Диагностика
Диагноз инфильтративный туберкулез легких ставят, принимая во внимание особенности его развития. Но поскольку подавляющее большинство больных не только не замечает начальных признаков патологии, но и игнорирует возникающие позднее, они поздно обращаются за медицинской помощью
Чаще всего это происходит при появлении наиболее специфичного клинического проявления – кровохарканья. Это требует тщательного изучения анамнеза, выявления возможных контактов с больными.
Поэтому первым этапом диагностики традиционно является сбор анамнеза и оценка имеющейся симптоматики. После этого переходят к осмотру. В рамках него применяются методы аускультации и перкуссии. Но на стадии бронхолобулярного и округлого инфильтрата они не эффективны. Первые слышимые изменения возникают при формировании облаковидного инфильтрата и перисциссурите. Это:
- укорочение легочного звука над пораженным участком;
- малочисленные влажные мелкопузырчатые, среднепузырчатые хрипы;
- усиление голосового дрожания;
- везикобронхиальное дыхание.

Грубые изменения при перкуссии и аускультации характерны для лобита. Но отсутствие выраженных изменений на начальных стадиях развития патологического процесса является патогномоничным признаком туберкулеза. Уже давно фтизиатры установили, что при туберкулезе легких «мало слышно».
Поэтому диагностику обязательно дополняют пробами с туберкулином, в частности пробой Манту:
- при бронхолобулярном и круглом инфильтрате она в основном положительная, но наблюдается только небольшая гиперемия;
- при облаковидном инфильтрате, начале лобита реакция гиперергическая, т. е. присутствует папула или зона гиперемии значительно превосходит 10 мм;
- при казеозной пневмонии возможна отрицательная реакция на туберкулин.
Определяющее значение отводится бактериологическому исследованию мокроты, люминесцентной микроскопии и посеву на питательные среды. Это позволяет обнаружить микобактерии в биологическом образце даже при его незначительном объеме. Выраженность бацилловыделения напрямую зависит от клинико-рентгенологической формы болезни. Она особенно интенсивна при облаковидном и лобарном инфильтрате. При посеве на питательные среды, т. е
культуральном исследовании, дополнительно удается определить чувствительность микобактерий к различным препаратам, что крайне важно для подбора оптимальной схемы лечения
Всем пациентам назначаются:
- ОАК (характерно повышение уровня лейкоцитов, лимфопения, моноцитоз, повышение СОЭ);
- ОАМ (обнаруживается белок, гиалиновые цилиндры, что часто сопровождает состояние интоксикации в целом);
- биохимический анализ крови.
Обследование обязательно дополняют рентгенологическим исследованием. Оно позволяет точно установить клинико-рентгенологическую форму заболевания, а также уточнить особенности туберкулезного поражения. При необходимости дополнительно проводят КТ. Этот метод позволяет более детально изучить особенности протекания патологического процесса и устранить сомнения о его природе.

Если в ходе обследования выявлен очаг деструкции, показано проведение бронхобиопсии. Крайне редко ее применяют для получения образцов для культурального исследования.
Дифференциальная диагностика
Дифференциальная диагностика инфильтративного туберкулеза в основном осуществляется с:
- неспецифической пневмонией;
- периферическим раком легкого;
- ателектазом легкого, осложненного пневмонией;
- эозинофильным инфильтратом;
- пневмомикозом.
При этом обязательно учитывают характерные признаки, свойственные именно инфильтративной форме туберкулезной инфекции:
- давнее заражение микобактериями, в том числе с сохранением остаточных посттуберкулезных изменений (кальцинированных очагов, фиброза, петрификатов);
- неоднородная тень инфильтрата на рентгенограмме, наличие «дорожки» к корню пораженного легкого (например, при инфильтративном туберкулезе правого легкого она будет простираться по направлению к корню правого легкого);
- присутствие в легких очагов лимфогенного и бронхогенного обсеменения;
- меньшая скорость прогрессирования по сравнению с бактериальной или вирусной пневмонией, но большая, чем при опухолевых поражениях и микозах.
Огромное значение в дифференциации туберкулеза от других заболеваний, способных сопровождаться схожими клиническими и рентгенологическими признаками, принадлежит бактериологическому исследованию мокроты или смывов с бронхов. При необходимости проводят бронхоскопию, гораздо реже выполняют биопсию подозрительного участка.

