Лимфоузлы и онкология
Лимфатические узлы длительное время сдерживают процесс разрастания онкологических опухолей. Этим они дают возможность организму справиться с ними. Если бы узлы не стояли на пути движения лимфы, раковые клетки, сразу попадая в кровь, разносились бы по организму и четвертая стадия рака наступала бы сразу.
Раковая опухоль дает метастазы в лимфоузлы. В них раковые клетки задерживаются и уничтожаются. Но неубитые раковые клетки размножаются, и возникает вторичный очаг метастазов. Очаг разрастается, но защитные свойства лимфоузла какое-то время сдерживают их. Если у организма мощные защитные силы, то раковые клетки в лимфоузле будут подавлены, если нет, то они будут с некоторой задержкой распространяться дальше. И так до полного распространения по всему организму.

Если у человека доброкачественные заболевания, лимфоузлы размеры имеют небольшие, консистенция у них мягкая, при надавливании боли не возникает. Четко определяются границы. Если человек поражен злокачественными образованиями, то лимфоузлы большие, очень плотные, имеются конгломераты. При надавливании боли нет. Под кожей не перекатываются. Иногда срастаются друг с другом.
Поскольку увеличение лимфоузлов и другие отклонения от нормы свидетельствуют о разных заболеваниях, то обращаться надо к разным специалистам. Это инфекционисты, гематологи, онкологи, маммологи, хирурги, венерологи, эндокринологи.
Очень полезно периодически ощупывать у себя лимфатические узлы. Это не требует специальных знаний и умений. Любой может определить размер, болезненность, твердость, неподвижность лимфоузлов. Особенно это касается женщин. Отклонение от нормы лимфоузлов – это признаки многих заболеваний. Вовремя выявленные симптомы и незамедлительное обращение к врачу – первый и главный шаг к выздоровлению.
Итак, мы выяснили, какие лимфоузлы пальпируются в норме у взрослых.
Преимущества и недостатки УЗИ перед другими методами
Ультразвуковое исследование лимфоузлов является бесспорным выбором и «золотым стандартом» при подозрении на любую патологию, его достоинствами считаются:
- Относительная дешевизна.
- Доступность для каждого.
- Информативность.
- Безопасность.
- Быстрота в проведении.
К недостаткам относятся субъективность метода (добросовестное заблуждение врача) и невозможность обнаружить мелкие процессы, трудность в детализации органов и тканей.
При наличии жалоб рекомендуется обращаться к профильному специалисту и проходить обследование вовремя. Даже минимальные, и, на первый взгляд, незначительные изменения в лимфатических узлах означают начало серьезной патологии.

27.01.2023
Услуги

УЗИ-диагностика
Проведение ультразвуковой диагностики специалистами с многолетним опытом работы по медицинским показаниям. Широкий спектр направлений для исследований с помощью УЗИ на современном оборудовании с цветным допплеровским картированием. Расшифровка.
Узнать больше

Прием узких специалистов
- Невролог
- Гастроэнтеролог
- Кардиолог
- Терапевт
- Отоларинголог
- Хирург
- Травматолог
- Дерматовенеролог / Трихолог
- Аллерголог
Узнать больше
Врачи
Остапенко Татьяна Вениаминовна
Врач-УЗИ, терапевт, высшая категория
Голубев Антон Евгеньевич
Врач-УЗИ, 1 категория
Корельский Иван Леонидович
Врач-УЗИ, 1 категория
Ярулкин Константин Петрович
Врач-УЗИ, 2 категория
Симптомы лимфаденита
Шейный
Шейный лимфаденит выражается, как понятно из названия, воспалением лимфоузлов, расположенных на шее. Нажатия на образовавшиеся уплотнения лимфоузлов причиняют боль. Помимо воспаления при шейном лимфадените ухудшается общее самочувствие заболевшего, у него появляется головная боль и температура.
При острой форме этого вида заболевания в области лимфатических узлов образуются сильные нагноения. Этому заболеванию одинаково подвержены и дети, и взрослые, однако шейный лимфаденит протекает у детей быстрее, однако с более неприятными симптомами в виде головной боли, сильных болезненных ощущений при нажатии на лимфоузлы, температуры (38⁰ и выше), нарушений сна, потери аппетита, а также образования сильного отека шеи.
Подчелюстной
Подчелюстной лимфаденит начинается слабо выраженными болями при надавливании за ухом или под челюстью. На начальной стадии узлы двигаются под кожей и совершенно не мешают жевать или улыбаться. На третий день у заболевшего появляется хорошо заметная болезненная припухлость под челюстью, которая постепенно увеличивается в размере и начинает занимать всю подчелюстную часть лица, иногда даже спускаясь вниз по шее к ключице. При отсутствии лечения к неприятным симптомам могут добавиться припухлость и покраснение слизистой с той стороны рта, где расположено воспаление.
