Важность лечения смешанной микрофлоры в мазке
Одним из главных симптомов смешанной микрофлоры является появление дискомфорта и зуда в области половых органов. Пациенты также могут испытывать жжение при мочеиспускании или сексе. Продолжительные симптомы могут привести к воспалительным процессам, что может повлечь за собой серьезные последствия.
Определение смешанной микрофлоры в мазке осуществляется с помощью лабораторных исследований. Лечение данного состояния направлено на восстановление нормальной микрофлоры и уменьшение количества патогенных микроорганизмов.
Лечение смешанной микрофлоры включает прием антибиотиков, которые подавляют рост патогенных бактерий. Также могут применяться пробиотики и препараты, направленные на укрепление иммунной системы и восстановление нормальной микрофлоры.
Преимущества лечения смешанной микрофлоры:
| 1. Предотвращение развития воспалительных заболеваний. |
| 2. Устранение симптомов дискомфорта и зуда. |
| 3. Снижение риска осложнений и серьезных последствий. |
| 4. Восстановление нормального физиологического состояния влагалища или уретры. |
| 5. Предотвращение повторного развития смешанной микрофлоры. |
Невылеченная смешанная микрофлора может привести к хроническому течению заболевания и осложнениям, таким как пиелонефрит, эндометрит или вагинит
Поэтому важно не откладывать визит к врачу при появлении симптомов и пройти необходимое лечение
Для предотвращения развития смешанной микрофлоры и поддержания нормальной вагинальной или уретральной микрофлоры рекомендуется поддерживать гигиену половых органов, избегать случайных контактов и использовать презервативы.
Анализ
Смешанная флора в мазке у женщин может быть скудной, обильной или нормальной. От правильной подготовки к сдаче лабораторного анализа во многом зависит точность результата исследования.
Гинеколога нужно посещать в профилактических целях не реже 1 раза в год. Во время осмотра медик обязательно берет мазок на флору влагалища. Если пациентка беременна или у нее есть какие-либо гинекологические заболевания, проводить такую диагностику придется намного чаще.
Чтобы сдать анализ успешно, обязательно воспользуйтесь приведенными ниже рекомендациями медицинских специалистов.
- За несколько часов до приема у гинеколога обязательно посетите туалет, так как позже мочеиспускание запрещено.
- Для ежедневной интимной гигиены используйте теплую воду. От мыла или гелей для интимной гигиены рекомендуется отказаться минимум на сутки.
- В течение нескольких дней воздерживайтесь от интимной близости.
- Откажитесь от спринцеваний, использования вагинальных суппозиториев или тампонов.
Во время месячных сдавать мазок на флору не рекомендуется, так как обильные выделения могут исказить картину, и медик не сможет поставить точный диагноз. Несмотря на то, что расшифровку мазка нужно доверять только опытному медицинскому специалисту, каждая женщина должна знать, каких микроорганизмов не должно быть обнаружено в нормальном анализе. В категорию инфекционных возбудителей входят – стрептококк, стафилококк, гонококк, грибок Кандида, грамотрицательные бактерии.
Особенно опасны стрептококки в большом количестве для беременных женщин, так как их размножение приводит к появлению воспалительного процесса в половых органах, поражению мочеточника, и может способствовать самопроизвольному выкидышу.
При нарушении правильного соотношения лактобацилл и эритроцитов можно с полной уверенностью утверждать, что в организме пациентки значительно снижена выработка эстрогенов. Нарушение баланса микрофлоры влагалища – одно из основных причин развития эрозии шейки матки и воспалительных заболеваний мочеполовой системы.
