Выживаемость при разных стадиях

Прогнозы для разных стадий рака легких существенно отличаются, однако даже они не являются эталонными
Для каждого случая особое внимание уделяется индивидуальным особенностям организма человека. Прогнозы для каждой стадии рака следующие:
- Для первой стадии патологии характерно увеличение опухоли до размеров в 3 см. При этом отсутствуют какие-либо симптомы, за исключением периодического кашля. Обычно рак если и выявляется на 1 стадии, то совершенно случайно, при прохождении флюорографии. Если своевременно выявлена патология, и начато лечение, то выживаемость составляет до 80% с порогом свыше 10 лет.
- Для второй стадии характерно увеличение размеров опухоли до 6 см. Изредка уместно возникновение метастаз, однако своевременное вмешательство позволяет достичь результатов в 45%.
- Для третьей стадии характерно увеличение новообразования до 7-8 см. Однако при этом начинает активный процесс метастазирования опухоли. При немелкоклеточной форме рака выживаемость не превышает 23%, а при мелкоклеточном – 10-12%.
- Для четвертой стадии характерно поражение метастазами внутренних органов и систем. Последняя стадия онкологии относится к практически несовместимым с жизнью патологиям.
Лечение онкологии на 4 стадии является неэффективным. Если при 2-3 стадии вырезают участок легких, то на 4 стадии такие процедуры не принесут положительного результата. Мало того, если удалить легкое на 4 стадии, то все равно метастазы приведут к полному поражению организма.
В завершении следует отметить, что рак легких представляет собой тяжелый недуг, но при этом важно никогда не сдаваться. Чтобы не допустить серьезных осложнений, нужно регулярно проходить медицинские обследования
Особенно это важно для людей в возрасте старше 40 лет. Если все же патология выявлена, то нужно прибегнуть к его излечению как можно скорее.
Факторы риска рака легких
- Главная причина развития рака легких — вдыхание канцерогенов. Около 90% всех случаев заболеваний связано с курением, точнее с действием канцерогенов, содержащихся в табачном дыме. При выкуривании двух и более пачек сигарет в день вероятность рака легких возрастает в 25—125 раз.
- К раку легких имеет самое непосредственное отношение загрязнение атмосферы. Например, в индустриальных районах с горнодобывающей и перерабатывающей промышленностью люди болеют в 3—4 раза чаще, чем в глухих деревушках.
- Контакт с асбестом, радоном, мышьяком, никелем, кадмием, хромом, хлорметиловым эфиром.
- Радиоактивное облучение.
- Застарелые болезни легких: пневмония, туберкулез.
Фото: chayanuphol / freepik.com
Диагностика рака легкого
Рентгеновский снимок грудной клетки с опухолью в легком. Фото: James Heilman, MD / (CC BY-SA 3.0)
Известный способ выявить рак легких — сделать рентгенографию легких. Однако этот способ не всегда эффективен на ранних стадиях заболевания, когда опухоль очень мала, или при нетипичном ее расположении.
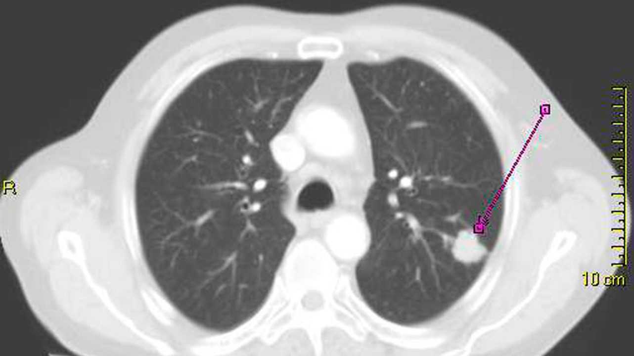
Для постановки диагноза может потребоваться проведение компьютерной томографии (КТ) или магнитно-резонансной томографии (МРТ) легкого.