Если такой лимфаденит не начать лечить на этой стадии, впоследствии все станет ещё печальнее, поскольку боль превратится в тянуще-стреляющую, у человека поднимется температура, а кожа его лица постепенно из красного перейдет в бордовый. Когда гной начнет выходить в направлении кожи, она посинеет.
В паху
Заметное увеличение и уплотнение лимфатических узлов, расположенных в паху – первый признак пахового лимфаденита. К этим симптомам по мере развития болезни обычно добавляется повышение температуры, болезненные ощущения в районе низ живота, особенно выраженные при движении. Также при лимфадените в паху часто краснеет кожа в месте воспаления, а заболевший может чувствовать общий упадок сил. Если воспаление не лечить, оно может перекинуться не только на ближайшие, но и на все лимфатические узлы организма.
Подмышечная область
Подмышечный лимфаденит имеет схожие со всеми прочими видами этого заболевания симптомы: воспаление приводит к увеличению узлов в размерах, а при надавливании на них заболевший испытывает боль. Перетекший в гнойную форму (а это произойдет, если вовремя не взяться за лечение) лимфаденит в области подмышек способен объединить общим воспалением все узлы лимфатической системы, тем самым разнеся болезнь по всему организму.
Расшифровка результатов обследования
Чтобы сделать выводы о состоянии регионарных лимфатических узлов, необходимо детально изучить их характеристики. В норме размер лимфоузлов составляет от 3 до 10 мм. Их величина зависит от локализации (грудные гораздо меньше подмышечных или шейных).
Помимо размера, оценивается плотность и четкость контуров. Здоровый лимфоузел имеет гипоэхогенную (темную) окраску, однородную структуру, четкие границы. Даже незначительное отклонение от указанных параметров свидетельствует о наличии лимфаденита (воспаление лимфоузла).
Инфекционный лимфаденит
Инфекционно-воспалительное поражение лимфатических узлов является следствием борьбы организма с различными патогенными агентами. Лимфаденит чаще поражает регионарные лимфоузлы. Это обусловлено особенностями лимфо- и кровотока данной зоны.
К УЗ-признакам инфекционного лимфаденита относят:
- увеличение размера узла;
- гипоэхогенный (темный) ободок по периферии;
- гиперэхогенная (светлая) центральная часть;
- округлая форма;
- четкие контуры.
Все изменения в размере или структуре полностью обратимы. По мере выздоровления лимфатический узел приобретает свою привычную форму.

Туберкулезная лимфаденопатия
Поражаются преимущественно узлы шеи, подмышечной, паховой области. Для туберкулезной лимфаденопатии характерно значительное увеличение размеров (более чем в 10 раз).
Чаще всего узлы имеют вид гипоэхогенных образований без четких контуров. Структура их неоднородна. Нередко группы узлов спаяны между собой и образуют конгломераты. При прогрессировании патологического процесса формируются абсцессы, открываются свищевые отверстия.

Метастатическое поражение узлов
Злокачественные новообразования в терминальных стадиях характеризуются метастазированием в регионарные и отдаленные лимфатические узлы. Более благоприятный прогноз имеют метастазы, расположенные рядом с опухолью (метастаз в шейных узлах при раке щитовидки).
Основные признаки ракового поражения лимфоузлов:
- размеры более 1 см;
- пониженная эхогенность;
- неоднородная структура;
- нечеткость контуров;
- спаянность с окружающими тканями;
- увеличение коркового слоя;
- потеря дифференцировки (центральная, корковая, околокорковая зоны слабо различимы);
- образование крупных конгломератов;
- наличие аномального кровообращения (чередование зон с повышенным и пониженным кровотоком).
При подозрении на злокачественный процесс необходимо в срочном порядке провести биопсию пораженного узла. Это исследование поможет точно определить природу патологии.

Лимфогранулематоз
Лимфома Ходжкина (лимфогранулематоз) – это злокачественная опухоль из лимфоидной ткани. Чаще первый патологический очаг формируется в шейных, надключичных или средостенных группах. Позднее процесс поражает органы и системы (печень, селезенку, легкие, костный мозг).
На УЗИ лимфома проявляется увеличением, сращением узлов между собой. При этом они не прорастают в окружающие ткани, не теряют своей структуры.

Патологию лимфатических узлов шеи можно посмотреть в видео:
Патологические изменения
Что показывает УЗИ лимфоузлов при различных патологиях? Современные подходы к УЗИ лимфоузлов, позволили свести все возможные изменения к нескольким группам.
Увеличение происходит у единичных ЛУ, но при этом сохраняется нормальная эхокартина:
- целостность капсулы;
- ровность и четкость внешнего контура;
- нормальная эхогенность.
Такой тип изменений характерен для воспалительных заболеваний, инфекционного характера (вирусного гепатита, туберкулеза, коллагеноза, гемобластоза). Увеличение группы лимфоузлов, сопровождающееся утратой целостности капсулы, вследствие гнойного расплавления, и приводящее к формированию единой массы. Происходит при длительном течении туберкулеза, метастазирующих опухолях. Формирование объемных конгломератов, оттесняющих внутренние структуры (сдавливание мочеточников, сосудов, матки и придатков). Такие проявления наблюдаются при развитии лимфомы Ходжкина, неходжкинских лимфом, миелолейкозов.