Профилактика отклонения от нормы
Профилактика воспалений в области женских половых органов включает следующие рекомендации:
- отказ от нерационального (без консультации врача) применения антибиотиков, антисептиков и противогрибковых препаратов;
- своевременное лечение инфекций мочеполовой сферы;
- использование презерватива при любом виде секса, особенно при частой смене половых партнеров;
- восстановление менструального цикла в случае его нарушения;
- правильное использование тампонов, прокладок, менструальных чаш;
- регулярное соблюдение правил интимной гигиены, включая подбор щадящих средств для подмывания совместно с гинекологом;
- отказ от спринцеваний, влагалищных душей, спермицидов;
- своевременная замена внутриматочных спиралей для контрацепции;
- прием гигиенического душа (касается обоих партнеров) перед сексом;
- регулярный уход за интимными приспособлениями, а также их своевременная утилизация;
- отказ от чрезмерно горячих ванн, введения во влагалище посторонних предметов, посещения водоемов сомнительной чистоты;
- ограничение употребления алкоголя и курение сигарет.
Важно!
Женщинам, которые получают длительную иммуноподавляющую терапию (гормоны, цитостатики, антибиотики, лучевая терапия), необходимо чаще посещать гинеколога. Прием любых препаратов, оказывающих влияние на местный или общий иммунитет, должен быть согласован с врачом.
Особенности при беременности
Часто обнаруживается смешанная микрофлора в мазке у беременных. Женщины в положении сдают этот анализ как минимум три раза: при выдаче обменной карты и постановке на учет, на сроке до тридцати недель и в третьем триместре, незадолго до родов, то есть в тридцать шесть — тридцать семь недель. Иногда может возникнуть необходимость в дополнительном обследовании: если появляются жалобы на зуд, изменение количества, запаха или консистенции выделений, жжение.
Успешным признаком зачатия до наступления задержки менструации является изменения характера влагалищных выделений. Во время имплантации иммунитет немного снижается, потому что плодное яйцо часто воспринимается организмом как инородный объект. Часто беременные сталкиваются с молочницей
От симптомов этого заболевания важно избавиться до родоразрешения, потому что ребенок может заразиться при прохождении по половым путям матери
Если смешанная флора связана с серьезными заболеваниями, то врач может порекомендовать прервать беременность. Дело в том, что многие препараты запрещены в период вынашивания плода, а отсутствие терапии может привести к внутриутробному инфицированию и гибели эмбриона. Поэтому специалисты рекомендуют сдать анализ и пройти лечение еще на этапе планирования беременности.

Любую патологию гораздо легче предотвратить, чем устранить (особенно если лечиться приходится во время беременности). Не исключение и смешанная флора в мазке у женщин. Не стоит забывать о профилактике заболеваний репродуктивной системы и регулярно посещать гинеколога. Соблюдение простых правил позволит не только предупредить гинекологические заболевания, но и выносить здорового ребенка.
После лабораторной диагностики мазка гинеколог нередко сообщает пациентке, что у нее смешанная микрофлора в мазке. Что это такое? Во время лабораторного исследования медик выявляет в биоматериале наличие и концентрацию вредоносных микроорганизмов, наличие воспалительного процесса, грибка.
Такая диагностика позволяет обнаружить опасные заболевания на самой ранней стадии развития, еще до проявления первых тревожных симптомов. Даже профилактическое посещение гинеколога предусматривает сдачу мазка на анализ микрофлоры шейки матки и влагалища.
У здоровой женщины соотношение полезных и вредных бактерий в половых органах составляет 95:5. Если такое равновесие нарушается, ставится диагноз смешанная микрофлора. Он особенно опасен для девушек, которые вынашивают ребенка.
Значение букв на бланке анализа
Медики используют не полные названия, а сокращения — первые буквы каждого из параметров анализа. Для понимания нормальной микрофлоры влагалища очень поможет знание буквенных обозначений.
Итак, что это за буквы:
- сокращения зон, откуда осуществляется забор материала, обозначают буквами V (вагина), С (цервикальный участок шейки) и U (уретра или канал мочеиспускания);
- L — лейкоциты, величина коих может не совпадать в норме и при патологии;
- Эп — эпителий или Пл.Эп — эпителий плоский;
- GN — гонококк («виновник» гонореи);
- Trich — трихомонады (возбудители трихомониаза).
