Разноцветный лишай
Разноцветный лишай – это инфицирование кожи Malassezia furfur, клинически характеризующееся образованием множественных бессимптомных шелушащихся пятен, цвет которых варьирует от белого до желто-коричневого, коричневого и розового. Диагноз устанавливается на основании данных клинической картины и микроскопического исследования соскоба кожи в мокром препарате с гидроксидом калия. Лечение с помощью местных или иногда пероральных противогрибковых препаратов. Частые рецидивы.
Malassezia furfur является грибом, который может существовать как в виде дрожжей, так и в виде плесени (диморфный гриб). Это безвредный компонент нормальной микрофлоры кожи, но способный вызывать у некоторых людей разноцветный лишай. Наиболее часто поражаются здоровые люди. Факторы, которые могут предрасполагать к развитию разноцветного лишая, включают повышенную температуру и влажность, а также иммуносупрессию на фоне приема кортикостероидов, беременность, недостаточное питание, сахарный диабет или другие заболевания. Гипопигментация при разноцветном лишае связана с угнетением активности тирозиназы, вызванным продукцией азелаиновой кислоты M. furfur.
Что вызывает отрубевидный лишай

Возбудителями отрубевидного лишая является грибы рода Malassezia, который в настоящее время содержит девять видов липофильных базидомицетных грибов.
Кожные инфекции, вызванные Malassezia, развиваются в двух первичных формах: отрубевидный лишай и фолликулит. Развитие разноцветного лишая вызывается в основном одним видом – Malassezia furfur.
Malassezia furfur является условно-патогенным и липофильным микроорганизмом, который растёт только при добавлении жирных кислот. При соответствующих условиях он трансформирует из сапрофитного дрожжеподобного организма в преимущественно паразитарную форму мицелия, которая и вызывает клинические проявления.
Несмотря на то, что грибок является условно-патогенным возбудителем, в ряде исследований вызвал серию инфекций в отделении для новорождённых. К факторам, способствующим преобразованию в мицелий является тёплая и влажная среда.
Отрубевидный лишай
Отрубевидный лишай (цветной лишай, разноцветный лишай) – заболевание рогового слоя эпидермиса, вызванное грибком рода Malassezia. Появляется в виде пятен с шелушащейся кожей. Окрас: желтоватый, белесоватый, коричневый.
В простонародье нередко данное заболевание величают «солнечный лишай» или «пляжный лишай», а из-за его широкой цветовой гаммы его еще называют «разноцветным лишаем».
Сам по себе цветной лишай является инфекционной патологией и преимущественно передаётся по наследству (определенный тип кожи, создающий благоприятные условия для патогенного гриба). Пляжным лишаем, как правило, болеют юноши, реже его можно встретить у детей и пожилых людей. Причинами появления отрубевидного лишая могут послужить повышенная потливость и ношение чужой одежды. Чаще всего возбудителем разноцветного лишая является гриб Malassezia furfur.
Заражение может произойти при:
- использовании совместных предметов с больным; тесном контакте; ношении чужой одежды.
Но несмотря на это, бытует мнение, что данный тип лишая не заразен. Но учёные склоняются к тому, что при определённой структуре и предрасположенности кожи заболевание может передаться. Чаще всего это замечается в семьях, где естественно тип кожи сравнительно одинаковый. Также заболеванию способствует:
- Сахарный диабет. Беременность. Синдром Кушинга. Другие гормональные дисбалансы.
Тяжелые соматические заболевания, способствующие развитию разноцветного лишая:
- Онкологические болезни. Туберкулёз.
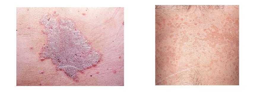
Пятна различных размеров, имеют жёлто-охряной или светло-коричневый цвет. Очертания бывают овальные, округлые, цилиндрические, сливающиеся в большие очаги, которые напоминают географическую карту.
Локализация отрубевидного лишая
В большинстве случаев отрубевидный лишай размещается на верхней части туловища, шее, участках головы, покрытых волосами, и других частях тела.
Верхняя поверхность слегка шелушится. Со временем пятна меняют цвет и на их месте образуется ахромия (белое пятно).
Помните, что только профессиональный врач-дерматолог действительно может помочь Вам.