Важно! При обнаружении изменений в поверхностных лимфоузлах (шейных, подчелюстных, подключичных, подколенных, локтевых, подмышечных, паховых), крайне важно получить максимум информации о состоянии селезенки и печени.
На УЗ-снимке: группа увеличенных забрюшинных лимфоузлов. У узлов А и В наблюдается утрата четкости контуров
Лимфаденит
Под формулировкой лимфаденит объединены все патологические изменения, относящиеся к первой группе. Данная патология занимает одно из центральных мест в педиатрии, что объясняется незрелостью лимфоидной системы ребенка. Увеличение ЛУ при лимфодените происходит за счет околокорковой зоны. При УЗ-обследовании, узел имеет гипоэхогенную периферическую зону и гиперэхогенную центральную, неоднородную структуру, четкий ровный контур, усиленный кровоток в воротах.
Из всех возможных видов лимфаденита отдельно стоит выделить туберкулезный лимфаденит. Заболевание поражает преимущественно ЛУ шеи, паховой и подмышечной зоны. В зависимости от длительности течения болезни узлы могут достигать 3–10 см и образовывать спаянные конгломераты. При УЗИ определяется гетерогенная структура, образованная множественными кистозными образованиями и кальцинатами. Дальнейшее прогрессирование заболевания приводит к образованию свищей и абсцессов.
Опухолевое поражение
Диагностировать метастатические изменения ЛУ можно при изменении его формы, нечеткости контуров, значительном увеличении и обнаружении анэхогенных участков в структуре. В результате опухолевой инфильтрации узел приобретает округлую форму с широким кортикальным слоем и размытым контуром. Характерным явлением при метастатическом поражении считается появление в узле жидкостного содержимого, а также стирание характерного УЗ-рисунка, вследствие замещения клеток лимфоидной ткани клетками опухоли.
Все злокачественные процессы в ЛУ характеризуются отсутствием или истончением гиперэхогенного ядра, что свидетельствует о тотальном поражении центральных отделов опухолевыми клетками. Еще одним признаком злокачественного перерождения тканей, является увеличение васкуляризации (разрастания сосудов) с атипичным сосудистым рисунком и большим разбросом скоростей.
Важно! Выявление сосудов в лимфатическом узле, является одним из диагностических критериев, позволяющим дифференцировать злокачественное и доброкачественное перерождение лимфоидной ткани
Лимфома Ходжкина
Злокачественная опухоль, первым признаком которой, является увеличение подчелюстных, шейных и надключичных ЛУ, при полном отсутствии заболеваний этой зоны. На эхограмме определяется группа узлов, преимущественно округлой формы, с хорошо определяемой капсулой, однородной гипоэхогенной структурой. Все узлы, собраны в «пачку», но в отличие от лимфоидной ткани, подвергшейся метастатическому поражению, не сливаются между собой и сохраняют целостность капсулы.
На УЗ-снимке: изображение той же лимфомы, выполненное в режиме ЦДК. В структуре лимфоузла прослеживается сосудистый рисунок
Неходжинская лимфома
Системная злокачественная опухоль внекостномозговой лимфоидной ткани, встречающаяся у детей. Характерным проявлением заболевания является поражение периферических ЛУ (паховые, шейные, подмышечные), ЛУ носоглотки, брюшных лимфоузлов и средостения. Поскольку неходжинская лимфома не имеет специфических УЗ-признаков, отличающих ее от банального лимфаденита, лимфомы
Ходжкина или метастатического рака, дифференциальную диагностику осуществляют по косвенным признакам (асинхронность поражения лимфоузлов, одновременное поражение щитовидной и молочных желез, печени, органов мошонки, костей), а также с помощью пункционной биопсии.
Подготовка к процедуре и проведение
Диагностика состояния лимфоузлов ультразвуковой волной — один из самых простых и быстрых способов исследования. Специальная подготовка не требуется. Исключение — УЗИ забрюшинных лимфоузлов. Подготовка включает несколько мер, выполнение которых позволит увидеть полную картину состояния периферийного органа и поставить точный диагноз. В течение 3 дней до проведения УЗИ необходимо придерживаться специального рациона: исключить жирную, жареную пищу, газированные напитки, хлеб из ржаной муки, квас и алкоголь.
За день до процедуры необходимо очистить кишечник с помощью клизмы. На ужин рекомендовано выпить небольшое количество кефира. Заключение о необходимости сделать УЗИ делает лечащий врач.
Обследование проводится с помощью специального датчика. Пациент сидит на кушетке лицом к врачу если проводится УЗИ шейных лимфоузлов, либо лежит в случае необходимости просмотреть паховую, брюшную зону. На кожу наносится специальный гель, который выступает проводником для ультразвука. Во время процедуры пациент не испытывает никаких ощущений. Водя датчиком по коже, врач изучает показанный на экране монитора лимфоузел и записывает в специальную таблицу все необходимые параметры.