Некоторыми лабораториями берется за правило ставить отметки в отношении содержания конкретного вида бактерий. Например, где-то используют для этого знак «+». Его проставляют по 4 категориям, где один плюс — незначительное содержание, а максимальное значение (4 плюса) соответствует их обилию.
При отсутствии какой-либо флоры в мазке проставляют аббревиатуру «abs» (лат., нет этого типа флоры).
Полезность палочек Додерлейна
PH у девочки от рождения признается нейтральным, тогда как влагалище — стерильным. С течением времени туда проникают условно-патогенные микроорганизмы. Однако PH нейтральная среда не дает им активно развиться. В период же становления гормонального баланса у девочек 12-14 лет появляются палочки Додерлейна. В это время в организме преобладающей является выработка эстрогенов. Питаются палочки вырабатываемым эпителиальными клетками гликогеном, выступают барьером против развития чужеродных и опасных бактерий. В качестве продукта распада гликогена выступает молочная кислота, за счет которой внутри влагалища образуется кислая среда, способная обезвредить болезнетворные микроорганизмы.
Когда женщина вступает в период регулярной половой жизни, тогда показатель палочек Додерлейна снижается. Это указывает на нарушение микрофлорой своего баланса и перемещение PH половых органов в щелочную сторону. Баланс микрофлоры могут изменять и патогенные микробы, и условно-патогенные, присутствие которых в нормальной среде влагалища не считается исключением.
Разнообразие кокковой флоры
При изучении мазка вполне могут обнаруживаться кокки. В целом их выделяют в обособленную группу микрофлоры — кокковая флора. Классификация всех бактерий берет за основу форму микроорганизмов: округлую, в форме спирали или палочки. Внешне бактерии кокковой флоры имеют шарообразное строение.
Мазки на флору в норме или при некоторых воспалительных заболеваниях могут содержать эти небольших размеров бактерии.
Снижение иммунитета является благоприятным фоном для увеличения кокковой флоры. Нормальная работоспособность иммунной системы позволяет выявить при расшифровке анализа лишь единицы кокков.
Кокки разделяют на положительные (значение гр.+) и на отрицательные (указывают их как гр.-). Что означают гр.+ и гр.- кокки?
При иной трактовке кокки делятся на грамположительные (Гр+) и грамотрицательные (ГР-). Имеется методика окрашивания мазков по Грамму. Кокки именуют по названию данной методики.
- Грамположительные кокки — это основная доля болезнетворных бактерий, сохраняющих окраску после промывания мазка. Сюда входят, например, стрептококки, энтерококки, стафилококки. Ту же палочку Додерлейна относят именно к этой группе.
- Грамотрицательные теряют окрас, даже когда состав промыт спиртом. Сюда входят гонококк, палочка кишечная, протей.
Показатели анализа – как их расшифровать?
Бланк с результатом анализа выдается врачу или непосредственно самой женщине. К вашему вниманию общая информация, помогающая разобраться в лабораторном исследовании.
Табличные сведения не должны использоваться при самолечении! Неверная терапия может усугубить воспалительный процесс и привести к неблагоприятному исходу!
Таблица. Место взятия мазка.
| Буква латинского алфавита | Откуда взят мазок (лат) | Перевод |
| V | vagina | влагалище |
| C | cervix | цервикальный канал |
| U | uretra | мочеиспускательный канал |
К вашему вниманию еще одна таблица – расшифровка результата исследования (норма и отклонение).