Снимок КТ с опухолью в легком. Фото: Lange123 / (CC BY-SA 3.0)
Самые современные методы диагностики применяются на ранних стадиях процесса для уточнения диагноза и включают:
- Многослойную спиральную компьютерную томографию, которая позволяет обнаружить опухоли до 1-3 мм
- Позитронно-эмиссионную томографию в сочетании с компьютерной томографией (ПЭТ-КТ), минимальные размеры выявляемой опухоли 5-7 мм.
Для уточнения диагноза применяют эндоскопическую бронхографию, которая позволяет выяснить расположение опухоли и ее размеры, а также сделать биопсию — взять кусочек ткани для цитологического исследования.
Статистика
Бронхогенный рак в развитых странах является одной из наиболее часто встречающихся злокачественных опухолей и самой распространенной причиной смерти среди всех онкологических диагнозов.
У мужчин рак легкого встречается в 3-10 раз чаще, чем у женщин. В России в структуре онкологической заболеваемости у мужчин бронхиальный рак давно и прочно занимает первое место (17,6% по данным 2016 года), в общей структуре (среди обоих полов) – третье (10,1%).
Увеличение частоты заболевания отмечается с возрастом.
Диагноз рак легких 4 стадия выставляется в 34% случаев от впервые выявленных злокачественных опухолей данной локализации.
Продолжительность жизни в зависимости от стадии заболевания
Важным фактором при определении срока жизни является установление стадии рака легких:
- При первой стадии размеры новообразований не превышают 3 см. Симптомы могут быть незаметными, а частый кашель, одышка и осиплость голоса часто остаются без внимания заболевшего. Для этой стадии характерно случайное обнаружение очагов раковых новообразований. Оперативное лечение позволяет 80% людей достигнуть 10 летнего порога жизни. После проведения оперативного лечения по удалению легкого или его части данный показатель поднимается до 92%.
- На второй стадии опухоль вырастает до 5 – 6 см. Может возникнуть частичное распространение метастаз в лимфоузлы. На данной стадии своевременное проведение операции или химиотерапии позволяют зафиксировать 48% порог выживаемости.
- На третьей стадии опухоль достигает 6 см. Начинается активный прогрессирующий процесс метастаз в сердце и многие другие органы. 23% выживаемость характерна для немелкоклеточного рака, мелкоклеточная форма говорит о 12% пороге этого показателя.
- На четвертой стадии поражаются другие органы и опухоль распространяется за пределы легкого. Данная стадия не совместима с жизнью. Больно может прожить всего пару месяцев, реже 3 — 4 месяца.
На последней стадии болезни лечение проводить бесполезно. Бессильными оказываются любые старания профессионалов, основанные на передовых технологиях. В организме неминуемо происходят необратимые патологические процессы.
Источники
- Canals D. Peeking inside the sphingolipid network in lung cancer. // EBioMedicine — 2021 — Vol67 — NNULL — p.103340; PMID:33906068
- Shi M., Ma J., Feng M., Liang L., Chen H., Wang T., Xie Z. Novel MET exon 14 skipping analogs characterized in non-small cell lung cancer patients: A case study. // Cancer Genet — 2021 — Vol256-257 — NNULL — p.62-67; PMID:33905998
- Ponce Aix S., Novello S., Garon EB., Nakagawa K., Nadal E., Moro-Sibilot D., Alonso Garcia M., Fabre E., Frimodt-Moller B., Zimmermann AH., Visseren-Grul CM., Reck M. RELAY, ramucirumab plus erlotinib versus placebo plus erlotinib in patients with untreated, EGFR-mutated, metastatic non-small cell lung cancer: Europe/United States subset analysis. // Cancer Treat Res Commun — 2021 — Vol27 — NNULL — p.100378; PMID:33905962
- Butler SS., Mahal BA., Moslehi JJ., Nohria A., Dee EC., Makkar R., Whitbeck A., Wangoe J., Mouw KW., Nguyen PL., Muralidhar V. Risk of cardiovascular mortality with androgen deprivation therapy in prostate cancer: A secondary analysis of the Prostate, Lung, Colorectal, and Ovarian (PLCO) Randomized Controlled Trial. // Cancer — 2021 — Vol — NNULL — p.; PMID:33905530