Что делать, если контакт с инфекцией состоялся
Что нужно сделать в этом случае:
- обязательно тщательно вымыться фунгицидным средством (не только руки, но и все тело, и голову);
- выстирать всю одежду, которая была на вас при контакте, на высокотемпературном режиме и хорошо прогладить ее;
- примерно через 7 дней сходить на прием к дерматологу, чтобы выявить болезнь на самой ранней стадии, когда вылечить ее проще всего;
- если один из членов семьи болен, надо выделить ему индивидуальные предметы гигиены (постельные принадлежности, столовые приборы, мочалку, полотенце, расческу, зубную щетку и проч.), часто проводить дезинфекцию всех поверхностей в доме, проветривать помещение, делать ежедневную влажную уборку.
В этом помогут правильное питание, продолжительные пешие прогулки, умеренные физические нагрузки, полноценный сон.
Лечение разноцветного лишая
Основное лечение разноцветного лишая — это местная терапия различными дезинфицирующими растворами (салицилово — резорциновый спирт, раствор йода, спрей ламизила), противогрибковые мази (клотримазол, мифунгар, микосептин). Так же в промышленности выпускаются противогрибковые шампуни (кетокеназол, низорал).
При второй форме и при распространенном процессе назначают таблетированные препараты, обладающие фунгицидным действием (тербизил, румикоз).
Какого-нибудь особого питания не требуется. Единственное, что нужно сказать о наиболее частой смене нательного и постельного белья.
После лечения кожа выглядит, как кожа здорового человека, никаких пятен не остается. Ограничивать себя в чем-либо не стоит.
Диагностика: как можно обнаружить отрубевидный лишай
Отрубевидный лишай – это продолжительное, часто обостряющееся заболевание, обычно поражающее кожу волосистой части головы, шеи, груди, живота, спины, а также подмышек и паховой зоны. Обострения чаще всего случаются весной, кроме того, появление пятен провоцируют беременность и прием гормональных контрацептивов (если женщина когда-либо болела отрубевидным лишаем, то она должна об этом предупредить врача-гинеколога до того, как он назначит противозачаточное средство). При обнаружении у себя симптомы грибковой инфекции следует отправиться на прием к врачу-дерматологу, который проведет осмотр кожных покровов и сделает йодную пробу Бальцера (нанесет на кожу 5% спиртовой раствор йода (зеленки, фукарцина) – при этом пораженные участки окрасятся интенсивнее, чем здоровая кожа). В случае отсутствия видимого шелушения его вызывают соскабливанием (феномен стружки или симптом Бенье).

Для диагностики отрубевидного лишая используют:
- облучение кожи люминесцентной лампой в темной комнате – в таких условиях хорошо заметны темно-коричневое или красно-желтое свечение (флуоресценция) пятен;
- микроскопическое исследование соскоба с целью обнаружения частиц грибка – коротких, но достаточно толстых и изогнутых нитей грибницы, а также скопления круглых спор, имеющих гроздевидную форму;
- выращивание культуры грибков, вызывающие отрубевидный лишай на жирной питательной среде (при необходимости делают посев грибка на среду Сабуро, на которой дрожжеподобная грибковая культура вырастает за три недели).
Внимание! Важно отличать отрубевидный лишай от витилиго, лепры, вторичных гипопигментаций, розового лишая и сифилитической розеолы. Чтобы исключить сифилис, пациенту могут быть проведены RPR-тест, исследования на бледную трепонему и ПЦР-диагностика
Комбинированная терапия
В случае рецидивирующего течения разноцветного лишая, наличии распространенных форм или атипичного течения заболевания необходимо прибегать к комбинированной терапии с обязательным включением:
- системного противогрибкового препарата;
- препаратов для местного применения в виде кремов, растворов или порошков (
Кетоконазолгруппы азолов и
Тербинафин(
Ламизил) группы аллиламинов являются препаратами выбора); - шампуней для мытья волос на голове в качестве геля для тела. Предпочтение следует отдавать шампуням, в состав которых входит цинка пиритион и кетоконазол (например, шампунь
Кето плюс). Использовать 1 раз в сутки в течение всего курса лечения.

Рис. 17. Очень часто разноцветный лишай локализуется на коже спины.
Watch this video on YouTube
Частые вопросы
Можно ли вылечить отрубевидный лишай?
Однозначно ответить на этот вопрос сложно. Поскольку болезнь вызывает трансформация сапрофитного грибка в патогенную форму, одной из задач лечения является устранение причины, которая вызвала этот переход.
Поэтому подбор лекарств индивидуален для каждого пациента. Возможно, эффект появится только после отмены цитостатиков, компенсации сахарного диабета, болезни Иценко-Кушинга, нормализации веса и гормонального статуса.