| Показатель (сокращенно) | Показатель (полностью) | V (норма) |
C
(норма) |
U
(норма) |
О чем может свидетельствовать превышение показателя |
| Le | Лейкоциты | 0-10 | 0-30 | 0-6 | Воспаление |
| Эп (пл.эп) | Эпителий | 4-10 | 4-10 | 4-10 | Воспаление |
| Слизь | Слизь | Умеренное кол-во | Умеренное кол-во | Нет | Признак инфекции |
| Gn | Гонококки | — | — | — | Инфекционное заболевание — гонорея |
| Trich | Трихомонады | — | — | — | Инфекционное заболевание — трихомониаз |
| Chlam. tr | Хламидии | — | — | — | Инфекционное заболевание — хламидиоз |
| Ключ. клетки | Ключевые клетки | — | — | — | Воспаление (бактериальный вагиноз) |
| Cand | Candida | — | — | — | Инфекционное заболевание – кандидоз |
| Гр.(+) | Грамположительные палочки | + | + | + | Если не обнаружены, то возможно нарушение микрофлоры |
| Гр.(-) | Грамотрицательные палочки | — | — | — | Появление расценивается, как дисбактериоз или возможное воспаление |
Степень чистоты гинекологического мазка
В медицине общее состояние микрофлоры влагалища имеет определенную формулировку. Существует четыре степени чистоты гинекологического мазка, по которым можно определить наличие воспаления.
Первая степень чистоты. Лейкоциты – от 0 до 4-5, pH влагалища – кислая. Флора обильно заселена лактобактериями. Эпителий и слизь в умеренном количестве. Начальная степень чистоты бывает у девочек, не живущих половой жизнью и у здоровых женщин при отсутствии воспалительных заболеваний (в том числе хронических) половых органов.
Вторая степень чистоты. Лейкоциты – от 5 до 10, pH влагалища – кислая. В микробиологической флоре присутствует кокковая инфекция или дрожжевые грибки (процентное соотношение нормальных и патологических микроорганизмов приблизительно одинаковое, или по-другому — смешанная флора). Плоский эпителий и слизь в умеренном количестве. Вторая степень чистоты не является идеальной, однако применять лечения нет необходимости. Женщина становится уязвимой, поэтому ей следует повышать местный иммунитет, чтобы предотвратить развитие воспаления.
Третья степень чистоты вызывает тревогу и обеспокоенность, поскольку в мазке повышенное количество эпителиальных клеток и патогенной микрофлоры при практически полном отсутствии лактобактерий. pH влагалища – слабокислая или щелочная.
Третья степень чистоты влагалища считается плохим результатом, сигнализирующим о текущем воспалительном процессе
Женщине важно пройти серьезную терапию, чтобы скорее вылечиться и избежать осложнений
Четвертая степень чистоты. Палочки Додерлейна (или лактобактерий) не обнаруживаются даже в единичных количествах, поэтому Реакция pH однозначно будет щелочной. Флора полностью состоит из болезнетворных микроорганизмов, лейкоциты посчитать невозможно, так как они визуализируются на всем поле. Это крайняя степень, сигнализирующая об опасности. Женщине необходимо, кроме лечения, пройти комплексное обследование, чтобы исключить опасные заболевания половых органов (к примеру, текущая онкология половых органов нередко «выдает» плохой результат анализа).
Таблица. Лабораторная оценка чистоты мазка.
| Наименование искомого показателя | 1 степень | 2 степень | 3 степень | 4 степень |
| Лактобактерии | +++ | ++ | + | — |
| бактерии comma variabile | — | — | ++ | ++ |
| Гр (-) кокковая флора и палочки | — | — | ++ | ++ |
| Стрептококки, трихомонады, гонококки, хламидии | — | — | -/+ | +++ |
| Оценка количества лейкоцитов | — | + | ++ | +++ |
| Эпителиальные клетки | В единичном количестве | + | + | ++ |
| Кандида | — | -/+ | ++ | +++ |
Исследование мазка на микрофлору – это важная и быстрая диагностика, позволяющая на ранних стадиях выявить серьезную патологию. Своевременное и правильное лечение позволит избавиться от заболевания, не допуская его перехода в хроническую стадию
Молодым девушка и женщинам, планирующим стать мамой, следует уделить большое внимание репродуктивному здоровью, чтобы в будущем не столкнуться с проблемой зачатия или благополучного вынашивания беременности
Для чего проводится анализ флоры
Мазок на флору входит в перечень обязательных гинекологических исследований. По результатам можно заметить первые признаки развивающегося дисбиоза или воспаления, когда явных симптомов еще нет⁵. Поэтому гинеколога нужно посещать регулярно, а не только после появления жалоб.
