояние половых органов и в целом организма пациентки. Риск развития осложнений после медикаментозного аборта в медицинском учреждении минимален.
Если в матке выявляют остатки тканей плода, женщине проводят хирургическое выскабливание. При этом выявленные остатки плодного яйца удаляются при помощи хирургических инструментов – кюреток. Вмешательство проводится под общим или местным наркозом. В медицинском центре «Диана» в Санкт-Петербурге имеется необходимое оборудование для завершения аборта даже в тяжелых случаях.
Определить, какие таблетки лучше для прерывания беременности самостоятельно невозможно. В большинстве развитых стран мира абортивные средства не продаются свободно в аптеках. Их применение допустимо только в условиях стационара. Ответственный подход к процедуре снижает риск развития осложнений до 3-5%.
Мизопростол: аналоги
Основными аналогами Мизопростола являются Сайтотек и Миролют. Существуют аналоги Мизопростола и не такие популярные, как предыдущие, но не менее эффективные. К ним относятся следующие:
- Пенкрофтон.
Сайтотек
— это лекарство предназначение которого является создания условий для прерывания беременности на ранних сроках. Выпускается препарат в форме таблеток, которые находятся в блистерах и в картонных коробках. Производит лекарство Греция. После употребления таблеток беременность прерывается в течение 30 минут. Принимать препарат необходимо строго под наблюдением лечащего врача. Стоимость лекарственного средства составляет 250 рублей.
Представляет собой лекарственный препарат, вызывающий медикаментозный аборт. Производит препарат Россия. Выпускается лекарство в форме таблеток для внутреннего применения. Стоят таблетки 300 рублей.
Миропристон
представляет собой лекарственный препарат, который предназначен для проведения медикаментозного аборта на ранних сроках. Производителем этого препарата является Китай. Основным веществом этого лекарственного средства являются мифепристон. Выпускается Миропристон в форме таблеток для внутреннего применения. Рекомендованная доза таблеток составляет 600 миллиграмм. После того как пройдёт 36 часов с момента приёма препарата делается УЗИ. Вся процедура от начала приёма таблетки до проведения УЗИ должна контролироваться врачом-гинекологом. Стоимость такого препарата составляет 700 рублей.
Мифегин
— это лекарственный препарат, который производится французской фармакологической компанией. Выпускается лекарство в форме таблеток. После приёма таблеток пациентка должна ещё не менее 2 часов находиться под наблюдением врача-гинеколога. Через несколько дней после приёма препарата врач должен произвести УЗИ-осмотр пациентки. Стоимость препарата находится в пределах 3500 рублей.
Какие факторы влияют на эффективность
Очень часто на эффективность медикаментозного аборта влияет повышенное содержание женских половых гормонов в организме. Как известно, прогестерон отвечает за подготовку организма женщины к беременности. Поэтому если его количество будет повышенным, то будет активно сопротивляться данному виду аборта.
При пониженном содержании женских половых гормонов обычно процедура проходит достаточно просто. При таком состоянии у некоторых женщин начинается самоабортирование.
Обязательно учтите, что данный метод прерывания беременности назначается только после проведения комплексного обследования женского организма. Именно от содержания в нем прогестерона и будет зависеть дозировка лекарственного средства.
При беременности и лактации
Препарата по типу действия на плод относится к категории (по FDA) — X.
Мизопростоловая кислота способна проникать в грудное молоко
Не смотря на то, что нет информации о развитии каких-либо побочных реакций у детей, рекомендуется применять Мизопростол в период с осторожностью
В случае, если препарат используется как:
-
Гастропротективное средство
: беременность или её планирование – недопустимы, так как повышенный тонус матки
может спровоцировать . Назначать препарат можно только после сывороточного теста
на беременность, остающегося отрицательным не менее 2 недель. Прием Мизопростола обычно начинают через 2–3 суток после начала менструального цикла
, обязательным условием является использование надежных методов контрацепции
, к примеру, барьерных. -
Утеротонизирующее средство
: применение с целью прерывания беременности, иначе — при запланированной беременности препарат противопоказан.