Профилактика
Достаточно важное значение имеет профилактика ателектаза. При бронхитах, у людей, у которых имеется основание предполагать склонность к развитию ателектаза лёгкого, следует заботиться о возможно лучшем отхаркивании скапливающейся мокроты
При процессах, уменьшающих вместимость грудной полости, часто нет возможности предупредить развитие ателектаза; но там, где это возможно, например, при выпотном плеврите, следует устранить давление на лёгкое, чтобы предупредить ателектаз.
Важно также заботиться о том, чтобы больные, особенно находящиеся в коме или бессознательном состоянии, не лежали долго на одном боку или на спине. Больных, которые дышат поверхностно, или у которых по другим причинам имеется склонность к ателектазу, следует заставлять часто в течение дня несколько раз подряд глубоко вдыхать и выдыхать в сидячем положении, для того чтобы таким образом устранить в не вентилируемых и содержащих меньше воздуха частях лёгких слипание между собой стенок бронхов, а в том случае, если это уже произошло, способствовать их раздвиганию
Классификация
В пульмонологии выделяют большое количество разновидностей такой болезни. Первая из них подразумевает разделение недуга в зависимости от его происхождения:
- первичный – диагностируется у младенцев сразу же после появления на свет, когда из-за влияния того или иного фактора он не смог совершить свой первый вдох, а лёгкое полноценно не расправилось;
- вторичный – является приобретённым. В таких случаях происходит спадение лёгкого, которое уже принимало участие в процессе дыхания.
Стоит отметить, что с вышеуказанными формами не стоит путать коллапс, который развился внутриутробно и наблюдается у ребёнка, находящегося в утробе матери, а также физиологический ателектаз, присущий каждому человеку. Внутриутробная и физиологическая форма не относятся к категории истинных ателектазов.
По распространённости патологического процесса недуг делится на:
- ацинозный;
- дольковый;
- сегментарный;
- долевой;
- диффузный.
По этиопатогенетическому принципу различают следующие разновидности болезни:
- обструктивный – формируется из-за непроходимости бронхов, вызванной механическими нарушениями;
- компрессионный ателектаз лёгкого – обуславливается внешним сдавливанием лёгочной ткани, например, воздухом, гноем или кровью, которая скапливается в полости плевры;
- контракционный – вызывается сдавливанием альвеол;
- ацинарный – диагностируется как у детей, так и у взрослых в случаях протекания респираторного дистресс-синдрома.
Развитие болезни проходит несколько стадий:
- лёгкая – выражается в спадении альвеол и бронхиол;
- среднетяжелая – характеризуется появлением полнокровия и отёчности лёгочной ткани;
- тяжёлая – происходит замещение здоровой ткани в соединительную. При этом происходит развитие пневмосклероза.
В зависимости от полученного после рентгенографии снимка патология имеет несколько типов:
- дисковидный ателектаз – развивается на фоне сжатия нескольких долек лёгкого;
- субсегментарный – характеризуется полной обтурацией левого или правого лёгкого;
- линейный ателектаз.
Помимо этого, выделяют следующие классификации подобного заболевания:
- по степени сжатия лёгочной ткани – острые и постепенные;
- по наличию последствий – неосложненные и осложнённые;
- по характеру течения – переходящие и стойкие;
- по механизму появления – рефлекторные и послеоперационные;
- по зоне поражения – односторонние и двусторонние.
Компрессионный ателектаз
По-другому компрессионное спадение легкого называется коллапсом и возникает при сдавливании газами или жидкостью извне (экссудатом, транссудатом, кровью, фиброзной тканью). Компрессионный механизм развития ателектаза имеет более оптимистичный прогноз при лечении, так как в патогенезе отсутствуют эндобронхиальные факторы — спадение легкого не вызывает выраженной задержки лимфы или полнокровия.
Основными симптомами компрессионного ателектаза являются:
- одышка (возникает постепенно, на фоне какого-либо заболевания);
- затруднение дыхания;
- кашель;
- боль и тяжесть в пораженной доле легких;
- синюшность губ, кожи и конечностей;
- в той части грудной клетки, где происходит спадание – образуется набухание, в том числе и межреберной ткани;
- при совершении дыхательного акта одна сторона грудной клетки заметно отстает.