- Nie X., Zhang P., Cheng G., Wu XN., Li L. Survival analysis for older patients with epidermal growth factor receptor mutation-positive advanced non-small cell lung cancer after progression of first-line gefitinib. // Asia Pac J Clin Oncol — 2021 — Vol — NNULL — p.; PMID:33904654
- Du Z., Niu S., Wang J., Wu J., Li S., Yi X. SChLAP1 contributes to non-small cell lung cancer cell progression and immune evasion through regulating the AUF1/PD-L1 axis. // Autoimmunity — 2021 — Vol — NNULL — p.1-9; PMID:33904361
- Sarlinova M., Baranovicova E., Michaela M., Dzian A., Petras M., Lehotsky J., Kalenska D., Racay P., Tatiana T., Erika E. Metabolomic profiling of blood plasma of patients with lung cancer and malignant tumors with metastasis in the lungs showed similar features and promising statistical discrimination against controls. // Neoplasma — 2021 — Vol — NNULL — p.; PMID:33904314
- Desai A., Prasad V. Low-Dose Computed Tomographic Screening for Lung Cancer: Time to Implement or Unresolved Questions? // J Gen Intern Med — 2021 — Vol — NNULL — p.; PMID:33904047
- Adeoye PO., Desalu OO., Ofoegbu CKP., Fawibe AE., Salami AK., Akanbi OR., Opeyemi CM., Ibrahim OOK., Ojuawo OB., Aladesanmi AO., Olaoye I. Clinicopathological Pattern and Management of Primary Lung Cancer in Ilorin, Nigeria. // West Afr J Med — 2021 — Vol38 — N4 — p.380-386; PMID:33903683
- Nasr E., MacRae S., Dobson M., Russell D., Bittar M. A rare condition masquerading as lung cancer. // Thorax — 2021 — Vol — NNULL — p.; PMID:33903186
Симптомы и основные признаки
Начальная стадия, как уже упоминалось ранее, не отличается большим количеством симптомов. При этом рак легкого иногда может выражаться наличием:
- рефлекторного сухого кашля, который и в некоторых случаях делается надсадным;
- потери аппетита и снижение вкусовых ощущений;
- незначительных и коротких болей в области груди;
- периодического повышения температуры тела;
- плохой работы иммунной системы, бессилия и общей слабости;
- резкого уменьшения веса;
- гипергидроза (чрезмерного выделения пота);
- постоянных перепадов настроения, стрессов, частых депрессивных состояний;
- одышки, которая может появляться даже при небольшой двигательной активности и физической нагрузке.
Принимая во внимание представленные симптомы и скорость их образования, при наличии схожих признаков необходимо безотлагательно посетить специалиста
Что собой представляет рак легкого?
При раке легкого возникают злокачественные опухоли, развивающиеся из слизистых оболочек, желез легких или же бронха. Развитие заболевания неодинаково при образованиях разнообразной гистологической структуры. При дифференцированном раке свойственно медлительное протекание, в то время как недифференцированный развивается стремительно и вызывает многочисленные метастазы. Сейчас раковые опухоли в легких среди всей онкологии занимают первое место. Как указывает статистика, эта болезнь поражает мужчин в 8 раз чаще, нежели представительниц слабого пола. Чем больше возраст, тем выше уровень частоты заболеваний.
Наиболее агрессивным протеканием характеризуется мелкоклеточный рак легкого:
- скорое и скрытое развитие;
- плохой прогноз для пациента;
- ранее метастазирование.
Если говорить о локализации, то образование чаще встречается в правом легком – 52% случаев, в то время как левое легкое имеет новообразования в 48% зарегистрированных случаях. В основной группе больных находятся мужчины в возрасте 50-80 лет, которые длительное время курят, данная категория составляет 60-70% всех зарегистрированных случаев, при этом смертность равна 70-90%. Как указывают некоторые исследования, поражение раком легких зависит от возрастных показателей:
- моложе 45-летнего возраста – порядка 10% случаев;
- возрастные рамки 46-60 лет – 52% больных;
- возраст в пределах 61-75 лет встречается у 38%.
Ранее раком легкого болели зачастую мужчины. Сейчас данное заболевание начинает более часто встречаться среди женщин. Также снижается возраст первичного обнаружения опухоли.