Терапия иногда начинается с лечения местными препаратами: мазями, шампунями с противогрибковым действием.
Если местное лечение не дает желаемых результатов, врач-дерматолог порекомендует системное лечение пероральными фунгицидными препаратами .
Можно ли навсегда вылечить отрубевидный лишай?
Разноцветный лишай часто дает рецидивы (в 60-90% случаев в течение 2 лет). Это связано как со сложностями устранения причин, вызвавших изменение микрофлоры кожи, так и с трудностями по визуальному определению всех очагов и их фунгицидной обработки.
Для увеличения эффективности терапии рекомендуется комбинированный подход, когда наружные средства сочетают с приемом антимикотических лекарств в виде капсул и обязательным лечением причины, вызвавшей перерождение грибка в патогенную форму . Существует практика по предупреждению рецидивов с помощью ежемесячного приема системных антимикотиков по схеме.
Можно ли загорать с отрубевидным лишаем?
Депигментация кожи при отрубевидном лишае может происходить с некоторым опозданием спустя длительное время после клинического выздоровления
Солнечные ванны следует применять с осторожностью, стараясь закрывать пораженные обесцвеченные участки кожи. На других частях тела лучше использовать солнцезащитный крем с максимальными значениями фильтров от ультрафиолета .
Можно ли вылечить отрубевидный лишай йодом?
В медицинской литературе нет сведений, которые бы подтверждали эту возможность. Раствор йода используется в диагностике для визуализации элементов шелушения.
Почему не проходит отрубевидный лишай?
Ответ на этот вопрос кроется в том, как развивается заболевание. Хотя возбудитель его точно известен, есть огромное влияние факторов, которые устранить бывает сложно. Сюда можно отнести изменение химического состава пота, гормональный дисбаланс, увеличение продукции кожного сала, угнетение иммунитета, изменение микрофлоры кожи из-за приема антибиотиков. Без устранения этого влияния полностью излечиться от отрубевидного лишая будет сложно, так как любой контакт с грибком Malassezia может вызвать рецидив.
Второй большой проблемой является невозможность выявить все очаги поражения на теле и волосистой части головы. Небольшие участки кожи с бледно-розовыми, неяркими пятнами могут ускользнуть из внимания при обработке сыпи лечебными мазями. Учет всех очагов можно провести только при помощи лампы Вуда в кабинете дерматолога. Повторное заражение часто происходит с головы, где остаются очаги под волосами.
Врачи рекомендуют пациентам с разноцветным лишаем набраться терпения и не прекращать профилактических мероприятий в течение 1-2 лет после выздоровления .
Список литературы:
- Российское общество дерматовенерологов и косметологов Клинические рекомендации “Разноцветный лишай”, Москва, 2016.
- Зоиров П.Т., Абдуллоева М.А., Кенджаева И.О. Микрофлора и бактерицидные свойства кожи у больных с разноцветным лишаем // Вестник Авиценны. 2012. №3 (52).
- Хэ С.М., Ду В.Д., Ян С., Чжоу С.М., Ли В., Ван Дж., Сяо Ф.Л., Сюй C.Х, Чжан Х.Д. Генетическая эпидемиология разноцветного лишая в Китае. Микозы. Январь 2008 г.;51(1):55-62.
- Яковлев А.Б., Суворова К.Н. Малассезия-инфекция кожи человека. Уч.-метод. пособие. М.: ГОУ ДПО РМАПО, 2005.
- Ю. А. Галлямова Отрубевидный лишай, журнал “Лечащий врач” №5, 2010 год
- Абдуллоева М. А., Зоиров П. Т. Современный взгляд на разноцветный лишай: некоторые аспекты патогенеза и клинические особенности течения в условиях жаркого климата // Вестник Авиценны. 2017. №1.
- Чернова В.А. , Устинов М.В. М. В. Разноцветный лишай: возможности применения шампуня, содержащего кетоконазол и цинка пиритион, Регулярные выпуски «РМЖ» №19 от 05.10.2015 стр. 1175.
Диагностика разноцветного лишая
Разноцветный лишай (лечение, препараты не гарантируют отсутствие случаев рецидивов) диагностируется на приеме у дерматолога после осмотра и проведения дерматоскопии пораженных участков кожи, а также с помощью йодной пробы Бальцера.
Дерматоскопия – метод исследования, суть которого заключается в применении дерматологом специального увеличительного прибора, позволяющего рассмотреть очаги поражения кожи грибковой инфекцией под десятикратным увеличением.