Противопоказания к приему таблеток для прерывания беременности
Существует общий перечень противопоказаний для приема любых абортивных препаратов:
- внематочная беременность;
- срок беременности больше 7 недель;
- наступление беременности на фоне приема гормональных контрацептивов;
- почечная и печеночная недостаточность;
- возраст пациентки меньше 18 лет;
- нарушения свертывающей системы крови, сосудистые патологии;
- болезни женской половой системы – опухоли любой природы, эндометриоз, воспаления тканей;
- аллергия, непереносимость отдельных компонентов препарата;
- эпилепсия;
- легочные патологии – бронхиальная астма, хронические обструктивные заболевания легких;
- болезни сердечно-сосудистой системы — артериальная гипертензия, нарушения ритма сердца, хроническая сердечная недостаточность;
- воспалительные заболевания желудочно-кишечного тракта — язвы, колиты, гастриты.
С осторожностью средства для медикаментозного аборта применяют у женщин в возрасте старше 35 лет, а также у курящих пациенток. Всестороннее обследование перед процедурой позволяет точно установить срок беременности и место прикрепления плодного яйца
Также во время врачебной консультации исключают заболевания половых путей и хронические болезни.
Риск развития осложнений многократно возрастает, а эффективность абортивных препаратов снижается, если допускается неправильное лекарственное взаимодействие. Например, недопустимо одновременно использовать таблетки для прерывания беременности и нестероидные противовоспалительные средства (НПВС). Изменить действие препаратов может даже безобидная, на первый взгляд, ацетилсалициловая кислота.
Обо всех рисках и особенностях применения препаратов для медикаментозного удаления плодного яйца пациентке расскажет гинеколог. Если нежелательная беременность наступила во время грудного вскармливания, молодой маме следует прервать кормление малыша грудью на 7-14 дней. Это связано с проникновением абортивных препаратов в грудное молоко. Чтобы сохранить молоко в этот период, его следует регулярно сцеживать. Кормить ребенка в это время можно специальной смесью.
Кроме того, при проведении процедуры в клинике, женщина получает гарантию завершения аборта. Если по какой-либо причине не удается добиться полного удаления плода из полости матки, необходимо провести дополнительное хирургическое выскабливание. В случае домашнего применения абортивных препаратов оплачивать эту процедуру пациентке приходится самостоятельно.
Побочные действия
По отношению к различным органам и системам Мизопростол может вызывать следующие побочные реакции:
-
Органы ЖКТ
: абдоминальные боли
, тошнота
, рвота
, или . -
Мочеполовая система
: различные нарушения менструального цикла, постменопаузные кровянистые выделения из вагины, гиперменорея
, обильные маточные кровотечения
, вызванные чаще всего сокращениями миометрия. В пред- и постклимактерический период — судороги
. -
Сердечно-сосудистая система
: гипо-
или гипертензия
. -
Кожные покровы
: сыпь
, . -
Аллергические реакции
и . - Прочие реакции: , астения
, изменение массы тела, гипертермия
и/или озноб
.
Какие таблетки купить для самостоятельного прерывания беременности?
Некоторые женщины убеждены, что если аборт выполняется при помощи таблеток, провести его можно самостоятельно, без обращения к гинекологу. Это ошибка, которая может стоить пациентке здоровья.
Единственное, что женщина может сделать самостоятельно – предотвратить наступление нежелательной беременности. Кроме стандартных методов предохранения, с этой целью могут применяться средства для экстренной контрацепции, которые продаются в аптеке. Эти препараты не стоит путать с таблетками для медикаментозного аборта. Препараты экстренной контрацепции не вызывают абортирования, а лишь предотвращают вероятное оплодотворение.
Никакие таблетки для прерывания беременности нельзя применять без консультации гинеколога. Это может привести к таким последствиям:
- неполное выведение плодного яйца из матки, требующее хирургического вмешательства;
- открытие сильного маточного кровотечения, с риском большой потери крови;
- развитие инфекционно-воспалительного процесса на фоне угнетения нормальной микрофлоры половых путей;
- неэффективность аборта, в связи с прикреплением плодного яйца вне матки;
- развитие опасного для жизни синдрома токсического шока;
- нарушения менструального цикла из-за гормонального сбоя;
- нарушения работы щитовидной железы;
- серьезные расстройства пищеварительной системы – тошнота, рвота, боль в животе.