Дисковидный ателектаз легкого
Что это? Дисковидный спад паренхимы соседних долей легкого наблюдается при диффузионных патологиях бронхиального дерева, которые чаще всего вызваны пневмонитами, фиброзирующими альвеолитами, саркоидозом.
Причины могут быть различны: так, дисковидная разновидность ателектаза часто имеет компрессионную природу, т. е. развивается из-за сдавливания грудной клетки (особенно ее наддиафрагмальных областей) кровью, гноем после травмы или контузии грудной клетки.
Признаки ателектаза на рентгене
При рентгенологическом исследовании признаков ателектаза рентгенологи обращают внимание на следующие особенности:
- Непрозрачность: ателектаз обычно проявляется в виде области повышенной непрозрачности, что указывает на снижение содержания воздуха в пораженной ткани легкого.
- Смещение средостения: в тяжелых случаях ателектаз может вызвать смещение средостения — области грудной клетки между легкими. Этот сдвиг происходит в сторону спавшегося легкого.
- Ограничение объема легочной ткани: телектаз может вызвать уменьшение объема пораженной легочной ткани. Это может проявляться в виде уменьшенной прозрачности легочного поля на рентгеновском снимке.
- Смещение бронхов: ,локировка или сужение бронхов в результате ателектаза может вызвать смещение бронхов в сторону пораженного участка. Это может быть видно на рентгеновском снимке как смещение или деформацию бронхов.
- Скученность сосудов: кровеносные сосуды в области ателектаза могут быть переполнены из-за уменьшения расширения легких, что приводит к характерному виду на рентгенограмме.
- Смещение фиссур: легочные щели, представляющие собой тонкие мембраны, разделяющие доли, могут смещаться или деформироваться в случаях ателектаза.
Для точного диагноза ателектаза обычно требуется комплексное клиническое обследование, включая рентгеновский осмотр и другие диагностические методы, такие как компьютерная томография (КТ) или бронхоскопия.
Ателектаз на рентгене
Ателектаз на рентгене у детей
На рентгеновском снимке у детей ателектаз может проявляться следующими признаками:
- Уменьшение прозрачности легочной ткани: Область ателектаза может быть видна как участок сниженной прозрачности в легочном поле.
- Смещение средостения: в случае ателектаза может наблюдаться смещение средостения в сторону пораженного легкого.
- Смещение бронхов: бронхи могут быть смещены или деформированы в области ателектаза.
- Учащение петель сосудов: сосуды в области ателектаза могут быть более просматриваемыми и выделенными на рентгеновском снимке.
- Признаки массы или опухоли: в некоторых случаях ателектаз может сопровождаться образованием массы или опухоли, которые могут быть видны на рентгеновском снимке.
Однако важно понимать, что рентгеновский снимок может быть недостаточным для точного диагноза ателектаза у детей. Для подтверждения диагноза и определения причины ателектаза может потребоваться более детальное обследование, включая дополнительные методы, такие как компьютерная томография (КТ) или бронхоскопия
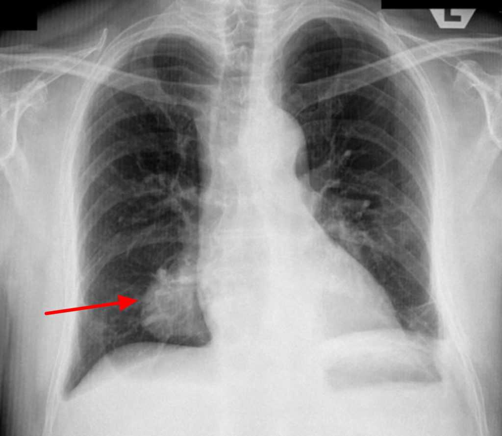
Что такое дисковидный ателектаз на рентгене
Дисковидный ателектаз относится к специфической картине коллапса легкого, которая проявляется в виде дискообразного или пластинчатого затемнения на рентгеновском снимке. Этот тип ателектаза часто наблюдается в нижних отделах легких и обычно связан с хроническими заболеваниями или длительной неподвижностью.