Для проведения процедуры применяют как обычный дерматоскоп, так и цифровой, с помощью которого можно выполнить снимок подозрительного элемента кожи. Средняя стоимость метода – от 600 руб.
Йодная проба Бальцера – методика, при которой используют спиртовой раствор йода для определения характера поражения кожных покровов. Для этого пораженный участок протирают йодным раствором, и наблюдают за реакцией в кожных покровах.
Пораженный роговой слой впитывает йод и приобретает яркую коричневатую окраску, которая отличается от цвета здоровой кожи. Таким образом йодная проба считается положительной и дает основания диагностировать наличие патологии.
К дополнительным методам диагностики заболевания относятся также:
- микроскопия отшелушенных частиц очагов поражения;
- осмотр под люминесцентной лампой Вуда;
- взятие посевов на среду Сабуро.
При микроскопии чешуек, частички расслоившегося рогового слоя рассматривают под микроскопом. О наличии отрубевидного лишая будет свидетельствовать обнаруженный грибок с изогнутыми, толстыми и короткими нитями, а также скопления круглых спор в виде гроздей. Средняя стоимость исследования составляет 400 руб.
Осмотр под люминесцентной лампой Вуда – это метод диагностирования, при котором с помощью ультрафиолетового излучения определяют патологические процессы на кожных покровах.
Специальная портативная лампа подсвечивает участки на коже и выделяет более ярким цветом те места, которые поражены воздействием грибка. Данная методика наиболее часто применяется при исследовании волосистой части кожи головы. Среда Сабуро – искусственная среда для питания различных видов грибков, в которую помещается взятый с поверхности кожи соскоб и наблюдают за дальнейшим развитием образца. При наличии разноцветного лишая в посевах на среду Сабуро спустя 3 недели с момента взятия анализа вырастают сливкообразные колонии.
Микроскопия
В ходе микроскопического исследования с пораженного участка тела пациента берется кожный соскоб, который потом изучается под микроскопом. Данная процедура позволяет выявить следы дрожжей (под объективом микроскопа нити гриба имеют довольно изогнутую форму, которая отчетливо видна лишь при таком методе диагностики).

Лампа Вуда
Распространенный метод диагностического исследования, назначаемый при подозрении на разные виды лишая. С его помощью можно выявить следы грибковых клеток на голове пациента, а точнее, на ее волосяном покрове. Для этого нужна лампа Вуда – специальное устройство, излучающее лучи ультрафиолетового диапазона.

По сути, это ультрафиолетовая лампа, используемая при диагностике кожных заболеваний. В процессе диагностики с применением лампы Вуда волосы пациента не страдают от ее излучения. Поэтому такой метод считается одним из самых популярных.
Проба Бальцера
В ходе проведения данной процедуры исследуемый участок кожи пациента обрабатывается раствором йода, а затем протирается спиртом. Под воздействием используемых жидкостей верхний слой эпидермиса разрыхляется, а пятна лишая становятся более яркими и выделяющимися на фоне здоровой кожи. Проба Бальцера также проводится в качестве подтверждающего теста на предмет излеченности болезни.

Факторы, влияющие на прогрессирование заболевания
Сравнение с «материками и островками» приведено не зря. Еще одна общая черта с географическими объектами – довольно медленное их разрастание в большинстве случаев. В некоторых клинических случаях проходят месяцы или даже годы, прежде чем они сольются в одно целое. Однако это правило не является универсальным.
Чем больше у человека сопутствующих заболевания и состояний, тем быстрее развиваются очаги инфекции, а значит, и визуальное их проявление. Пониженный иммунитет, как бы это банально ни звучало, — основной виновник высокой скорости распространения заболевания.
Большую негативную роль могут сыграть новомодные диеты, являющиеся причиной авитаминозов. А ослабленный организм является оптимальной средой для активации дерматомикоза. Но еще в большей степени подвержены риску больные с недолеченной или активной стадией сифилиса и (довольно часто в практике) туберкулеза.
Диагностика отрубевидного лишая
Заболевание может беспокоить человека годами, обостряясь или затухая на время. Постановка точного диагноза осуществляется специалистом на основании клинической картины и жалоб пациента. Основным признаком патологии являются характерные пятна, расположенные на разных участках тела. Для точной диагностики используют лампу Вуда. При этом участки, пораженные грибком, будут светиться желтым или золотистым цветом.