Обезболивание
Самое главное лечение на последней стадии — это улучшить жизнь самого больного и избавить его от невыносимых болей, так как злокачественные ткани метастазируют уже во все органы, то боли могут быть практически везде: в груди, животе, костях, мышцах, плюс сильные головные боли из-за интоксикации.
Врачи назначают пероральные анальгетики, которые могут избавить от многих болевых симптомов. Также используют и нестероидные противовоспалительные препараты или опиаты, для снижения температуры и уменьшения воспалительных процессов рядом с опухолью.
Если больной чувствует мнимую боль, то ему назначают противоэпилептические препараты, антидепрессанты. Трамадол, Кодеин уже не помогут на 4 стадии, так как боли слишком сильные, но на 2 или 3 они отлично справляются.

Если у больного очень сильные боли, которые он не может терпеть, то назначают Морфин, Метадон, Оксиморфин — это сильные наркотические опиоидные обезболивающие. Но просто так больному их не выдадут и обычно врачи-онкологи проводят совещание, а потом выдвигают решение, давать наркотические обезболивающие или нет.
Дело в том, что они имеют сильные побочные эффекты, которые могут ухудшить терапию. При сильных головных болях или повышение внутричерепного давления назначают кортикостероиды.
Лечение рака легкого 4-й стадии
Применяемые методы лечения зависят от гистологического типа опухоли и результатов молекулярно-генетического исследования, а также от соматического статуса больного.
Лечение немелкоклеточного рака (НМРЛ)
- Цитостатические препараты. При удовлетворительном состоянии применяются двухкомпонентные схемы, 4-6 курсов с перерывами 2-3 недели. Химиотерапия достоверно уменьшает симптомы заболевания, и увеличивает продолжительность жизни. У пожилых ослабленных больных проводится терапия одним препаратом. При химиотерапии применяются препараты платины, этопозид, винорельбин, пеметрексед, гемцитабин и другие.
- Таргетная терапия. Это молекулярно-направленное воздействие на молекулы, которые индуцируют размножение раковых клеток. Назначается тем пациентам, у которых выявлена мутация рецептора эпидермального фактора роста EGFR(диагностируется у 15% больных НМРЛ) или транслокацией гена ALK (бывает в 5% случаев). Таргетная терапия при мутациях EGFR может назначаться как первый этап лечения, или же в сочетании с химиотерапией. Таргетные препараты не вызывают тех токсических эффектов, которые оказывают цитостатики, поэтому такое лечение может быть назначены ослабленным больным и продолжаться непрерывно в течение всей жизни. Это такие препараты, как гефитиниб, эрлотиниб, кризотиниб.
- Лучевая терапия. Применяется как паллиативный метод для локального контроля размеров опухоли, при выраженном болевом синдроме, для уменьшения размеров метастазов (наиболее часто применяется облучение головного мозга).
- При опухолевых очагах в костях – назначаются бисфосфонаты.
Лечение мелкоклеточного рака (МРЛ)
- Химиотерапия.
- Паллиативная лучевая терапия.
- Таргетная терапия при МРЛ не разработана. Но мелкоклеточный рак наиболее чувствителен к химиопрепаратам, поэтому удается на длительное время стабилизировать опухолевый рост.
Метастазы мелкоклеточного рака легкого в мозг: до и после лечения (Китай)
Какие существуют виды рака легких?
Чтобы определить прогноз и подходящее лечение, врач должен знать гистологическое строение образования. Более детально диагностировать рак легких позволит биопсия. Она может проводиться на бронхах или легких, во время процедуры берется небольшой фрагмент тканей. В зависимости от вида злокачественных клеток, могут обнаружиться следующие виды рака:
- крупноклеточный;
- мелкоклеточный;
- железисто-плоскоклеточный рак легкого;
- опухоль в бронхиальных железах;
- эпидермальный или плоскоклеточный;
- аденокарцинома легких.