Дисковидный ателектаз на рентгене
Ателектаз верхней доли правого легкого на рентгене
Ателектаз может возникать в любом отделе легкого, в том числе и в верхней доле правого легкого. Когда ателектаз поражает эту конкретную область, на рентгенограмме он может проявляться в виде четко определенной белой или туманной области. Размер и форма ателектатического сегмента могут варьироваться в зависимости от основной причины.
Ателектаз верхней доли правого легкого на рентгене
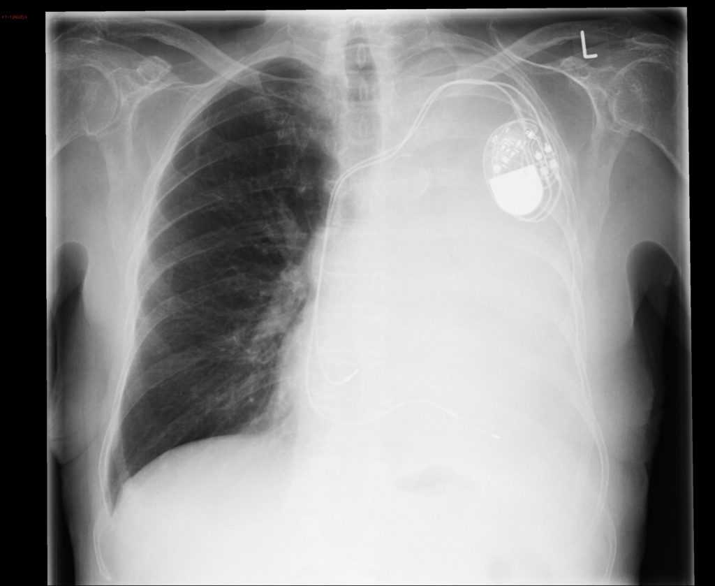
Тотальный ателектаз легкого на рентгене
Тотальный ателектаз легкого, обнаруженный на рентгенограмме, указывает на полное или почти полное коллапсирование легочной ткани. Ателектаз может возникать из-за различных причин, включая блокировку бронхов, компрессию легкого, нарушение дыхательных движений и другие факторы.
Ателектаз обычно представляет собой признак основного заболевания или состояния, такого как застойная пневмония, опухоль, большой объем жидкости в плевральной полости (гидроторакс), пневмоторакс или другие проблемы с дыхательной системой. Для определения точной причины тотального ателектаза требуется более подробное клиническое обследование, включая анамнез, физикальное обследование, лабораторные и другие диагностические исследования.

Важно обратиться к врачу по рентгенологии для более точной интерпретации рентгеновского снимка и определения причины тотального ателектаза. Только квалифицированный медицинский специалист сможет предоставить конкретную информацию и рекомендации на основе клинической картины пациента
Прогноз при ателектазе легких
Внезапный одномоментный тотальный (субтотальный) ателектаз одного или двух легких, развившийся в результате травмы (попадание воздуха в грудную клетку) или во время сложных хирургических вмешательств практически во всех случаях заканчивается смертью сразу или в раннем послеоперационном периоде.
- Обтурационные ателектазы, развившиеся при внезапной закупорке инородными телами на уровне главных (правый, левый) бронхов — также имеют серьезный прогноз при отсутствии экстренной помощи.
- Компрессионный и дистензионный ателектазы, развившиеся при гидротораксе, с удалением причины вызвавшей их, не оставляют каких-либо остаточных изменений и не изменяют объема жизненной емкости легких в дальнейшем.
Существенно изменять прогноз восстановления функций сжатого легкого может присоединившаяся пневмония, которая после себя в этих случаях оставляет рубцовую, замещающую спавшиеся альвеолы, ткань.
Лечение ателектаза легкого
Выявление ателектаза легкого требует от врача (неонатолога, пульмонолога, торакального хирурга, травматолога) деятельной, активной тактики. Новорожденным с первичным ателектазом легкого в первые минуты жизни производится отсасывание содержимого дыхательных путей резиновым катетером, при необходимости — интубация трахеи и расправление легкого.