Также для диагностики прибегают к лабораторным исследованиям. Для анализа берут соскоб с пораженных участков. Иногда дерматолог проводит йодную пробу. Пятна смазывают йодом, в процессе чего участки, пораженные грибком, окрашиваются более интенсивно.
Симптомы заболевания
Некоторые клинические проявления болезни схожи с другой дерматологической патологией — лишай Жибера.
Поэтому для подтверждения диагноза и назначения правильного терапевтического курса требуется посетить квалифицированного дерматолога, который даст направление на обследование.
Характерными клиническими проявлениями цветного лишая являются следующие:

- На участках кожи, где активно размножается грибок, формируются несимметричные пятна — коричневого, розового и желтого оттенков, которые с течением времени сливаются воедино, имеют неровны края.
- От загара окрас пятен может видоизменяться. Он, как правило, становится более светлым, обесцвеченным. С приходом холодов, напротив, окрас становится более выраженным, преобладают темно-бурые цвета.
- Чаще всего грибок поражает живот, плечи, спину и шею. Порой встречается на волосистой части головы. Лицо, к счастью, практически не поражает.
- Навсегда избавиться от радужного лишая невозможно. Невзирая на качественное лечение, заболевание может регулярно рецидивировать и пребывать в активном состоянии годами.
Способы передачи лишая
На вопрос о том, каким образом передается это заболевание, врачи отвечают, что, как правило, происходит бытовой способ передачи, а во время непосредственного контакта с конкретной формой лишая у человека или животного этот недуг начинает развиваться очень быстрыми темпами.
К примеру, заражение может произойти во время использования одних и тех же предметов гигиены с носителем лишая (расческа, щетка, полотенце и др.). Частички зараженной кожи во время взаимодействия с эпидермисом реципиента, у которого поврежден кожный покров или ослаблена иммунная система, активно начинает прогрессировать.
Передача заболевания может случиться где угодно, к примеру, при контакте с зараженным животным или в маникюрном салоне через непродезинфицированные инструменты.
Риск передачи увеличивается при:
- распаривании кожи;
- ранах и порезах;
- аллергии, дерматитах, экземе;
- ослаблении организма вследствие заболевания ОРВИ;
- посещении саун, бассейнов, пляжей и соляриев;
- эмоциональных срывах, депрессии.
Заражаться лишаем человек может через рукопожатие, поцелуй, во время посещения общественных мест и т. д. Заразиться можно даже во время купания в открытом водоеме, если не принять душ после этого. Помимо этого, риску передачи подвержены люди с нарушениями работы эндокринной системы и желудочно-кишечного тракта.
Стригущий лишай можно получить от уличных кошек, которые могут являться переносчиками этой болезни даже во время отсутствия видимых проявлений. На шерсти или коже животного могут находиться до нескольких тысяч спор болезнетворных грибков.
Опаснее всего оставлять в подъездах домов детские коляски, так как бездомные кошки любят спать в них, а это может привести к массовому заражению всей семьи.
Симптомы
Общие симптомы отрубевидного лишая, которые не зависят от формы заболевания, выглядят так:
Алые асимметричные пятна, расположенные на спине, плечах, животе, голове и шее. Размеры пятен разные, они могут захватывать довольно большие участки кожи. Коричневые или желтые пятна, также отличающиеся по размерам — с неровными краями, часто сливающиеся в более обширные образования. Выраженное шелушение тканей на пораженных участках. Ощущение зуда
Но важно знать, что оно встречается не всегда — только в тех случаях, когда отрубевидный лишай сопровождается вторичной инфекцией. Отсутствие загара на болеющих участках тела
Это связано с тем, что грибок, поражающий кожу, нарушает работу меланоцитов.
Существуют и другие симптомы отрубевидного лишая — они связаны с конкретной формой:
- Фолликулярная. Чаще всего связана с неприятными ощущениями и предполагает наличие язвочек, разных папул и сыпи. Инвертная. При такой форме пятна находятся в складках кожи — подмышками, в области паха. Эритематосквамозная. Эта форма характеризуется светлыми пятнышками без признаков воспаления. Чаще всего образования наблюдаются на спине, животе и груди. У детей может развиться такой отрубевидный лишай на голове.