Перед проведением УЗИ лимфоузлов паховой области необходимо предварительно проконсультироваться с врачом-венерологом. Увеличение паховых узлов в большинстве случаев связано с возникновением заболеваний мочеполовой системы, которые передаются при незащищенном половом акте, или с наличием метастаз при онкологических опухолях.
Существует ряд противопоказаний, при которых процедура не проводится. УЗИ не рекомендуется делать женщинам во время беременности. При проведении УЗИ подмышечных лимфоузлов, необходимо убедиться в целостности кожного покрова. Если в подмышках присутствуют небольшие порезы, это будет влиять на достоверность результата. Категорически запрещено проводить процедуру при наличии заразных заболеваний (сифилис, лепра).
Если нет возможности провести УЗИ из-за противопоказаний, исследовать орган можно с помощью пальпации. Однако данный метод диагностики не дает точную картину, особенно если необходимо диагностировать наличие метастаз. Идя на ультразвуковое обследование, пациент с собой должен взять влажные или сухие салфетки, чтобы убрать с кожи остатки геля после процедуры.
В чем преимущества УЗИ лимфатических узлов
Ультразвуковая диагностика – это метод исследования, основанный на использовании ультразвуковых волн для визуализации внутренних органов. УЗИ применяется не только при увеличении лимфоузлов, но и при многих других заболеваниях, например при патологиях мочеполовой системы, дыхательной, сердечно сосудистой, центральной нервной системы и т.д. Причин, по которым ультразвуковая диагностика так распространена, много.
- Первая, и одна из наиболее весомых – безопасность. Ультразвуковые волны безвредны для человеческого организма, что подтверждено лабораторными и клиническими испытаниями, а также длительным опытом применения в медицине. УЗИ проводится не только у взрослых, но также у детей и беременных, при этом отсутствуют какие-либо риски или вредное излучение.
- Второй не менее важный аспект – эффективность. Не будь УЗИ достаточно эффективным, то и использовалось бы оно гораздо меньше. Данный вид диагностики может обнаружить даже самые минимальные отклонения, а его разновидности, такие, как допплерография, дуплекс, 3D УЗИ, дополняют обычное ультразвуковое исследование, еще больше расширяя его возможности.
Это далеко не все плюсы, так как УЗИ выполняется достаточно быстро, результаты врач получает в реальном времени, а на их анализ и перенос на бумагу уходит совсем немного времени. Ультразвуковое исследование безболезненно и не наносит никаких повреждений пациенту, что является немаловажным, особенно при диагностике у детей.
Как видно из всего вышеописанного, ультразвуковое обследование имеет ряд преимуществ, но не стоит думать, что оно способно заменить все прочие инструментальные методы диагностики. УЗИ занимает свою нишу среди всех прочих видов исследования, но оно не всегда может заменить КТ, МРТ, а в некоторых случаях и рентген. И уж никак ультразвук не заменит лабораторные анализы и осмотр у врача.
Лимфоузлы на УЗИ
Лимфоузлы исследуют линейным датчиком 7,5-12 МГц. Для осмотра больших конгломератов может пригодиться конвексный датчик 3-5 МГц. Брыжеечные лимфоузлы смотри Мезаденит на УЗИ (лекция на Диагностере).
У трети здоровых людей встречаются небольшие лимфоузлы, а длина отдельных экземпляров достигает 3,5 см. Размеры и форма лимфатических узлов зависят от расположения, а так же возраста и конституции пациента.
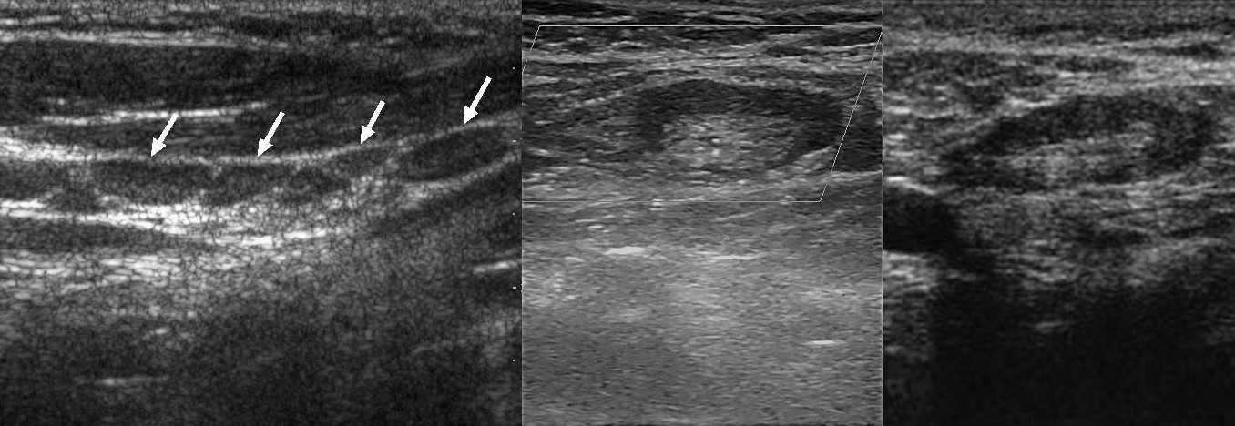
Нормальный лимфоузел на УЗИ — небольшое (менее 1 см) гипоэхогенное образование с гиперэхогенным рубчиком в центре; бобовидной или овальной формы; контур четкий, ровный или волнистый. Гипоэхогенная зона по периферии — корковое вещество, гиперэхогенная линейная структура — сосуды, трабекулы, жировые включения, частично мозговое вещество. В воротах гиперэхогенный треугольник «врезается» в паренхиму, здесь при ЦДК бывает видно сосуды.