При обтурационном ателектазе, вызванном инородным телом бронха, для его извлечения необходимо проведение лечебно-диагностической бронхоскопии. Эндоскопическая санация бронхиального дерева (бронхоальвеолярный лаваж) необходима в том случае, если спадение легкого вызвано скоплением трудно откашливаемого секрета. С целью устранения послеоперационных ателектазов легкого показано проведение трахеальной аспирации, перкуторного массажа грудной клетки, дыхательной гимнастики, постурального дренажа, ингаляций с бронхолитическими и ферментными препаратами. При ателектазах легких любой этиологии необходимо назначение превентивной противовоспалительной терапии.
При коллапсе легкого, обусловленном наличием в плевральной полости воздуха, экссудата, крови и другого патологического содержимого, показано срочное проведение торакоцентеза или дренирования плевральной полости. В случае длительного существования ателектаза, невозможности расправления легкого консервативными методами, формирования бронхоэктазов ставится вопрос о резекции пораженного участка легкого.
Прогноз и профилактика ателектаза легкого
Успешность расправления легкого напрямую зависит от причины ателектаза и сроков начала лечения. При полном устранении причины в первые 2-3 суток прогноз в отношении полного морфологического восстановления участка легкого благоприятный. При более поздних сроках расправления легкого нельзя исключить развития вторичных изменений в спавшемся участке. Массивные или стремительно развившиеся ателектазы могут привести к смерти.
Для профилактики ателектаза легкого важны недопущение аспирации инородных тел и желудочного содержимого, своевременное устранение причин внешнего сдавления легочной ткани, поддержание проходимости дыхательных путей. В послеоперационном периоде показана ранняя активизация больных, адекватное обезболивание, занятия ЛФК, активное откашливание бронхиального секрета, при необходимости – санация трахеобронхиального дерева.
Диагностика
Клинические симптомы, которые проявляются при ателектазе легкого, не являются специфическими сугубо для этого состояния, поэтому по одной только одышке, учащении сердцебиения и гипотонии заподозрить ателектаз не представляется возможным. Эта симптоматика позволяет заподозрить наличие патологии со стороны органов дыхания в целом, а уточнить ее можно будет при дальнейшем обследовании больного – как физикальном (осмотр, простукивание грудной клетки врачом, выслушивание фонендоскопом), так и с помощью инструментальных методов диагностики.
Опытный врач заподозрит спадание легких на основе осмотра: грудная клетка больного будет ассиметричной при дыхательных движениях – за счет того, что ее пораженная половина не двигается, потому как легкое фактически не дышит (образно говоря, ему нечем дышать).
Без привлечения дополнительных инструментальных методов диагностики ателектаз легкого можно заподозрить при одновременно наблюдающихся признаках – таких, как:
- одышка;
- посинение кончиков пальцев и носа;
- общий упадок сил;
- отставание больной половины грудной клетки в акте дыхания;
- наличие заболевания, которое могло привести к закупорке бронха или давлению на легочную ткань (инородное тело в бронхе, жидкость или воздух в плевральной полости, интенсивный туберкулезный процесс, опухоль в грудной полости и так далее).
Так как в большинстве случаев ателектаз появляется на фоне уже имеющихся заболеваний или патологических состояний, такой двойной негативный удар по организму утяжеляет его и без того плохое состояние.
В ряде случаев из-за того, что спадает много мелких участков легочной ткани, ателектаз никак не проявляется. Но участки спадания могут стать местом возникновения очагов воспаления легких – в таких случаях именно по очаговой пневмонии опытный врач заподозрит у пациента начинающийся ателектаз, который затем выливается в тяжелую форму поражения легкого.
В большинстве случаев без задействования дополнительных инструментальных методов исследования подтвердить ателектаз легкого не представляется возможным. Наиболее полезными для диагностики этой патологии являются:
- рентгенологическое исследование легких и средостения (группы органов, которые находятся между двумя легкими);
- компьютерная томография, которая позволит более предметно изучить воздушность легких;
- бронхоскопия, с помощью которой можно установить степень поражения бронха – а именно то, как сказались негативные факторы на уменьшении его просвета.