Прием Мизопростола для прерывания беременности
Гинекологи могут рекомендовать женщинам использовать Мизопростол с целью прерывания беременности только в комбинации с Мифепристоном. Такой способ медикаментозного избавления от нежелательной беременности считается наиболее эффективным.
Препарат Мифепристон влияет на выработку гормонов в организме, способствует гибели эмбриона и повышению тонуса матки. Одновременно прекращается рост эндометрия. Происходящие изменения схожи с теми, которые возникают накануне менструации.
Мизопростол нужно принять спустя 1,5-2 суток после Мифепристона. Так запускается процесс изгнания из маточной полости плодного яйца. До окончания выкидыша женщине рекомендуют находиться под присмотром медиков. Обычно он происходит в течение дня.
Фармакологические свойства Мизопростола
Синтетический аналог простагландина Е1 ингибирует секрецию HCl в париетальных клетках фундальных желез желудка (вне зависимости от характера стимулирующего фактора) и подавляет биосинтез основного протеолитического фермента – пепсина, снижая общую переваривающую способность желудочного сока. Мизопростол увеличивает выработку бикарбоната и желудочной слизи, что обеспечивает защиту желудочных стенок от ульцерогенного воздействия кислой среды.
Вещество стимулирует сокращение гладкомышечных элементов стенок матки и расширяет ее шейку.
После перорального приема таблетки эффект начинает развиваться спустя полчаса. Действие продолжается от 3 до 6 часов.
Обратите внимание
Малые дозы (50 мкг) обеспечивают кратковременный и умеренный эффект, а стандартные дозировки (200 мкг) – гораздо более выраженный.
Активное вещество всасывается в ЖКТ быстро и практически в полном объеме. Прием пищи замедляет процесс абсорбции, поэтому препарат целесообразно пить на голодный желудок. С альбуминами крови конъюгируется до 85% мизопростола. Процесс биотрансформации с образованием фармакологически активной мизопростоловой кислоты протекает в печени и стенках органов пищеварительного тракта. Наиболее высокая концентрация в плазме фиксируется через 12 минут после приема. Препарат не накапливается при неоднократном применении. Неизмененное вещество и метаболиты экскретируются преимущественно почками (порядка 80%), а остальной объем выводится чрез кишечник. Время полувыведения составляет от 20 до 40 минут. Оно увеличивается на фоне почечной недостаточности.
Особые указания
Таблетки Мизопростол для прерывания беременности на ранних сроках необходимо применять одновременно с мифепристоном. Процедуру можно проводить только в специализированных лечебных учреждениях, располагающих возможностями оказания экстренной хирургической гемотрансфузионной и гинекологической помощи.
До приема препарата на протяжении 4-6 часов следует наблюдать за состоянием пациентки. После применения Мизопростола в случаях возникновения массивного кровотечения или при развитии других осложнений должна быть оказана квалифицированная медицинская помощь.
Примерно у 80% женщин после приема Мизопростола выкидыш происходит в течение 6 часов, у 10% – в течение 7 дней.
Через 8-15 дней после применения препарата в том же лечебном учреждении следует пройти повторное обследование. При необходимости проводят УЗИ либо определяют уровень хорионического гонадотропина в сыворотке крови. При подозрении на сохранение беременности или неполный аборт нужно своевременно провести комплексное медицинское обследование. При подтверждении диагноза через 10-14 дней после приема Мизопростола необходимо провести вакуум-аспирацию с последующим гистологическим исследованием аспирата с целью оценки влияния препарата на формирование врожденных пороков развития у плода.
Влияние на способность к управлению автотранспортом и сложными механизмами
Поскольку после приема препарата может возникать головокружение и иные побочные эффекты, негативно сказывающиеся на концентрации внимания и быстроте психомоторных реакций, при управлении автотранспортными средствами следует соблюдать осторожность
Как действует Мизопростол при прерывании беременности
Принимать Мизопростол для прерывания нежелательной беременности или провоцирования выкидыша при остановке развития плода рекомендуют не позже 7 недели. Срок считают, начиная от 1 дня последней менструации.