Важно! Если признаки отрубевидного лишая появились у женщины во время беременности, это не несет никакой опасности для малыша. Но нельзя начинать лечение до родов, поскольку таблетки, которые лечат заболевания, как раз нежелательны для развития плода
У ребенка
Отрубевидный лишай у детей возникает исключительно в том случае, если не соблюдается личная гигиена или уход за кожей неправильный. Как правило, до 10 лет организм сам способен справиться с патогенными организмами, если не нарушать барьерные функции кожи. А вот после десятилетнего возраста начинаются гормональные перестройки, из-за которых восприимчивость к патогенным грибкам в результате разных негативных факторов растет — дети могут болеть наравне со взрослыми.
Течение заболевания не зависит от возраста — и у маленьких пациентов, и у больших оно одинаковое.
У взрослого
Чаще всего заболевание встречается у людей от 10 до 60 лет. Как правило, сильного дискомфорта оно не доставляет, а связано лишь с негативными эстетическими последствиями. После 60 лет наступают такие возрастные изменения кожи, из-за которых она становится менее восприимчивой к возбудителю болезни.
Общие сведения
Данному виду заболевания подвержены в основном мужчины, но также немало случаев, когда лишай развивается на коже женщин и детей. Всех волнует вопрос, заразен ли отрубевидный или цветной лишай.
Грибки микоспорины могут развиваться только на коже определенной структуры. Поэтому если в семье один человек заболел, то у того, чья структура кожи такая же – по генным признаками и предрасположенности. То тот человек может заразиться даже через предметы общего пользования: полотенца, мочалки, при прямом контакте.
Грибок относится к инфекционным заразностям, которым подвержены люди, предрасположенные к заболеванию.
Симптомы отрубевидного лишая
Визуально отрубевидный лишай проявляется на коже в виде алых ассиметричных пятен, различных по размеру. Они могут сливаться между собой и иметь нечёткие, неровные края.
Их цвет может варьироваться от белого до желтого, светло-коричневого, темно-коричневого, серо-черного или розовато-красного.
Дефект кожи (пятна) встречаются в >80% случаев заболевания, вызывая психологический дискомфорт пациента.
В ряде случаев к грибковому заболеванию может присоединяться другая, так называемая «вторичная» инфекция. Симптомом наличия вторичной инфекции может быть шелушение на поверхности кожи и зуд.
Ламизил
Препарат имеет в основе активное вещество – тербинафин. Мазь назначается при инфекциях, спровоцированных опрелостями. При грибковых поражениях, особенно обширных назначается мазь в тубах.
Препарат хорошо действует, блокируя синтез грибка в мембране на клеточном уровне. Выпускается в виде спрея, крема и таблеток. Цена препарата зависит от формы выпуска.
Дороже всего обойдутся таблетки – около 3000 рублей, крем – 500 рублей и спрей – около 800 рублей.
Препараты стоит использовать ежедневно.
Пациентам, у которых лишай сильно распространён по телу, назначают антимикотики для приёма внутрь:
Отрубевидный лишай у детей
Заболевание не свойственно детям до 6 лет. В этот период кожа имеет механизмы защиты, которые не допускают воздействие на дерму влаги и высоких температур. Однако если уход за малышом не правильный, родители смазывают кожу маслами: ши, какао, то это нарушает работу механизмов защиты. По этой причине болезнь появляется в дошкольном возрасте.
У детей в предпубертатный период начинается в организме гормональная перестройка. Кожа очень чувствительна в большой влажности, воздействию солнца, как у взрослых людей. Благодаря изменениям грибки могут провоцировать появление болезни.
Лишай у детей протекает с такими же симптомами, как у взрослых. Лечение отличий не имеет. При появлении покраснений желательно немедленное обращение к врачу. Специалист проведет осмотр, назначит препарат, который подходит для возраста ребенка. Не рекомендуется применять средства без совета специалиста, это может привести к негативным последствиям.
Что за болезнь лишай?
Лишай относится к кожным типам заболевания, которое носит вирусный характер и поражает клетки эпидермиса. При таком виде кожной болезни у человека наблюдается воспалительные процессы на коже, вследствие чего появляется отечность и шелушением кожи.
Очаги поражения могут проявляться как единичным, так и множественным количеством, поражая всю область тела, степень распространения лишая чаще всего связано с его разновидностью.
Человек, который заразился такой вирусной инфекцией, может ощущать большое количество неприятных ощущений, усиливающиеся при контакте с водой, поэтому специалисты рекомендуют, не затягивать с лечением и при появлении первых симптомов обращаться за медицинской помощью.
В противном случае у человека может появиться увеличение образований, что усложнит лечение и займет длительное время.




