Во время инструментальных диагностических манипуляций важно не только установить наличие ателектаза и его точную локализацию, но и уточнить объем спавшейся ткани, чтобы определить правильную тактику лечения и объем лечебных манипуляций. На рентгенограмме для диагностики ателектаза имеет значение состояние не только ткани легких, но и корней легких, ребер, органов средостения, купола диафрагмы, плевры, плевральной полости и даже позвоночника (будет наблюдаться его сколиотическое отклонение в направлении выпуклости в сторону пораженного легкого). На рентгенограмме для диагностики ателектаза имеет значение состояние не только ткани легких, но и корней легких, ребер, органов средостения, купола диафрагмы, плевры, плевральной полости и даже позвоночника (будет наблюдаться его сколиотическое отклонение в направлении выпуклости в сторону пораженного легкого)
На рентгенограмме для диагностики ателектаза имеет значение состояние не только ткани легких, но и корней легких, ребер, органов средостения, купола диафрагмы, плевры, плевральной полости и даже позвоночника (будет наблюдаться его сколиотическое отклонение в направлении выпуклости в сторону пораженного легкого).
Классификация патологии
Выделяется несколько разновидностей ателектаза легкого. По происхождению его делят на первичный и вторичный типы. Первый диагностируется при рождении, когда легкое у ребенка во время первого вдоха не может расправиться полностью. Вторичная форма появляется в результате осложнения после перенесенного воспалительного заболевания. По механизму появления различают следующие виды ателектаза:
- Обтурационный тип. Этот вид ателектаза образуется в случае уменьшения просвета бронха по причине препятствия в форме инородного тела, опухоли или сгустка слизи. Основными симптомами при этом будут одышка наряду с сухим кашлем и затрудненным вдохом. Различается полный и частичный коллапс. Пациентам требуются экстренные действия, направленные на восстановление проходимости воздуха в бронхах. С каждой минутой вероятность того, что орган сможет расправиться в полной мере, значительно снижается. Через три дня восстановление вентиляции оказывается невозможным. Возникновение пневмонии выступает частым явлением при ателектазе данного типа.
- Развитие компрессионного типа. Этот тип ателектаза левого легкого или правого отличается благоприятным прогнозом. Даже несмотря на длительный период сжатия легочной ткани, удается полностью восстанавливать вентиляцию. Этот вид заболевания формируется в результате появления в плевральной полости воспалительной жидкости, что ведет к сдавливанию легкого. Симптоматика нарастает постепенно. Обычно признаки заболевания проявляются в форме смешанной одышки, при этом затруднены и выдох, и вдох.
- Функциональный тип. Данный вид заболевания образуется, как правило, в нижних долях. Этот тип связан с нарушением механизмов дыхания. Больше всего подвержены ему пациенты, которые находятся на продолжительном постельном режиме. Патология может возникать на фоне стремления ограничить дыхательные движения из-за болезненности, связанной с переломом ребер, а кроме того, плевритом. Ателектаз легкого, который вызывается инсультом, называется контрактильным.
-
Развитие контракционного типа. Этот тип патологии образуется в результате разрастания соединительных тканей. Разрастание приводит к сдавливанию плевры и смежных с нею районов.
Когда спавшаяся ткань замещается соединительной, это называется фиброателектазом. В ряде медицинских справочников выделяют контрактильный тип этого заболевания, при котором уменьшается размер альвеол, а непосредственно на фоне спазмов бронха или в результате травмы формируется поверхностное натяжение. В зависимости от закупорки бронхов, которая обнаруживается на рентгене, выделяют следующие типы ателектаза:
- Дисковидная форма, при которой происходит сжатие сразу нескольких долей.
- Субсегментарная форма ателектаза. Такой тип может привести к полной обтурации в легких.
- Линейная форма.
Прежде чем выяснить, как лечить ателектаз легкого, узнаем, каковы его причины.
Рентген грудной клетки с ателектазом — wikidoc
Главный редактор: C. Michael Gibson, MS, MD ; Заместитель главного редактора: Сударшана Датта, доктор медицинских наук
Обзор
Рентгенологическое исследование может помочь в диагностике ателектаза. Рентгенологические данные, свидетельствующие об ателектазе, включают смещение фиссур, скученность ребер, подъем ипсилатеральной диафрагмы, потерю объема на ипсилатеральном полутораксе, смещение ворот и компенсаторную гиперпрозрачность остальных долей.![]()
Рентгенограмма
- Ателектаз легкого — очень частая аномалия, выявляемая на рентгенограммах органов грудной клетки. Аномалии на рентгенограмме грудной клетки из-за ателектаза помогают определить основную патологию.