Могут встречаться и прочие виды рака, более редкие формы, всего разновидностей заболевания не меньше 20. В одной опухоли может содержаться несколько видов клеток. Если в легких есть метастазы, то их клетки будет иметь такой же вид, что и клетки материнского новообразования. В 40% больных встречаются опухоли в виде аденокарциномы, образующиеся из клеток, которые вырабатывают слизь. Зачастую с данным раком легких сталкиваются курильщики, или люди, у которых ранее была эта вредная привычка. Но даже у некурящих людей это самая распространенная форма опухоли. Также она довольно часто встречается у молодых людей.
Аденокарцинома является достаточно медленно растущей злокачественной опухолью. Шансы диагностики на ранней стадии довольно высокие, но это индивидуально для каждого. У некоторых больных данному раку характерно агрессивное развитие.
Причины
- Генетика и наследственность. У детей, чьи родители болели этим заболеванием, шанс заболеть выше.
- Вирусы и болезни. Некоторые вирусы могут проникать в клетки и менять структуру ДНК, на хромосомном уровне. Из-за чего они и мутируют. К примеру — туберкулез или туберкулезный плеврит, который стал наиболее редким в последнее время, может привести к раковому образованию.
- Курение. Самый главный фактор. В дыме содержится очень много опасных реагентов, которые могут повлиять на мутацию клеток.
- Работа с химическими веществами. Если человек работает в металлургии, лаборатории, с нефтяными изделиями, пластиком, бензином и периодически вдыхает ядовитые испарения, то его уже можно отнести в группу риска.
- ВИЧ. Вообще любое ослабление иммунитета является опасным фактором для появления любого ракового новообразования.
Диагностика заболевания

Для того чтобы сохранить жизнь и не допустить образования дальнейших осложнений, необходимо провести диагностику. Наиболее известным методом диагностики считается флюорография. Эта процедура поможет точно и достоверно определить возникновение патологии на ранней стадии.
Другое обследование, которое желательно производить при любых подозрениях, считается рентгенография легочной области. Врачи рекомендуют проводить выполнение боковой и прямой проекции для того, чтобы диагноз был максимально подробным и точным. Далее диагностирование включает в себя бронхоскопию. Этот метод обследования помогает точно определить раковое новообразование и применить для процедуры биопсии только его малую часть.
Также, обязательной частью диагностики считается анализ на мокроту. В данном случае, слизистые выделения, которые появляются во время откашливания, тщательно изучаются. Наличие измененных клеток или агентов предполагает образование злокачественной опухоли в легких.
Еще одним видом диагностики, который необходимо осуществлять в случаях подозрения на рак легких, считается компьютерная томография.
Все вышеперечисленные методы позволяют точно диагностировать патологические изменения в легких и назначить правильное и максимально эффективное лечение.
Подробнее о причинах смерти
Совокупность таких состояний, как сильнейший болевой синдром, тяжелая интоксикация организма продуктами жизнедеятельности опухоли, истощение, сама по себе не приводит к смерти. Однако эти симптомы усугубляют течение заболевания, снижают резистентность организма человека, забирают жизненные силы, что в конечном итоге ускоряет наступление летального исхода.
Смерть же наступает непосредственно от легочного кровотечения тяжелой степени, дыхательной недостаточности и метастазирования опухоли.
Смерть от легочного кровотечения
По мере своего роста опухоль может прорастать в стенки кровеносных сосудов, которых в ткани легкого несколько десятков. Среди них есть и крупные сосуды, при повреждении которых развиваются массивные кровотечения. Кровотечения из легочных сосудов очень сложно остановить. При неоказании помощи человек погибает через 5 минут после начала симптомов кровотечения.
Заподозрить повреждение сосудистой стенки можно при появлении кровохарканья. Наличие даже мелких прожилок крови в мокроте говорит о том, что через некоторое время, когда стенка сосуда полностью разрушится, разовьется обильное кровотечение.
Кровотечения из мелких сосудов могут имитировать симптомы желудочно-кишечного кровотечения, а в результате неправильного лечения также наступает смерть.