Рисунок. На УЗИ нормальные лимфоузлы в заднем треугольнике шеи у девочки 9-ти лет (1), лимфоузел яремной цепи у пожилой женщины (2), подмышечный лимфоузел (3). На участках ограниченных фасциями лимфоузлы более вытянуты в длину, чем которые располагаются в рыхлой клетчатке.

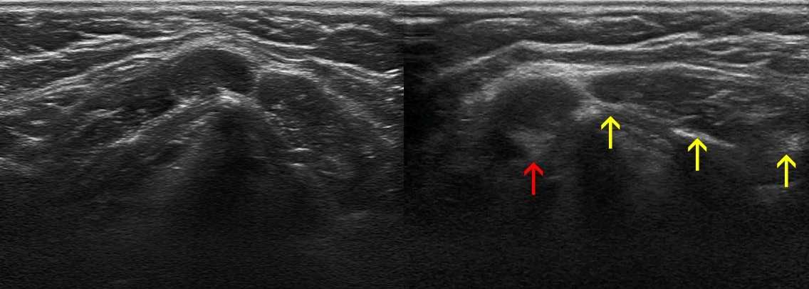
Поперечный срез мышцы или сосуда можно ошибочно принять за лимфоузел. В режиме ЦДК легко отличить лимфоузел от сосуда. Если датчик развернуть на 90°, то сосуды и мышцы представляют собой трубчатую структуру, а лимфоузел имеет овальную форму независимо от среза.
Рисунок. На УЗИ гипоэхогенные округлые образования похожие на лимфоузлы (1). Датчик развернули на 90°, слева видно гипоэхогенный овальный лимфоузел (красная стрелка), а в справа — продольный срез мышы (желтые стрелки).

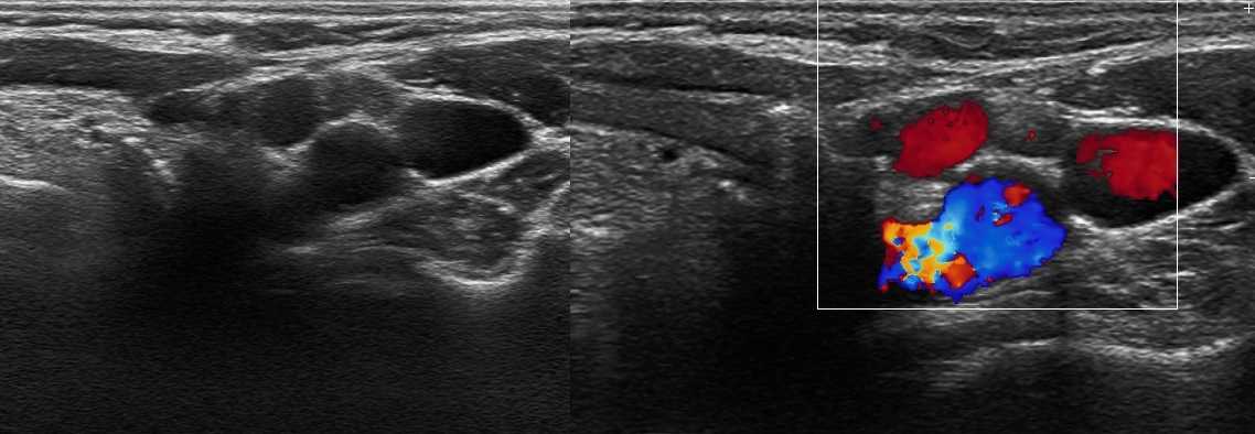
Рисунок. На УЗИ видно гипоэхогенный лимфоузел в окружении трех анэхогенных сосудов. Режим ЦДК подтверждает нашу догадку.

У пожилых часто встречается склероз лимфоузлов — округлые или овальные образования с выраженной гиперэхогенной неоднородной центральной частью и тонким гипоэхогенным ободком, капсула узла может быть видна фрагментарно. Некоторые лимфоузлы срастаются между собой, образуя крупные лентовидные образования.