- Различные типы ателектазов имеют свою характерную рентгенологическую картину и этиологию.
- Рентгенологическое исследование может помочь в диагностике ателектаза. Рентгенологические данные, указывающие на наличие ателектаза, включают:
- Признаки коллапса доли, такие как:
- Смещение средостения в сторону спавшейся доли легкого
- Прикорневое смещение
- Силуэт диафрагмы или границы сердца
- Скученность ребер
- Компенсаторная гиперпрозрачность остальных долей
- Высота ипсилатеральной диафрагмы
- Помутнение спавшейся доли легкого
- Смещение трещин
- Потеря объема на ипсилатеральном полутораксе
- Воздушные бронхограммы позволяют очертить место обструкции
- Признаки коллапса доли, такие как:
- К рентгенологическим данным при полном ателектазе легкого относятся:
- полный коллапс легкого
- Ипсилатеральное смещение средостения, позволяющее отличить ателектаз от плеврального выпота
- Рентгенологические данные, свидетельствующие о коллапсе верхней доли правого легкого, включают:
- Среднее и верхнее смещение RUL
- Знак Золотой S: вогнутый внешний вид небольшой трещины
- Высота малой правой трещины
- Правое прикорневое возвышение
- Рентгенологическая картина коллапса правой средней доли:
- Рентгенологическая картина коллапса нижней доли правого легкого (RLL):
- Смещение ЗБН кзади и книзу из-за коллапса
- Симптом верхнего треугольника: смещение структур верхнего средостения вправо
- Размытость правой половины диафрагмы (задняя треть)
- Видимость основной трещины, которая обычно не видна
- Рентгенограмма ателектаза правой средней и нижней доли:
- Подпульмональный выпот
- Подъем правой половины диафрагмы
- Рентгенограмма коллапса левой верхней доли (LUL):
- Ателектатическое смещение верхней доли левого легкого кпереди и кверху
- Вид PA: Слабое затемнение ателектатической доли в левом верхнем полутораксе
- Рентгенологическая картина коллапса левой нижней доли (LLL):
- Ретрокардиальная непрозрачность
- Смещение ворот вниз
- Признак ручки аорты: облитерация дуги аорты верхним средостением
- Вид сбоку: нечеткий вид задней трети диафрагмы из-за затемнения
- Субплевральное образование
- Расположение округлого ателектаза: правая средняя доля, нижние доли или язычок
- Признак хвоста кометы или признак когтя: бронхососудистые структуры, выступающие из массы в сторону ворот, в виде завитка
- Париетальная плевральная бляшка
- Рентгенологическая картина послеоперационного ателектаза:
- CXR также помогает определить эффективность физиотерапии грудной клетки у пациентов с ателектазом.
Изображения, представленные в этом разделе, предоставлены RadsWiki и защищены авторским левом.
Ссылки
- ↑ Ашизава К., Хаяши К., Асо Н., Минами К. (январь 2001 г.). «Лобарный ателектаз: диагностические ошибки при рентгенографии грудной клетки». БрДж Радиол . 74 (877): 89–97. дои: 10.1259/bjr.74.877.740089. PMID 11227785.
- ↑ Куреши Н.Р., Глисон Ф.В. (июнь 2006 г.). «Визуализация плевральной болезни». клин. Грудь Мед . 27 (2): 193–213. doi: 10.1016/j.ccm.2006.02.001. PMID 16716813.
- ↑ Вудринг Дж. Х., Рид Дж. К. (1996). «Рентгенологические проявления долевого ателектаза». J Торакальная визуализация . 11 (2): 109–44. PMID 8820022.
- ↑ Proto AV, Tocino I (апрель 1980 г.). «Рентгенологические проявления долевого коллапса». Семин Рентгенол . 15 (2): 117–73. PMID 7394541.
- ↑ Старк П.




