Смерть от дыхательной недостаточности
Опухоль растет и постепенно перекрывает просвет бронхов, а иногда и трахеи. В этом случае развиваются симптомы дыхательной недостаточности. Естественно, что проявления ее не сразу приводят к смерти. Начинается все с затруднения дыхания, появления одышки, которая постепенно нарастает. Затем появляются приступы удушья, возникающие в любое время суток.
При полном перекрытии просвета бронхов дыхание становится невозможным. Однако к такому состоянию можно подготовиться и заранее обеспечить необходимые меры: неоказание экстренной помощи приведет к тому, что человек умрет в течение получаса.
Тоже тот случай, когда смерть наступает постепенно. К сожалению, помочь человеку при этом не представляется возможным. Отдаленные метастазы неоперабельны, более того, если их удалять, они начнут появляться еще быстрее и захватывать другие органы.
Самыми опасными являются метастазы в головной мозг. Локализация вторичной опухоли в области центров регуляции жизненно важных функций организма приводит к неизбежной смерти.
Метастазы других локализаций также ускоряют наступление летального исхода тем, что нарушают функции органов, вызывают сильные боли. Особенно это присуще метастазам мелкоклеточного рака.
Лечение рака легкого
Лечением больных с раком легкого занимается врач-онколог. Он выбирает метод в зависимости от стадии рака, вида злокачественных клеток, особенностей опухоли, наличия метастазов и т п.
Для этого следует установить не только тип рака, его морфологию, но и в некоторых случаях (для немелкоклеточного рака легкого) выявить генетические особенности опухоли (наличие или отсутствие определенных генных мутаций: например, мутации гена EGFR).
Обычно для избавления пациента от болезни сочетают сразу три метода: хирургический, лекарственный и лучевой.
Хирургическое лечение рака легкого предполагает удаление опухоли вместе с частью легкого, при необходимости одновременно убирают и поврежденные лимфоузлы.
Химиотерапия подразумевает внутривенное введение препаратов, подавляющих рост опухолевых клеток. Лучевая терапия – воздействие на опухоль радиоизлучением.
При некоторых формах рака (мелкоклеточном) применяют только химиотерапию. Химиотерапию могут проводить перед операцией с целью уменьшения размера опухоли. При этом химиотерапия оказывает токсическое действие на весь организм, вызывая побочные эффекты.
Именно поэтому постоянно проводят научные исследования и появляются новые методы лечения, включая гормональную терапию, таргетную иммунотерапию. Таргетные препараты легче переносятся больными, так как воздействуют только на клетки опухоли.
Успех лечения зависит от возраста пациента и правильности подбора терапии. Если лечение было начато на ранних стадиях болезни, у 45-60% пациентов есть шанс полностью выздороветь. Если болезнь обнаружили слишком поздно, когда уже появились метастазы, гарантий нет никаких.
Симптомы
На ранних стадиях рак легкого может протекать бессимптомно. Проявления если и есть, то они неспецифичны:
- Длительный непроходящий кашель. Более характерен для центрального рака: сначала сухой, навязчивый, в дальнейшем он может быть с мокротой, с прожилками крови.
- Одышка. Также чаще сопровождает центральный рак, обусловлена нарушением проходимости дыхательных путей. Чем больше калибр сдавливаемого бронха, тем выраженней одышка. При развитии плеврита ощущение нехватки воздуха выражено сильнее.
- Кровохарканье. Это уже поздний признак, который сразу пугает больного и заставляет обратиться к врачу.
- Общие симптомы интоксикации, обусловленные метаболизмом опухоли: слабость, недомогание, потеря аппетита, тошнота, быстрая утомляемость, субфебрильная температура тела.
- Паранеопластические синдромы. Они объясняются действием биологически активных веществ, которые вырабатывает опухоль. Могут наблюдаться тромбофлебиты, артриты, миозиты, васкулиты, нейропатии, дерматиты, кожный зуд, анемия, тромбоцитопения, синдром Кушинга.
- Канкрозное воспаление. Может протекать как обычная пневмония, с улучшением от лечения антибиотиками, но без полного разрешения на рентгенограмме.
- Боль в грудной клетке. Появляется при прорастании опухоли в висцеральную плевру.
- Осиплость голоса при поражении возвратного нерва.