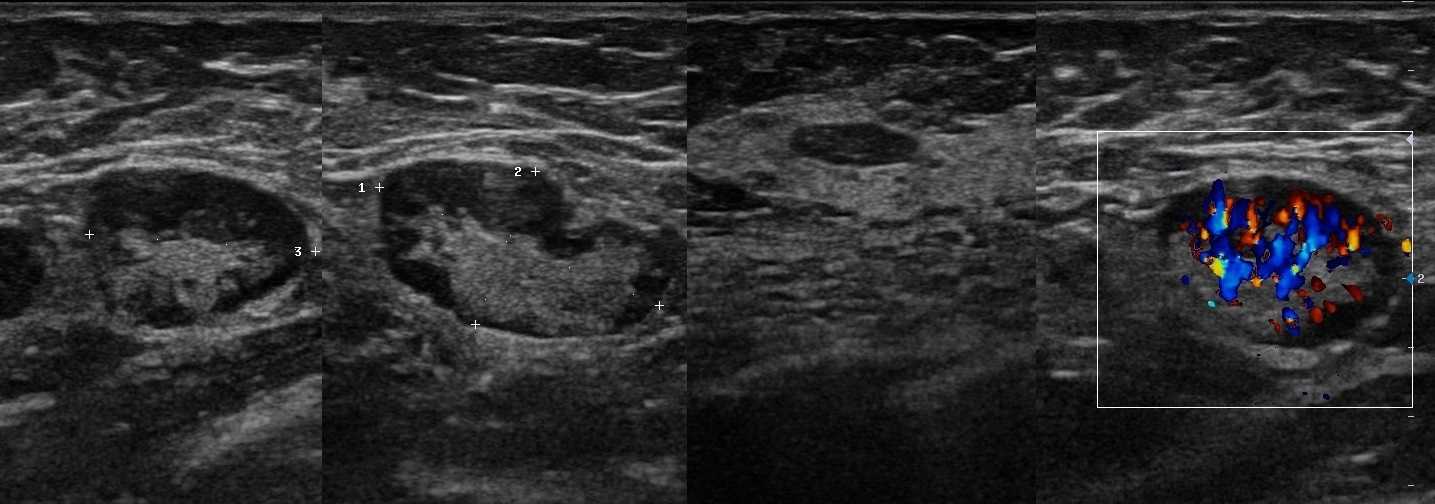
Рисунок. Женщина 65-ти лет с безболезненной «опухолью» в подмышке. На УЗИ определяется округлое образование с четким и ровным контуром, размер 20х10х15 мм; гипоэхогенный ободок по периферии и расширенная гиперэхогенная центральная часть; при ЦДК кровоток в гиперэхогенной зоне. Заключение: Подмышечный лимфоузел с жировой инфильтрацией мозгового вещества и переходной зоны.

Ангиоархитектоника нормального лимфоузла — различают воротную артерию, которая переходит в линейно расположенный сосуд в центральной части. Если сосудистое русло можно проследить до капсулы, а PSV на воротной вене выше 5 см/сек, говорят о высокой степени активности лимфоузла.
Когда назначают УЗИ лимфатических узлов
Лимфатические узлы представляют собой неотъемлемую частью иммунной системы и выполняют функцию естественного фильтра межклеточной жидкости – по окончании фильтрации она становится лимфой и попадает в системное кровяное русло. Лимфоузлы содержат иммунокомпетентные клетки, синтезирующие в ответ на проникновение в человеческий организм чужеродных антигенов специфические белки-иммуноглобулины.
Вполне логично, что узел не может не отреагировать на их наличие. Реакция проявляется в виде лимфаденопатии. Это не конкретное заболевание, а собирательный термин. Лимфаденопатия характеризуется болезненным увеличением лимфоузлов. Хотя болевой синдром здесь – необязательный признак. Иногда увеличенные в размерах, спаянные с окружающими тканями лимфоузлы безболезненны, и это тоже должно внушать тревогу. Ведь в норме лимфоузлы не пальпируются (не прощупываются).
Таким образом, лимфаденопатия в большинстве случаев носит вторичный характер. Ее причинами являются патологические процессы в близлежащих органах и тканях:
- неспецифические бактериальные и вирусные инфекции;
- специфические инфекции – туберкулез, сифилис, многие другие заболевания, передающиеся половым путем;
- неинфекционное воспаление;
- аутоиммунные заболевания – ревматизм, ревматоидный артрит, системная красная волчанка;
- механические повреждения – травмы и предшествующие оперативные вмешательства;
- опухолевые процессы.
В последнем случае в лимфатических узлах формируются метастазы. Хотя опухоли лимфоузлов могут быть первичными. Яркий пример тому – злокачественные опухоли лимфоидной ткани, объединенные в обширную группу лимфом. Зачастую лимфаденопатия сопровождается ухудшением общего состояния пациента, лихорадкой, общей слабостью.