Мизопростол после перорального приема вызывает сокращение гладкомышечных волокон матки и одновременное расширение ее шейки. Благодаря такому влиянию плодное яйцо отделяется от эндометрия и изгоняется из маточной полости. У 80% пациенток беременность прерывается, и плодное яйцо выходит из матки в течение 6-8 часов после употребления Мизопростола. У 10% женщин выкидыш происходит на протяжении 1 недели.
Мышцы матки сокращаются как при родах, по характеру они напоминают схватки. Одновременно из влагалища начинает выделяться кровь. Многие женщины отмечают, что после употребления Мизопростола возникает диарея, появляется тошнота, у некоторых открывается рвота.
Замечание!
При проведении таблетированного аборта прерывание беременности происходит так же, как и при самопроизвольном выкидыше.
После выхода плода из матки кровотечение продолжается еще 5-7 дней. В этот период полностью отслаивается эндометрий. Через 2 дня после прерывания желательно сделать УЗИ. Исследование необходимо, чтобы убедиться в маточной полости не осталось частей плода, оболочек. Повторное УЗИ делают уже после полной остановки кровотечения, то есть спустя 1-2 недели. Оно необходимо для оценки результативности проведенного медикаментозного аборта и исключения развития осложнений (например, гематометры).
Если по результатам УЗД аборт был неполным или беременность продолжает развиваться, то делают вакуум-аспирацию.
Нуждается ли организм в восстановлении после проведения процедуры
Аналоги «Мизопростола» в аптеке купить несложно. Но стоит ли это делать? Ни в коем случае не проявляйте инициативу в данном вопросе. Четко придерживайтесь всех рекомендаций вашего лечащего врача, иначе вы рискуете нанести серьезный ущерб своему здоровью.
Проведение медикаментозного аборта — это очень серьезная процедура, которая требует восстановления организма. В особенности под удар попадает эндокринная система. Однако сам же «Мизопростол» очень быстро выводится из организма.
По словам врачей, для полного восстановления женского организма потребуется около четырех-пяти недель. Если к концу этого срока менструации так и не начались, обязательно обратитесь к врачу и установите причину.
Продолжительность восстановления зависит не только от индивидуальных особенностей женщины, но также и от срока беременности. Учтите, чем больше срок, тем выше содержание прогестерона, тем большую концентрацию активного вещества нужно использовать.

Показания
Мизопростол применяется для профилактики и лечения следующих патологий ЖКТ:
- гиперацидный гастрит (для предупреждения изъязвлений слизистой);
- гастродуоденит на фоне повышенной секреторной активности фундальных желез;
- рецидивы язвенной б-ни желудка;
- дуоденальные язвы.
Обратите внимание
Аналог ПГ Е1 рекомендуется принимать при лечении НПВС, поскольку препараты данной группы способны спровоцировать развитие или обострение язвенной болезни.
Мизопростол в сочетании с Мифепристоном применяется для медикаментозных абортов на ранних сроках – до 42-го дня задержки месячных (аменореи).
Инструкция на Мизопростол (Способ и дозировка)
Мизопростол для в комплексе с принимают по схеме:
- 3 таблетки (600 мг) Мифепристона — натощак внутрь или через два часа после приема пищи.
- Через 36–48 часов – натощак 2 табл. (400 мкг) Мизопростола.
Внимание! Если после приема нет кровотечения в течение 2 суток, то самостоятельно принимать таблетки запрещено. За назначением дополнительной дозировки следует обратиться к врачу — посетить акушера на 2-3 день
Инструкция по применению Мизопростола как противоязвенного препарата
предполагает прием таблеток внутрь во время еды. Дозировка: 200 мкг 3-4 раза в сутки, разовая доза в пределах 200-400 микрограмм, если у пациента повышенная чувствительность или — доза составляет 100 микрограмм. Как принимать и насколько долго — следует рассчитывать в зависимости от показаний и наблюдаемой клинической картины лечения.