- Отек лица, шеи, рук при сдавлении верхней полой вены.
- Симптомы со стороны органов, пораженных метастазами. При наличии массивного опухолевого роста в печени — желтуха, асцит, отеки ног. При поражении мозга – головные боли, головокружения, потери сознания, судороги, параличи. Если отдаленные очаги локализуются в костях, пациента мучают сильные боли в опорно-двигательном аппарате. Также часты патологические переломы – нарушения целостности костей в области расположения опухолевой ткани при минимальной физической нагрузке.
Характерные особенности
Отсутствие явных признаков расстройств деятельности дыхательной системы существенно затрудняет адекватную диагностику рака легких 4 стадии – пациентом слабость и малопродуктивный кашель воспринимаются, как симптомы иных легочных патологий, к примеру, хронического бронхита.
Изменения в органах человека в этом случае практически не обратимы – последняя стадия рака легких для многих больных звучит, как смертельный приговор. Все симптомы рака, присущие именно 4 стадии заболевания, можно подразделить на общие, взаимосвязанные с раковой интоксикацией, и специфические, появившиеся именно из-за метастазирования.
Общие проявления рака легкого:
- нехарактерная ранее слабость и крайне быстрая утомляемость;
- ознобы и беспричинное колебание температуры;
- депрессивные расстройства и апатия;
- необоснованная утрата аппетита и быстрое понижение массы тела.
Рак легких 4 стадии имеет и специфические проявления – дыхательные расстройства. На 2-3 этапе формирования патологии они не столь показательны, но к моменту выхода метастазов в иных органы, степень их интенсивности такова, что постановка адекватного диагноза не вызывает у специалистов затруднений.
Специфические симптомы:
- Малопродуктивный кашель – имеет надсадный, мучительный характер, беспокоит пациента в горизонтальном положении. Легочный периферический вариант патологии и вовсе может протекать без кашля.
- Болевой синдром отличается вариабельностью проявлений – от локальных и маловыраженных, при нижнедолевой локализации. До нестерпимых ощущений – сильные боли отличают верхушечный вариант 4 стадии рака.
- Прогрессирующая одышка – захват опухолевым процессом все большего количества паренхимы органа провоцирует затруднение с дыхательной деятельностью у пациентов. Часто комбинируется с расстройством в сердечнососудистой системе – приступы стенокардии напряжения, что еще более усугубляет положение, продолжительность жизни сокращается.
- Кровохарканье – выделяемая при кашле мокрота может быть окрашена лишь в едва заметный розовый цвет в начале появления заболевания, в дальнейшем, когда наблюдается финальный этап патологии, она напоминает «ягодное желе». При прорастании опухоли в крупный сосуд у пациента остро возникает массивное легочное кровотечение, вплоть до летального исхода.
Симптомы, сопровождающие метастазирование онкопроцесса, напрямую зависят от его локализации. При переносе с током крови раковых клеток в головной мозг, пациента будут беспокоить приступы эпилепсии, судорог, расстройство зрительной, двигательной деятельности.
Сколько можно прожить с раком легких
Если выявить рак легких на начальной стадии, то своевременное оказание помощи позволит пролонгировать жизнь человеку на срок более 10 лет. На второй стадии онкологии благоприятный прогноз только для 70% больных
Вторая стадия не имеет признаков возникновения метастазов, поэтому очень важно своевременно вмешаться, и оказать соответствующую помощь. Продолжительность жизни при диагнозе рак легких 3 стадии в среднем составляет 5 лет для 25% людей после операции
На 4 стадии выживаемость крайне низкая, так как ее опасность заключается в активности метастазирования. Помочь человеку излечить онкологию на 4 стадии невозможно, поэтому на данном этапе самая высокая смертность. Обычно на запущенной стадии рака легких человеку удается прожить не более 3 месяцев.
Существует три формы рака легких:
- Мелкоклеточная.
- Немелкоклеточная.
- Периферическая.
Рассмотрим эти формы онкологических заболеваний более подробно.