Возможны и другие признаки:
- катаральные явления верхних дыхательных путей;
- боли в грудной клетке;
- кашель;
- диспепсические расстройства с тошнотой, рвотой, диареей;
- затруднения передвижения из-за боли в суставах;
- уретральные и вагинальные выделения.
Клиническая картина здесь может быть разнообразной. Ведь многое зависит от локализации и характера основного заболевания, повлекшего за сбой лимфаденопатию. Негативные изменения могут затрагивать как один узел, так и целую группу лимфатических узлов. Групп регионарных лимфоузлов великое множество. Чаще всего в клинической практике мы сталкиваемся с изменениями подъязычных, шейных, подмышечных и паховых лимфоузлов. Также при острых и хронических заболеваниях желудочно-кишечного тракта, печени, мочевыделительной системы в патологию вовлекаются лимфоузлы брюшной полости и забрюшинного пространства. УЗИ этих групп лимфоузлов также проводится в нашей клинике.
Формы лимфаденита
По продолжительности протекания болезни лимфаденит бывает, как и многие другие заболевания, острым и хроническим, по типу возбудителей инфекций – специфическим и неспецифическим, по прогрессированию – гнойным и негнойным.
Острый лимфаденит характеризуется быстрым прогрессирующим течением болезни, когда симптомы постепенно нарастают, а при соответствующем лечении плавно затихают. Все это происходит за относительно недолгий отрезок времени.
Хронический лимфаденит затягивается надолго, может длиться до нескольких месяцев или даже лет. Обычно эта форма заболевания связана с другими хроническими заболеваниями организма, которые время от времени дают о себе знать.
Неспецифический лимфаденит вызывается различными гноеродными микробами – стафилококками, стрептококками и прочими, а также токсинами, которые они выделяют, и продуктами распада тканей в очаге гнойного процесса.
Специфический лимфаденит бывает при таких заболеваниях, как сифилис, туберкулез, чума и т.д.
При гнойном лимфадените воспаление распространяется на клетчатку, прилежащую к инфицированному узлу, вызывая покраснения и отеки тканей, а также инфильтрат и нагноения в самом узле, которые могут прорываться, при негнойном воспаление не выходит за пределы лимфатического узла.
Реактивный лимфаденит – это не отдельная его форма, как думают многие, а всего лишь название быстрого процесса увеличения воспаленных узлов.
Кому показана биопсия сторожевого лимфоузла?
Биопсия сторожевого лимфатического узла (БСЛУ) для оценки подмышечных лимфатических узлов рекомендована пациентам:
- с ранним раком молочной железы (T1 или T2) с отрицательными лимфатическими узлами, определенными на предоперационном обследовании;
- у пациентов с протоковой карциномой in situ (DCIS) при выполнении мастэктомии.
Эти рекомендации согласуются с рекомендациями Американского общества клинической онкологии (ASCO) от 2014 г, а также рекомендациями NCCN (ассоциация ведущих американских онкологических клиник)
Существуют так называемые «особые случаи», когда решение об объеме оперативного вмешательства на подмышечных лимфоузлах должно приниматься командой врачей разных специальностей.
- Проведение химиотерапии перед операцией:
а) если у пациента перед химиотерапией не было поражения лимфатических узлов, то рекомендовано проведение БСЛУ.
б) если по результатам химиотерапии пораженные лимфатические узлы стали отрицательными, то проведение БСЛУ является обсуждаемым вариантом. В такой ситуации высока вероятность получить недостоверные результаты гистологического исследования. Использование одновременно двух красителей, маркировка пораженного лимфоузла до лечения, удаление 3 и более лимфоузлов повышают точность БСЛУ. - Мультицентричный рак молочной железы (несколько опухолевых узлов в разных частях молочной железы). Не является противопоказанием к биопсии сигнального лимфоузлы. Исследование лимфатического оттока от ткани молочной железы показывают, что лимфа всех областей молочной железы направляется в одни и те же лимфатические узлы.
- Рецидивирующий рак молочной железы при перенесенной биопсии сигнальных лимфоузлов в прошлом. Вопрос спорный, но имеются данные об успешной второй процедуре биопсии сигнального лимфоузла у пациентов, которым была выполнена органосохраняющая операция молочной железы с БСЛУ в прошлом.
- Беременность. Рекомендовано избегать процедуры БСЛУ у беременных из-за отсутствия исследований по безопасности применяемых препаратов для плода. Кроме того, неясно, изменен ли лимфатический отток от ткани молочной железы беременных женщин, что затрудняет идентификацию сторожевого узла.
Паховые лимфоузлы
Расположены узлы на верхнем сегменте бедра, под паховой складкой. Часть в виде цепочки тянется вдоль складки. Другие параллельно вене (сафены) на бедре (на широкой фасции). Расположены симметрично с двух сторон. Паховые лимфоузлы пальпируются в норме всегда. Их обнаруживают круговыми движениями пальцев (маленькие шарики, перекатываются под кожей). Их количество – 3-5, иногда может быть от 10 до 15. Нормальная величина – не более 2 см. На ощупь мягкие, упругие.