Побочные эффекты
У большинства пациентов в ходе лечения никаких побочных эффектов не наблюдается. При гиперчувствительности к мизопростолу не исключены аллергические реакции в виде кожного зуда и высыпаний, бронхоспазма и ангионевротического отека.
В редких случаях отмечаются:
- повышенная физическая утомляемость;
- общее недомогание;
- астения;
- абдоминальные боли;
- симптомы диспепсии (тошнота, рвота);
- повышенное газообразование в кишечнике;
- диарея;
- похудание или увеличение веса.
Важно
У женщин не исключены полименорея, дисменорея и меноррагия, а в предклимактерическом или постклимактерическом периоде возможны судороги.
Побочные эффекты
Как подтверждают отзывы о действии Мизопростола и Миролюта (его аналога) при прерывании беременности у пациенток могут развиться осложнения. Среди распространенных нежелательных последствий от приема средства называют следующие:
- диарея (возникает у 10-40% пациенток);
- метеоризм;
- боли в животе;
- обильное кровотечение;
- нарушение регулярности менструального цикла;
- тошнота и рвота;
- гиперменорея;
- дисменорея;
- боли в нижних участках живота, спровоцированные маточными сокращениями;
- кожные высыпания;
- головная боль;
- анафилактические реакции;
- головокружение;
- шум в ушах;
- озноб;
- гиперемия;
- повышение утомляемости;
- астения;
- изменение массы тела.
После проведения прерывания Мизопростолом возможно появление и других осложнений:
- неполный аборт;
- повышение частоты сокращений сердца;
- снижение артериального давления.
У 2-4% пациенток после таблетированного аборта диагностируют гематометру. Так называют скопление крови в маточной полости, возникшее из-за спазма шейки матки. Это может привести к развитию инфекционных осложнений и образованию спаек в матке.

Важно!
Вероятность появления инфекционно-воспалительных заболеваний при прерывании беременности таблетками намного ниже, чем после хирургического аборта. Поэтому при отсутствии противопоказаний этот метод предпочтительнее
Мизопростол при беременности и грудном вскармливании
Препарат категорически противопоказан женщинам в период гестации, поскольку усиление и учащение сокращений миометрия может спровоцировать самопроизвольное прерывание беременности (выкидыш). При необходимости приема во время лактации ставится вопрос о переводе малыша на искусственное вскармливание.
Перед началом приема данного гастропротекторного средства пациенткам фертильного возраста нужно обязательно сделать тест на беременность. Он должен быть отрицательным на протяжении 2 недель до курсового лечения. Таблетки можно пить только на 3 день после прихода месячных. До окончания терапии нужно использовать контрацептивы.
Меры предосторожности
В соответствии с инструкцией нельзя применять для прерывания беременности Мизопростол без Мифепристона. Прием этого препарата может вызвать смерть плода или появление пороков развития. При употреблении Мизопростола в 1 триместре повышается вероятность возникновения таких врожденных дефектов:
- деформация конечностей;
- развитие последовательности Мебиуса (например, паралич VI и VII черепных нервов);
- артрогрипоз.
Прием таблеток на более поздних сроках повышает риск разрыва матки, особенно в случаях, когда у пациентки были операции на матке или текущая беременность многоплодная.

При назначении медикаментов для прерывания беременности важно, чтобы женщина употребляла данные таблетки под контролем врача в гинекологических стационарах больниц. В них есть возможность оказания при необходимости срочной хирургической либо гемотрансфузионной помощи
Внимание!
Если у женщины отрицательный резус-фактор, то необходимо применение препаратов для предупреждения развития резус-конфликта при последующих беременностях, как и при проведении обычного хирургического аборта
Мизопростол: инструкция по применению
Показания к применению
Мизопростол (misoprostol) необходимо применять в том случае:
- Если женщин желают прерывать беременность на ранних сроках.
- Если у пациента имеются заболевания желудочно-кишечного тракта.
- Если у пациента имеются заболевания желудка и язва двенадцатипёрстной кишки.
При каких случаях противопоказано применение лекарственного препарата Мизопростол?
Противопоказано применение лекарства:
- Если у пациента имеется индивидуальная непереносимость какого-либо компонента препарата.