Микроскопические исследование мазков проводят по таким показаниям⁷:
- профилактический осмотр у гинеколога;
- планирование беременности;
- подготовка к искусственному оплодотворению (ЭКО, ВРТ);
- длительный прием лекарственных препаратов, подавляющих иммунитет (гормоны из группы кортикостероидов, противоопухолевая терапия, антибиотики, таблетки для лечения грибковых инфекций);
- обследование беременных;
- диагностика и профилактика воспалительных заболеваний женских половых органов;
- появление таких симптомов как боль внизу живота, подозрительные выделения, зуд и жжение во влагалище, неприятный запах;
- диспансерное наблюдение после лечения воспалительного процесса.
Лаборант может обнаружить в мазке возбудителей тяжелых инфекционных заболеваний. Однако не все бактерии видны при стандартной окраске мазков. Поэтому при наличии косвенных признаков воспаления (много лейкоцитов, эпителия, слизи) больную обследуют на предмет заболеваний, передающихся половым путем (ЗППП)⁶.
Диагностический поиск продолжают до обнаружения точного источника воспаления. Информация о виде возбудителя необходима для назначения специфической терапии. При необходимости определяют чувствительность микроба к разным антибиотикам, чтобы с первого раза справиться с инфекцией.
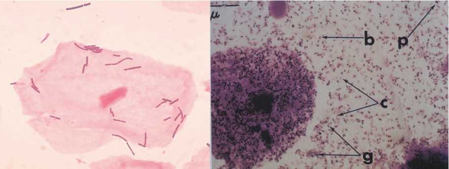
Рисунок 1. Мазок на скрытые инфекции. Изображение: МедПортал
Как подготовиться
Процедуру обычно выполняет гинеколог. В зависимости от предполагаемого диагноза врач может изменить правила подготовки для конкретной женщины.
За 3 дня до осмотра рекомендуют исключить воздействие таких факторов¹:
- сексуальные контакты;
- лубриканты (искусственная смазка);
- свечи – вагинальные и ректальные;
- спринцевание;
- травмирующие процедуры или действия в области мочеполовых органов;
- инструментальные исследования – ультразвуковое сканирование трансвагинальным методом (УЗИ), кольпоскопия;
- фармацевтические препараты с гормонами, антибиотиками – прием приостанавливают только после консультации с врачом!
За сутки до исследования нельзя посещать сауну, баню, принимать горячую ванну. Достаточно простого гигиенического душа накануне вечером без использования химически агрессивных гелей или средства для интимной гигиены. Рассчитайте время так, чтобы за 2-3 часа до манипуляции не захотелось помочиться.
Что врачи не видят при микроскопии?
С помощью этого анализа нельзя определить такие состояния или заболевания организма:
1) Рак матки и шейки матки. Чтобы диагностировать злокачественное перерождение эндометрия, необходим гистологический материал, причем в большом количестве. И забирают его непосредственно из матки при раздельном диагностическом выскабливании.
2) Беременность
Чтобы ее определить, мазок не нужен и не важно какой результат он покажет. Необходимо сдать анализ крови на ХГЧ, пройти гинекологический осмотр у врача или сделать УЗИ матки. Можно определить хорионический гонадотропин в моче, но не в отделяемом из половых органов!
Можно определить хорионический гонадотропин в моче, но не в отделяемом из половых органов!