К узлам лимфа поступает от ног, ягодиц, брюшной стенки (нижней части), промежности, половых органов.
Воспаленные паховые лимфоузлы набухают, это видно просто при визуальном осмотре. На коже в области узлов видны бугорки. Кожа краснеет. Ощущается боль при надавливании. На ощупь это уже не шарик. Размеры увеличиваются до размера фасоли или даже перепелиного яйца. Увеличенные узлы все равно легко перекатываются под кожей. Но если этого не происходит, то, может быть, в организме развивается онкология.
Воспаление паховых узлов может возникнуть из-за венерических инфекций, аллергии, инфекций, заражения грибком кандида, опухолей, грыжи (паховой или бедренной), кисты, артрита, красной волчанки. Если узлы в паху увеличены, но не болезненны, то это симптом венерического заболевания (сифилис). Воспаленные увеличенные узлы – показатель патологии ног, промежности, ягодиц.
Диагностика патологий
Типичные патологии, которые можно выявить и подтвердить при помощи ультразвукового исследования лимфоузлов в разных местах их локализации:
- Лимфаденит. Классический симптом, указывающий на наличие в организме бактериальных либо вирусных инфекций. Чаще всего обнаруживается в лимфоузлах шейного и подмышечного отделов. На УЗИ шейных лимфоузлов наблюдается равномерное увеличение элементов, их легкая неоднородность с сохранением пропорций толщины и длины. Кроме этого может присутствовать васкуляризация структур с общим увеличением числа сосудов (их нормальная структура не изменяется) и усилением кровотока. В отдельных случаях при затяжном лимфадените высокая вероятность периаденита (переход воспалительного процесса в окружающую клетчатку) с образованием абсцесса;
- Инфекционный мононуклеоз. Это острое вирусное заболевание поражает не только лимфатические узлы во всех возможных локализациях, но также зев, селезенку и печень. На УЗИ группы элементов воспаляются и образуют своеобразные конгломераты, при этом лимфоузлы имеют четкие округлые контуры, классическую гипоэхогенность на периферии с гиперэхогенным центральным рубчиком, они не спаяны, однако кровоток на уровнях «ворот» структур значительно усилен;

- Туберкулёз лимфоузлов. Чаще всего поражаются лимфатические узлы в подмышечных, паховых и шейных локализациях. Патология развивается достаточно медленно, лимфатические узлы вплоть до тяжелых стадий безболезненные. На УЗИ они видны как неоднородные структуры без четких контуров, что связано с воспалительным процессом, проникающим в окружающие ткани. Эхогенность лимфоузлов сегментарная, часто наблюдаются анэхогенные кистозные полости, при этом размер спаянных пакетов элементов может достигать 20 сантиметров;
- Доброкачественный лимфоретикулёз. Часто его обозначают обывательским термином «болезнь кошачьей царапины». Представляет собой острое инфекционное заболевание, возбудителем которого выступает бактерия Бартонелла. Преимущественный путь передачи – укус или царапины кожных покровов кошками, собаками, другими животными. На месте повреждения формируются гнойные образования, при этом воспаляются близлежащие к локализации лимфатические узлы. На УЗИ диагностируются группы элементов округлой формы с плохо определяемым контуром, кровоток в сосудах усилен, корковая и околокорковая зона имеют выраженную гиперплазию;
- Злокачественные опухоли. На УЗИ образуют крупные конгломераты лимфоузлов на затылке, около ушей и в подмышках. Сами элементы имеют большие размеры (до 10-15 сантиметров), округлую форму, нечеткий контур и неоднородную эхогенность (отсутствует гиперэхогенный центральный рубчик, наблюдаются множественные анэхогенные участки). Помимо этого в сторону уменьшения, изменяется показатель разницы длины и толщины узла, центральная часть элемента истончена, рисунок периферии размывается и становится нечетким. При метастазировании эхогенность резко сегментарная – гиперэхогенные включения в виде кальцинатов чередуются с некрозными анэхогенными участками. Также в случаях злокачественных опухолей практически всегда атипичен сосудистый рисунок – линии поддаются сильной васкуляризации, перекручиваются, присутствуют артериовенозные шунты и т.д., а спектральный анализ показывает падение индекса резистентности наряду с параллельным увеличением показателя диастолического параметра;
- Лимфогранулематоз. Локализуется в лимфоузлах шеи, над ключицей, средостенных областях. На УЗИ лимфатические узлы значительно увеличены, имеют круглую или немного овальную форму со слабой гипоэхогенностью без центральной гиперэхогенной части. При этом границы у них четкие, элементы не срастаются между собой и представляют подобие «виноградной грозди» с не разрушенными «капсулами» и типичными для нормального состояния «воротами» и сосудистой составляющей;
- Иные заболевания, синдромы, патологии, так или иначе видимые на УЗИ лимфоузлов как отклонения от основных норм.


