- В период грудного вскармливания.
- Если пациенту менее чем 18 лет.
В составе препарата находится такой активный действующий компонент, как мизопростол и гипромеллоза. Вспомогательными веществами являются:
- Натрия карбоксиметилкрахмал.
- Масло касторовое.
- Целлюлоза микрокристаллическая.
- Кремния диоксид коллоидный.
Как применять лекарственное средство и в какой дозировке?
Для того, чтобы прервать нежелаемую беременность с помощью медикаментозного аборта необходимо сначала принять лекарство Мизопростол, его дозировка должна составлять 200 мг при этом лекарство следует запить большим количеством воды. После того, как пройдёт около 26 часов необходимо выпить 2 таблетки Мизопростола
, в одной таблетке содержится 200 мг действующего вещества.
Мизопростол обязательно нужно принимать в комплексе с препаратом для того, чтобы достичь желаемого результата. Разжёвывать таблетку Мизопростола нельзя, её можно класть под язык, использовать интравагинально и класть между губой и десной. Сразу две таблетки рассасывать не рекомендуется лучше это сделать по очереди.
Осуществлять прерывание беременности необходимо только в условиях стационара и под строгим наблюдением врача-гинеколога. Перед хирургическим вмешательством
необходимо предупредить женщину о возможных негативных последствиях. Пациентка должна поступить в клинику за 4–6 часов до предполагаемого приёма препарата Мизопростол. Это необходимо сделать для того, чтобы врач-гинеколог смог отследить состояние женщины до и после приёма лекарства.
Если срок беременности женщины небольшой, то прерывание беременности может произойти уже после приёма препарата Мифепростона, но все равно после этого средства необходимо принять Мизопростол для получения точного результата. Многие женщины интересуются через сколько действует Мизопростол? У большинства женщин абортирование происходит через 6 дней, а у некоторых этот процесс может занять до двух недель. После того как пройдёт 1,5–2 недели со дня осуществления обортирования женщине стоит пройти медицинский осмотр.
Средство, лучше всего, принимать до употребления пищи
, так как лекарство вступает во взаимодействие с пищей и концентрация его в крови снижается. В таком случае желаемый результат может быть не достигнут. Лучше всего, лекарство применять за 2–3 часа до и после приёма. Если употреблять Мизопростол таблетки вместе с жирной едой, то в таком случае жир будет препятствовать проникновению в кровь средства.
Передозировка
Симптомы передозировки на данный момент исследованы только на животных. Но учёные уверены в том, что симптомы передозировки будет также проявляться и на людях. Передозировка может проявляться:
Побочные действия
Применение этого лекарственного средства может вызвать огромное количество побочных эффектов
, которые проявляются:
- в виде болевого синдрома в области живота;
- в виде диспепсии;
- в виде метеоризма;
- в виде тошноты;
- в виде рвоты;
- в виде диареи;
- в виде запора;
- в виде сыпи;
- в виде кожного зуда;
- в виде анафилактического шока;
- в виде отёка Квинке;
- в виде головной боли;
- в виде астенического синдрома;
- в виде высокой утомляемости;
- в виде повышения температуры тела;
- в виде озноба;
- в виде судорожного синдрома.
Обычно все вышеперечисленные симптомы проявляются в течение первых 2–3 дней после приёма препарата.
Одновременное применение лекарственного препарата и алкоголя
Категорически запрещено употреблять алкогольные напитки
во время приёма препарата Мизопростол. Это нельзя делать по той причине, что активные компоненты лекарственного средства начинают взаимодействовать с алкоголем и в результате этого снижается эффективность действия Мизопростола. Но, также, алкоголь может дать осложнения на организм женщины или другие побочные действия.
Мизопростол форма выпуска
Выпускается Мизопростол для прерывания беременности в форме таблеток объёмом 0.2 мг. Таблетки находятся в блистерах, а блистеры в картонных упаковках. Отпускается лекарственное средство только по рецепту врача. Мизопростол цена составляет 300–350 рублей.




