3) РШМ и другие патологии (эрозия, лейкоплакия, койлоцитоз, ВПЧ поражение, атипичные клетки и др.) ставят по результатам цитологического исследования. Данный анализ берется непосредственно с шейки матки, из зоны трансформации, по определенной методике с прокрашиванием по Папаниколау (отсюда и название анализа — ПАП-тест). Еще его называют онкоцитологией.
4) Не показывает такие инфекции (зппп) как:
- герпес;
- хламидиоз (хламидии);
- микоплазмы (микоплазмоз);
- уреаплазмы (уреаплазмоз);
- ВИЧ.
Первые четыре инфекции диагностируются методом ПЦР. А определить наличие вируса иммунодефицита по мазку с высокой точностью невозможно. Нужно сдать анализ крови.
Разновидности микрофлоры во влагалище
Во время исследования лаборанты выявляют плоский эпителий, палочки Дедерлейна, кокки, лейкоциты, эритроциты в мазке на флору. Повышение количества тех или иных микроорганизмов указывает на развитие разных заболеваний или патологических процессов.
Поскольку терапия будет отличаться, важно правильно определить, что преобладает: полиморфно-палочковая флора в мазке, нормальная или смешанная
Смешанная флора
При выполнении бактериологического посева результаты рассматривают только в соотношении с данными осмотра. Дополнительно проводится мазок на онкоцитологию для раннего выявления рака шейки матки (вне зависимости от наличия жалоб).
Палочковая флора в мазке
Микроскопическое изучение проводится с целью определения количества полезных и болезнетворных бактерий, палочек и прочих организмов в составе влагалища. По результатам анализа устанавливают, имеются ли проблемы с репродуктивной системой, отдельными органами или пациентка здорова.
Мелкопалочковая флора указывает на присутствие грамотрицательных бактерий. Они снижают защитные способности организма. В результате этого иммунитет не может подавлять жизнедеятельность патогенных представителей самостоятельно. Обильное содержание палочковой флоры указывает на развитие воспаления.
Пациенткам рекомендуют проведение комплексного лечения, в состав которого включены препараты для восстановления нормальной микрофлоры влагалища.
Палочкообразные организмы указывают также на развитие гарднереллеза и дисбактериоза. Лечение в этом случае подбирается индивидуально, с учетом особенностей клинической картины.
Палочки Дедерлейна (грамположительные) входят в категорию полезных. Это лактобактерии, и в мазке их должно быть не менее 95% (10 7 КОЕ). Они несут ответственность за создание кислой среды на стенке влагалища, необходимой для осуществления процесса оплодотворения. Эти микроорганизмы обеспечивают чистоту половых путей. Благодаря им у возбудителей трихомониаза и гонореи нет возможности размножаться.
Палочковая флора
Патогенной считается полиморфная палочковая флора. Это микроорганизмы, провоцирующие развитие дисбактериоза влагалища. При проведении микроскопического анализа совместно с ними выявляется повышенное содержание лейкоцитов, способных к фагоцитозу, и резкое снижение числа палочек Дедерлейна. В результате этого развивается воспалительный процесс.
Бациллярная флора в мазке
Иногда в результатах анализа указывают обнаружение бациллярной флоры. Расшифровывать этот параметр бессмысленно, поскольку в норме влагалищная среда заселена бациллами. Определяет наличие отклонений врач после подсчета в мазке количества дрожжевых грибов (иногда их называют бластоспорами), эритроцитов и лейкоцитов.
Когда влагалищная среда агрессивная, сперматозоиды погибают еще на пути к яйцеклетке, поэтому оплодотворение не происходит.
Отсутствие флоры в мазке
Микроскопическое исследование биологического материала, полученного посредством взятия мазка из влагалища и шейки матки, считается высокоинформативным. Флора в мазке есть всегда. Если погибают лактобактерии, на их место приходят патогенные и условно-патогенные микроорганизмы.
Зачастую это связано с продолжительным лечением антибиотиками, которые убивают как полезные, так и патогенные микроорганизмы. Такие результаты указывают на необходимость восстановления баланса влагалищной среды.