Мелкоклеточная форма
Мелкоклеточная форма зачастую встречается у курильщиков. Она представляет собой агрессивный вид заболеваний, в результате которого наблюдается быстрое распространение метастаз. Курение – это самая распространенная причина возникновения данной патологии, именно поэтому рак легких диагностируют в 95% случаев у людей, которые имеют серьезный стаж с этой вредной привычкой.
Чтобы излечить патологию с мелкоклеточной формой на ранней стадии развития, требуется воспользоваться химическими препаратами и лучевой терапией. Однако стоит помнить, что не во всех случаях химиотерапия и лучевая терапия помогают достичь положительного результата. Иногда на химиотерапевтическое лечение онкология никак не реагирует.
Часто для облегчения состояния больного на завершающих стадиях прибегают к проведению паллиативного лечения. Такое лечение основывается на таких методиках:
- Обезболивание.
- Насыщение клеток и тканей организма кислородом.
- Операция по облегчению состояния пациента.
Мелкоклеточная форма рака легких является одной из наиболее опасных, поэтому длительность жизни пациентов не превышает 4-5 месяцев. Причинами скорой смерти являются признаки возникновения вторичных опухолей.
Немелкоклеточная форма
Немелкоклеточная форма встречается намного чаще, чем предыдущий тип. Такая форма, в свою очередь, подразделяется на такие виды:
- Плоскоклеточный рак. Выживаемость зависит от степени поражения органа, и обычно на третьей стадии выживаемость из 100 человек составляет только 20.
- Крупноклеточный рак. Такая форма диагностируется крайне редко. Основным симптомом крупноклеточной формы рака являются кашель. Кашель, как правило, возникает еще на первой стадии, и с течением времени только обостряется. Если метастазы еще не успели распространиться, то выполняется хирургическая операция. В 85% случаев поздняя стадия рака приводит к летальным исходам.
- Аденокарцинома. Рак немелкоклеточного типа, который встречается довольно часто. Если патология осложняется заражением лимфоузлов, то это приводит к смерти пациента в течение 1 года. Карцинома последней стадии не подлежит излечению, так как это попросту бесполезное занятие.
Периферическая форма
Еще одна опасная форма рака легкого. Опасность такой формы заключается в том, что на начальных стадиях ее диагностировать практически невозможно. Заболевание имеет много общего по симптоматике с иными недугами дыхательных путей.
Для выявления локализации опухоли прибегают к проведению диагностики. Зачастую встречается периферийный рак легкого, затрагивающий верхнюю часть органа. Для диагностирования применяются такие методики, как рентген, КТ, МРТ и биопсия. Потребуется также сдать анализ крови, что позволит выявить наличие патологии в крови.
Формирование метастазов
РЛ растет из эпителия слизистой оболочки. Далее он прорастает в стенку бронха, в плевру, сосуды. С током лимфы раковые клетки попадают в лимфоузлы, расположенные вокруг бронхов, в медиастинальные, в надключичные и шейные (это лимфогенное метастазирование), в другие участки легкого. Опухоль может прорастать соседние органы, сдавливать их, распространиться на грудную стенку.
При попадании раковых клеток в кровеносное русло, они разносятся по всему организму и формируются отсевы в других органах (это гематогенный путь метастазирования). Рак легкого чаще всего метастазирует в печень, кости, головной мозг, надпочечники, почки, реже – в другие органы.
Существует единая международная классификация злокачественных новообразований по системе TNM. Т- распространение первичного очага, N — поражение регионарных (близлежащих) лимфоузлов, М –наличие отдаленных метастазов.
Четвертая стадия рака легкого характеризуется сочетанием любого индекса Т и N, но с наличием отдаленных опухолевых отсевов, то есть М1. М1 считаются не только очаги в другие органы, но и в плевру или перикард.
4 стадия рака считается неоперабельной и, по сути, терминальной. Но это не значит, что ее не лечат. Правильно подобранная химиотерапия, лучевая терапия, а также новые методы иммунотерапии, включая молекулярно-таргетные препараты, позволяют замедлить рост опухоли, уменьшить существующие очаги, предупредить развитие новых метастазов и в результате – продлить жизнь такому пациенту.


