Во время беременности всем рекомендуют взять мазок на флору: при первой явке к врачу, в 30 недель и перед родами. Своевременно обнаруженные грибковые споры, стафилококки, гонококки лечатся без серьезных последствий для будущего ребенка и матери. Обязательно необходимо проведение гинекологического осмотра и постоянное наблюдение.
Патогенная микрофлора у женщин
У женщин появление коккобацилл вызывается разными причинами. Уничтожение здоровой микрофлоры (молочнокислых и бифидобаткерий) может быть связано с приёмом антибиотиков или спринцеванием. После этого влагалище заселяется разными микроорганизмами, в том числе и коккобациллами.
Так же коккобациллы могут быть занесены непосредственно во время спринцевания, различных процедур вроде использования гигиенического тампона, нетрадиционных сексуальных практик и так далее.
Коккобациллы возбудители болезней передаются женщинам во время полового акта чаще, чем от женщин мужчинам из-за того, что женщины выполняют пассивную, принимающую роль.
Лечение у женщин так же проходит зачастую дольше и тяжелее, чем у мужчин.
Как сдавать мазок?
Правильная подготовка перед диагностикой залог достоверных результатов, при несоблюдении рекомендаций может быть установлен неверный диагноз.
Как подготовиться к сдаче мазка:
- За 23 дня до диагностики не принимать горячую ванну, воздержаться от половых контактов, посещения бань.
- Все гигиенические процедуры проводить тёплой водой, разрешается пользоваться детским мылом или средствами без отдушек.
- За неделю запрещается делать спринцевание, использовать влагалищные суппозитории.
- Анализы следует сдавать после завершения месячных, оптимально в середине цикла.
- За 23 часа до сдачи мазка запрещается опорожнять мочевой пузырь.
Если в мазке паразиты присутствуют в большом количестве, врач назначит клинический анализ крови и мочи, УЗИ для уточнения диагноза.
Как взять мазок у мужчин?
Чтобы подтвердить или опровергнуть наличие инфекции мочеполовой системы у мужчин требуется взять мазок из мочеиспускательного канала. Кокки определить совсем не трудно, в этом помогает лабораторное исследование. Однако сама медицинская манипуляция крайне неприятная и в большинстве случаев доставляет болезненные ощущения. Перед процедурой нужно подготовиться. Мужчины за два дня до обследования должны отказаться от половых контактов.
За один день до анализа осуществляется тщательный туалет половых органов. Это делается накануне вечером. Непосредственно перед процедурой, то есть, утром заниматься гигиеной запрещено. Это повлияет на конечный результат. Также не советуется ходить в туалет по-маленькому перед посещением врача.
Доктор для взятия маска делает следующее:
- Вводит в мочеиспускательный канал тампон либо зонд на глубину три сантиметра;
- Аккуратно поворачивает его в уретре, извлекает.
На конце медицинского инструмента остается биологический материал, который отправляется на дальнейшее микроскопическое исследование. После манипуляции больного некоторое время беспокоит зуд и жжение, но в скором времени они проходят.
Коккобациллы в мазке являются инфекцией, которая требует своевременной диагностики и адекватного лечения. Чаще всего требуется комплексная терапия, включающая в себя таблетки и средства местного действия. После курса лечения обязательно проводят повторное исследование, чтобы убедиться в эффективности назначений.
Причины образования
Причинами возникновения коккобацилл являются:
- Длительное медикаментозное лечение, например, антимикробными препаратами или антибиотиками;
- Частое ношение нижнего белья из синтетики;
- Недостаточная гигиена;
- Постоянное использование ежедневных прокладок;
- Снижение иммунитета;
- Климакс;
- Заболевание щитовидной железы;
- Беременность.
Причины появления коккобацилл
Поскольку заражение кокковой микрофлорой происходит половым путём, основная причина её появления в организме незащищённый секс.
Почему появляются коккобациллы:
- неразборчивость в половых связях у женщин подобный образ жизни часто становится причиной нарушения баланса микрофлоры, начинается активный рост болезнетворных бактерий;
- неправильное проведение процедуры спринцевания полезная флора вымывается;
- постоянное использование ежедневных прокладок;
- нижнее бельё из синтетических материалов;
- несоблюдение гигиенических правил;
- диабет;
- внутриматочная спираль частая причина развития дисбаланса микрофлоры влагалища;
- изменения в гормональном фоне рост коккобацилл наблюдается при беременности, во время климакса;
- приём оральных средств контрацепции, длительная терапия антибактериальными препаратами.
Коккобациллярная флора появляется при ослабленном иммунитете, влагалищном дисбактериозе, который развивается на фоне болезней пищеварительной системы.
Иногда сперма блокирует рост полезных лактобацилл, вследствие чего активизируется размножение болезнетворных бактерий.
Лечение патогенной флоры
Нормальная или умеренная смешанная флора влагалищной среды говорит о хорошем уровне здоровье пациентки, что отмечается первой или второй степенью чистоты. В этом случае проведение какой-либо специфической терапии не требуется.
Наравне с этим, если появляются дополнительные тревожные симптомы (зуд, раздражение, жжение, покраснение, обильные выделения, неприятный запах), следует посетить гинеколога и пройти осмотр на кресле.
Зачастую нарушение баланса микрофлоры влагалища (умеренное или выраженное) наблюдается после приема медикаментов из группы антибиотиков. Эти лекарства убивают патогенные и полезные бактерии. Но только благодаря этому появляется возможность справиться с различными инфекционными заболеваниями.

Выбор препарата для лечения воспалительных процессов в половых путях будет зависеть от выявленного возбудителя болезни:
- Молочницу (кандидозный кольпит) лечат противогрибковыми препаратами.
- При выявлении гарднерелл в высоком титре показан прием метронидазола.
- Условно-патогенная флора хорошо лечится антисептиками широкого спектра действия.
- При смешанной инфекции применяются препараты, воздействующие сразу и на грибы, и на бактерии.
Приоритет отдается средствам местного действия (суппозитории, вагинальные таблетки). Системные препараты в таблетках и капсулах в гинекологии назначаются крайне редко: при выраженном воспалительном процессе у женщин с иммунодефицитом, при хламидийной и микоплазменной инфекции.
Смешанная флора в мазке — что это такое? О каких заболеваниях может рассказать анализ? Как правильно подготовиться к исследованию? Обязательная процедура при посещении гинеколога — мазок. Он четко показывает, где находится воспалительный процесс и какие бактерии его вызывают
Важное преимущество этого метода — возможность быстро выявить патологию. Без мазка определить многие заболевания просто невозможно
Анализ показывает не только наличие патогенных микроорганизмов и грибов, но и их процентное соотношение к неболезнетворным. Дисбаланс вызывает изменение рН с кислой среды в щелочную. А это показатель развития инфекции. Мазок берется гинекологом непосредственно после осмотра при каждом посещении. Это важно не только для диагностики, но и для профилактики заболеваний. Врач собирает анамнез: учитывает жалобы, оценивает состояние половых органов, наличие неспецифических выделений. Затем одноразовым шпателем делает забор из уретры, влагалища, шейки матки. Собранный материал распределяется по предметному стеклу и отправляется в лабораторию.
Даже здоровые женщины должны раз в год посещать гинеколога и делать мазок. Пациентки с гинекологическими заболеваниями и беременные мазки сдают чаще. Как подготовиться:
- предварительно не использовать вагинальные препараты;
- не спринцеваться;
- в течение 2 суток не иметь половых отношений;
- 2 часа до приема у врача не мочиться;
- подмыться водой без мыла;
- накануне не принимать ванны;
- не приходить на анализ в начале или конце менструации.





























